Nocardia được biết biết là một vi khuẩn gram (+), dạng sợi tìm thấy khắp nơi trên thế giới ở trong đất. Bệnh ở người lần đầu tiên phát hiện và mô tả do Eppinger vào năm 1890, sau bệnh lý trên bò được mô tả bởi Nocard vào năm 1888. Tác nhân gây bệnh Nocardia là một thành viên của họ Nocardiaceae, là loại actinomycetes hiếu khí. Nocardia asteroides là nguyên nhân chính của bệnh nocardiosis hệ thống hay toàn thân ở Mỹ. Nocardia pseudobrasiliensis,Nocardia otitidis-caviarum (tên cũ Nocardia caviae), Nocardia farcinica,Nocardia nova,Nocardia transvalensis cũng hiếm khi liên quan đến bệnh toàn thân ở người.
Giới thiệu
Nocardiosis là một bệnh nhiễm trùng gây ra bởi vi khuẩn Nocardia sống trong đất. Nếu hít phải, vi khuẩn có thể gây viêm phổi, dẫn đến nhiễm trùng máu và lan rộng nhiễm trùng đến các cơ qan trong cơ thể. Tình trạng này gọi là bệnh do Nocardia lan tỏa (disseminated nocardiosis). Những người bị suy giảm miễn dịch như đang bị ung thư, dùng thuốc steroids hay thuốc ức chế miễn dịch sẽ có nguy cơ bệnh lan tỏa khắp cơ quan.
Nocardia cũng có thể gây nhiễm trên da thông qua đường vào là các vết cắt, các vết thương hở hoặc cào xước xảy ra trong quá trình làm việc trong vườn hoặc ngoài nhà. Nhiễm trùng da có thể khác biệt với các thể khác, gọi là thể da niêm (cutaneous nocardiosis). Phơi nhiễm do bệnh nghề nghiệp với đất, công trường, nơi phong cảnh, nông trang, gia tăng nguy cơ nhiễm thể bệnh ở da.
Triệu chứng lâm sàng
Triệu chứng lâm sàng của bệnh nocardiosis lệ thuộc vào hình thức nhiễm trùng xảy ra:
Bệnh Nocardia lan tỏa (Disseminated nocardiosis)
-Hầu hết các trường hợp bắt đầu từ nhiễm trùng ở phổi, chẳng hạn viêm phổi;
-Có thể lan rộng đến bất kỳ cơ quan nào trong cơ thể và gây bệnh trên nhiều hệ thống cơ quan đồng thời.
Bệnh Nocardia thể da niêm mạc (Cutaneous nocardiosis)
Lymphocutaneous nocardiosis
-Tổn thương da dẫn đến nhiễm trùng hạch lympho;
-Các hạch lympho khác cùng chuỗi cũng bị nhiễm theo;
-Vị trí thường xảy ra ở cánh tay.
Mycetoma (còn gọi là Maduromycosis hay Madura foot)
-Nhiễm trùng phá hủy cấu trúc da sâu và mô bên dưới;
-Bệnh xảy ra thường ở chân và cánh tay, đặc biệt ở bàn chân;
-Đi bộ bằng chân trần trong vùng bẩn sẽ tăng nguy cơ nhiễm mycetoma;
-Bắt đầu như một vùng rộng, sưng phồng, đỏ và rỉ nước;
-Có thể phá hủy cơ, xương và làm biến dạng bàn chân.
Nhiễm trùng da
-Có thể là các mụn mủ, abces hoặc dạng viem mô tế bào;
-Có thể nhầm với các hình thái nhiễm trùng da thông thường;
-Thường đi kèm có sốt
Một báo cáo gần đây cho biết nhiễm Nocardia carnea, Nocardia elegans, Nocardia paucivorans, Nocardia puris và Nocardia takedensis đã có mặt tại Nhật Bản. Nocardia brasiliensis là một nguyên nhân thường gặp gây dạng u nấm mạn tính tại chỗ. Tổng số khoảng 30 dòng của Nocardia đã có liên quan đến bệnh ở người.
Hai loài được mô tả mới đây có liên quan đến bệnh ở người: Nocardia abscessus, abces mô mềm và Nocardia africana, thu nhận từ các chất tiết ra của đường hô hấp của bệnh nhân viêm phổi tại Sudan. Gần đây hơn, Nocardia ignorata, một tác nhân mới gây bệnh nocardiosis ở người, được phân lập trên các bệnh phẩm đường hô hấp của bệnh nhân tại châu Âu và mẫu đất từ Kuwait. Các ca bệnh của Nocardia cyriacigeorgica đang xảy ra tại Mỹ đã được đăng tải với một số nhiễm trùng xác định hồi cứu trên các mẫu bệnh phẩm đã lưu giữ trước đó.
Kỹ thuật lai DNA phân tử (Molecular DNA hybridization techniques) thường làm liên quan đến 16S ribosomal RNA [rRNA] sẽ xác định tốt hơn các loài Nocardia; việc định danh này có ích trong xác định mô hình nhạy kháng với các kháng sinh. Một số loài đế cập ở trên (N. nova, N. farcinica, N. abscessus, N. cyriacigeorgica) đã được xem như phân lập N. asteroides trong một số báo cáo. Bệnh Nocardiosis là diễn tiến cấp tính, bán cấp hoặc sinh mủ mạn tính do Nocardia. Bệnh được thong báo là có xu hướng tái phát hoặc diễn tiến nặng nền. Nhiễm trùng tại chỗ hoặc lan tỏa. Nhiemx trùng thể hạch lympho hoặc thể da niêm tại chỗ thường xảy ra sau khi nhiễm qua vết trầy xước, dẫn đến abces vùng trên da niêm. Trên các trẻ em bị suy giảm miễn dịch, nhiễm trùng toàn thân có thể lan rộng từ một vị trí ban đầu.
Bệnh bùng phát hoặc lan tỏa do Nocardia chủ yếu xảy ra trên các cá nhân suy giảm miễn dịch (trong số những người bị suy giảm miễn dịch qua trung gian tế bào) hoặc có bệnh lý nền như bệnh u hạt mạn tính, nhiễm HIV, trẻ em dùng liệu pháp gây độc tế bào, cấy ghép tủy xương hoặc dùng liệu pháp corticoide kéo dài.
Bệnh Nocardiosis cũng có liên quan đến các bệnh lý protein ở phế nang và phổi (pulmonary alveolar proteinosis), lao và các bệnh do vi khuẩn mycobacterium và thiếu interleukin 12. Hít phải các vi trùng sống tự do có là là đường lây nhiễm hay gặp nhất. Bệnh tiên phát xảy ra trên bệnh phổi hệ thống và có thể tương tự lao, nhiễm tụ cầu và nấm. Nhiễm trùng lan tỏa hay nhiễm trùng huyết có thể xảy ra đến tất cả cơ quan trong cơ thể. Não, thận và gan là các vị trí dễ liên đới nhất.
Một điều thú vị, các loài Nocardia đã tìm thấy sinh ra các tác nhân chống vi khuẩn hiệu quả, gồm một tác nhân (nargencin) cho thấy hứa hẹn trong điều trị các tụ cầu kháng methicillinStaphylococcus aureus. Nocardia lactamdurans cũng cho thấy sinh ra một loại Cephamycin dưới điều kiện thích hợp.
Sinh lý bệnh học
Nhiễm trùng N. asteroides qua đường hô hấp dẫn đến các thương tổn ở phổi là đặc điểm lâm sàng thường gặp nhất như các hình ảnh đa ổ abces. Khối abces do Nocardia thường có đặc tính là hợp dòng, dính nhau với ít bằng chứng đóng kén hay tạo vỏ, trong đó chúng hiếm khi lan rộng sang vùng khác từ điểm abces ban đầu ở phổi. Vi khuẩn này cũng có thể xâm nhập theo cơ chế vi khuẩn vào vật chủ. Sự thay đổi bạch cầu đa nhân trung tính của vật chủ có thể ức chế vi khuẩn Nocardia nhưng không thể giết chúng. Miễn dịch qua trung gian tế bào có thể hình thành nhanh do sự hoạt hóa các đại thực bào và do quần thể tế bào T-cell thông qua cơ chế gây độc tế bào lymphocyte (lymphocyte-mediated cytotoxicity) trực tiếp là cần thiết để giết Nocardia. Tiến trình nhiễm trùng sau khi sự ức chế ban đầu nhờ vào neutrophils trừ khi liệu pháp chống vi khuẩn hoặc lymphocyte gây độc tế bào quá mức.
Nocardia biểu hiện có tính hướng kích thích đến cơ quan đặc hiệu. các tế bào Log-phase của Nocardia, chứa các mycolic acids của vách tế bào đặc biệt, có ddoojcj lực hơn và có thể ảnh hưởng lên khả năng nocardiae đối với định vị trong một số mô tế bào, như là não. Di căn của Nocardiacó đặc điểm như các ổ abces đa ổ không có hạt trong các cơ quan khác nhau. Trên những bệnh nhân có hoạt tính neutrophil kém hoặc miễn dịch qua trung gian tế bào (CMI) suy giảm, bệnh nocardia toàn thân hoặc thể phổi sẽ bùng phát mạnh là không thường gặp nhưng nhiễm trùng cơ hội. Bệnh có thể chữa khỏi nhưng tỷ lệ tử vong cao (> 50% trong một số báo cáo đã ghi nhận), có thể vì chẩn đoán và điều trị chậm. Do vậy, khi đã có nghi ngờ về bệnh cao, cần phải theo dõi diễn tiến bệnh kịp thời và điều trị nhanh là cần thiết.
Đặc điểm dịch tễ học
-Tác nhân gây bệnh: Nocardia thường được tìm thấy trong đất và bụi nhà, nhiễm trùng do mắc phải các tác nhân đi vào đường vết thương hoặc do hít phải. Lây truyền từ người sang người chưa được báo cáo trên y văn và Nocardia không phải hệ vi khuẩn chí của người (commensal) ở con người và các động vật. Các trường hợp nhiễm trùng bệnh viện đã được báo cáo trên y văn. Trong một số trường hợp, N. asteroides được phát hiện trong bụi, chất bẩn và không khí hoặc các đơn vị khoa phòng của bệnh viện;
-Tần suất mắc bệnh: ở Mỹ, bệnh Nocardiosis chỉ rải rác, lây truyền từ người sang người không được báo cáo đầy đủ. Các vụ dịch hiếm xảy ra có liên quan đến nhiễm trùng trong môi trường bệnh viện. Tần suất ước tính khác nhau trên quần thể bệnh nhân suy giảm miễn dịch.Trên các bênh nhân đang được ghép thận, tỷ lệ này là khoảng 0-20%. Trên các bệnh nhân ghép tủy xương, tỷ lệ mắc khoảng 0.3% và các bệnh nhân bị lupus ban đỏ hệ thống (SLE) thì tỷ lệ mắc 2.8%. Tỷ lệ mắc bệnh nhiễm trùng này cao hơn khi chuyển mùa nóng hơn, khô hơn, có lẽ vì đường vào nhiễm trùng sẽ thuận lợi đến phổi từ không khí, môi trường;
-Trên thế giới, các quốc gia khác ngoài Mỹ thì bệnh do Nocardia xảy ra rải rác trên khắp toàn cầu;
-Tỷ lệ mắc bệnh/ tỷ lệ tử vong: tử vong có thể do từ nhiễm trùng huyết, viêm phổi nặng hoặc abces não, hoặc nhiễm trùng trên các cá nhân đang có bệnh lý nền. Tỷ lệ tử vong gia tăng trên các bệnh nhân có nhiễm trùng cấp và bệnh nhiễm trùng lan tỏa, liên đới đến 2 hay nhiều cơ quan khác nhau nhiễm trùng hoặc thần kinh trung ương. Tỷ lệ tử vong cũng tăng trên các bệnh nhân dùng thuốc corticosteroids hoặc thuốc chống khối u;
-Giới tính và chủng tộc: bệnh không có sự khác biệt giữa giới tính và chủng tộc;
-Tuổi: Giữa các nhóm tuổi cũng chưa nhìn nhận thấy sự khác biệt về nhiễm bệnh.
Bệnh sử
·Bệnh lý do Nocardia toàn thân (Generalized nocardiosis)
-Trên những bệnh nhân bị thể da niêm mạc, có bệnh sử chấn thương tại vùng của u nấm (chẳng hạn, cạo đường thương tổn), xác định các ổ abces dưới da (như vết mèo cào, vết côn trùng đốt, vết cắt hở), và/ hoặc viêm tuyến cổ (chấn thương nha khoa). Các dấu hiệu nhiễm trùng đi cùng theo với các chuỗi hạch lympho hoặc xoang;
-các khớp tiến triển sưng phồng và đau diễn tiến chậm, không sốt có thể xảy ra trong trường hợp viêm khớp nhiễm trùng do Nocardia nếu chấn thương ở sâu.
-Thể phổi bắt đầu với các triệu chứng không đặc hiệu, gồm sốt, chảy mồ hôi trộm, suy nhược, đau bụng đột ngột, ho kéo dài, hiếm khi ho ra máu và chán ăn.
·Bệnh Nocardia lan tỏa (Disseminated nocardiosis)
-Nếu nhiễm trùng lan tỏa xảy ra từ nhiễm trùng phổi, một vấn đề lan rộng với các triệu chứng cấp và mạn tính hình thành, từ nhức đầu đến u ám (liên quan đến hệ thần kinh trung ương), mủ niệu (thận) và đau hạ sườn phải (gan). Nhiễm trùng hệ thần kinh trung ương có hoặc không có triệu chứng với các dấu thần kinh định vị, cơn co giật và hôn mê.
-Các trẻ em có nguy cơ bệnh Nocardiosis như một nhiễm trùng cơ hội, bao gồm các bệnh nhân có bệnh lý sau:
§Bệnh nhân có khối tân sinh dạng lưới lympho (Lymphoreticular neoplasms);
§Rối loạn chức năng phổi mạn tính (đáng chú ý là bệnh về phế nang);
§Sử dụng corticosteroid kéo dài;
§Bệnh Lupus ban đỏ hệ thống (Systemic lupus erythematosus);
§Hen phế phản nghiêm trọng;
§Bệnh lý u hạt mạn tính;
§Hội chứng suy giảm miễn dịch mắc phải (AIDS);
-Các bệnh nhân đang bị ghép cơ quan cũng nằm trong nhóm có nguy cơ:
§Thận;
§Tim;
§Gan;
§Tủy xương
Khám thực thể
-Các khối abces dưới da có thể sờ đụng tại vị trí thương tổn và nhìn chung cảm thấy cố định hơn là thay đổi các khối này. Các hạch lympho có thể chỉ ra một diễn tiến viêm dọc theo hạch lumpho;
-Khám phổi có thể thấy hình ảnh tiếng/ âm phổi bất thường lan tỏa khắp phổi hoặc một chỗ nào đó. Suy hô hấp từ nhẹ đến nặng có thể dẫn đến suy hô hấp và tử vong;
-Sự xuất hiện các hình ảnh lan tỏa như hạt kê có thể xảy ra khắp các cơ quan trong cơ thể khi bọ abces, tương tự như lao kê;
-Đặc điểm lâm sàng có thể bao gồm:
§Viêm phổi phế quản;
§Viêm phổi thùy;
§Viêm phổi hoại tử;
§Viêm màng não mãn tính;
§Abces não;
§Viem phúc mạc;
§Các khối abces trong bụng;
§Viêm nội nhãn;
§Viêm xoang;
§Viêm nội tâm mạc;
§Viêm động mạch chủ;
§Viêm trung thất;
§Abces thận bể thận;
§Viêm khớp nhiễm trùng.
Bệnh Nocardia thể phổi (Pulmonary Nocardiosis)
Bệnh Nocardiosis trên các bệnh nhân nhiễm virus HIV
Một nghiên cứu tiến hành tại Tây Ban Nha do nhóm tác giả Sánchez Muñoz-Torrero JF, Yñiguez TR, García-Onieva E, Pascua FJ, Crespo L, Bacaicoa A, Martín C đang công tác tại khoa nội, bệnh viện Cáceres cho biết Nocardia thường nhiễm trùng tren các bệnh nhân vốn bị suy giảm miễn dịch, đặc biệt suy giảm miễn dịch tế bào. Tuy nhiên, dù suy giảm miễn dịch nặng trên các bệnh nhân nhiễm HIV, song bệnh nhân nhiễm Nocardia cũng hiếm gặp trên các đối tượng này. Hai trường hợp mà nhóm tác giả báo cáo Nocardia trên bệnh nhân nhiễm HIV và muốn tổng hợp y văn Tây Ban Nha đến năm 1993, với cách phân tích đặc điểm nhiễm trùng này tại quốc gia đó.
2 bệnh nhân này đã dùng thuốc và vi khuẩn Nocardia đã phục hồi trên môi trường nuôi cấy máu sau 48 giờ trên môi trường chuẩn. Nguồn nhiễm trùng là da của 1 bệnh nhân, tại vùng tiêm tĩnh mạch và phổi trên bệnh nhân còn lại. Trước đây, có 11 trường hợp bệnh Nocardia đã được báo cáo trong y văn Tây Ban Nha cũng trên bệnh nhân nhiễm HIV. 84% là nam và tất cả trong số họ dùng thuốc đường uống và có biểu hiện suy giảm miễn dịch tế bào nặng; Tổng số tế bào lymphocyte CD4 đếm được thấp hơn 100/mm3 trên các bệnh nhân khi xét nghiệm. Lúc chẩn đoán, chỉ có một bệnh nhân dùng thuốc dự phòng chống lại các nhiễm trùng khác, với kháng sinh thì về mặt lý thuyết thuốc cũng đã có hiệu quả chống lại Nocardia khi chẩn đoán. Các loài Nocardia hồi phục thường là loài N.asteroides (77%) và vị trí hay gặp nhất là da (54%). Điều trị thường dùng loại sulfametoxazole-trimethoprim (45%) và sulfadiazine (36%), với đáp ứng tốt trên các bệnh nhân có bệnh liên quan đến não bộ.
Nocardiosis trên các bệnh nhân nhiễm HIV rất hiếm gặp ở Tây Ban Nha. Ngược lại với các vùng điạ lý khác thì liên đới đến da cũng hay gặp. Dự phòng bằng thuốc sulfametoxazole-trimethoprim chống lại các tác nhân nhiễm trùng khác có thể cho tỷ lệ mắc Nocardia thấp hơn trên các bệnh nhân này.
Chẩn đoán phân biệt
Trong một số nghiên cứu đã được ấn bản gần đây cho biết tỷ lệ tử vong do bệnh lý nocardiosis thể phổi tiếp tục cao và dao động tỷ lệ 14-40%, và tỷ lệ này tăng lên có ý nghĩa khi có nhiễm trùng lan tỏa đến hệ thần kinh trung ương;
Một số nghiên cứu chỉ ra bệnh Nocardia phổi có tỷ lệ tử vong lên đến 38.7%, tăng đến 64% trên những bệnh nhân có biểu hiện Nocardiosis lan tỏa và 100% trên các bệnh nhân nhiễm Nocardia thể thần kinh trung ương. Do đó, tất cả bệnh nhân mắc phải Nocardia tại phổi nên được đánh giá, xem xét cẩn thận và chăm sóc như những ca bệnh lan tỏa.
Điểm quan trọng khác là ảnh hưởng tiên lượng nhiễm trùng này chính là sự chậm trong vấn đề chẩn đoán và điều trị. Do đó, việc nhận diện bệnh sớm là cần thiết để dùng thuốc điều trị kịp thời với mục đích giảm tỷ lệ tử vong.
Xét nghiệm cận lâm sàng
Xét nghiệm và nuôi cấy chẩn đoán bệnh trên máu và các bệnh phẩm khác
·Nhuộm Gram:
-Xét nghiệm trực tiếp các bệnh nphaamr thu được trên lâm sàng (đờm, chất rửa phế quản-tiểu phế quản, dịch não tủy và mủ) bằng phương pháp nhuộm Gram và nhuộm acid-fast (hay nhuộm Ziehl-Neelsen cải tiến). Hình ảnh của kết quả là vi khuẩn qua kết quả nhuộm soi cho hình ảnh phân nhánh, sắc sảo, gram (+) yếu, trực khuẩn acid-fast thay đổi với xu hướng phân đoạn lànghĩ đến vi khuẩn Nocardia;
-Sử dụng nhuộm bạc (methenamine-silver stains) cũng giúp ích chẩn đoán cho các mẫu mô nhiễm bệnh do Nocardia;
-Lấy bệnh phẩm nuôi cấy chuyển như máu, hoặc môi trường pha trộn não-tim (brain-heart infusion media) hoặc trên thạch Sabouraud không có kháng sinh. N. asteroides và N. braziliensis là các vi khuẩn ái khí bắt buộc, ưa nhiệt và phát triển chậm. Tạo khóm hoặc cụm khuẩn lạc mất 1-2 tuần đế phát triển và thường hóa sáp rồi hóa như phấn khi xuát hiện trên nuôi cấy;
·Huyết thanh chẩn đoán hiện không có sẵn ở mọi nơi;
·Nuôi cấy điển hình phát triển trong vòng 3-5 ngày trên môi trường máu hoặc thạch chocolate, nhưng nuôi cấy lấy từ các vị trí vô trùng bình thường nên duy trì đến 3 tuần trong môi trường lỏng.
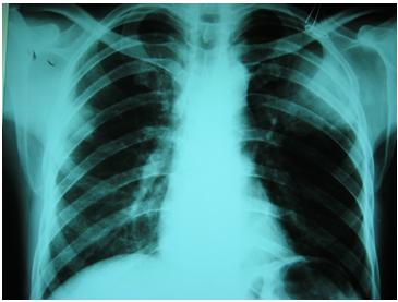
Chẩn đoán hình ảnh
·Nhiễm trùng toàn thân
-Chụp x-quang phổi thay đổi hình ảnh khác nhau, gồm các hình thái như thâm nhiễm mịn, nốt rải rác, thâm nhiễm thùy phổi dính liền nhau tiến triển đến đông đặc và hóa khoang phổi;
-Kiểm tra x-quang phổi có thể cần thiết để tìm thấy các bệnh lý và loại khỏi bệnh cảnh viêm mủ phổi;
-CT scanning với chất cản quang hoặc MRI có thể cần thiết để tìm các hình ảnh abces ở não;
·Bệnh Nocardiosis lan tỏa:
-Thực hiện chụp CT-scanning có chất cản quang hoặc MRI loại các khối abces não. Vì tỷ lệ lây nhiễm sang não rất cao, nên tất cả bệnh nhân bị thể Nocardiosis thể phổi cần có xem xét về hình ảnh của não bộ, ngay cả khi vắng mặt các triệu chứng hệ thàn kinh trung ương;
-Các thương tổn cho thấy vòng tăng cản quang và hình ảnh phục hồi dịch giảm (fluid-attenuated inversion recovery_FLAIR);
-Các thương tổn sớm hoặc hiện diện trong quá trình điều trị bằng steroids, có thể không làm tăng và có thể cho biểu hiện như nhồi máu;
-Sử dụng siêu âm tim 2 chiều loại trừ các nốt sùi;
-Thực hiện siêu âm vùng chậu hoặc bụng và CT-scan để loại trừ các khối abces trong ổ bụng như thận, gan, lách.
Thủ thuật
-Lấy dịch rửa tiểu phế quản được khuyên làm đối với các bệnh nhân suy giảm miễn dịch bị bệnh nocardiosis nghi ngờ;
-Tỷ lệ tử vong có thể vượt 50% nếu không chẩn đoán và điều trị kịp thời cho bệnh nhân, nhất là các thể nặng.
Thái độ xử trí
Chăm sóc nội khoa
·Liệu pháp dựa vào nhóm kháng sinh sulfa- được khuyến cáo cho bệnh Nocardiosis. Trimethoprim-sulfamethoxazole (Bactrim) hoặc một loại sulfonamide (sulfadiazine) cho đường tĩnh mạch liều cao là một lựa chọn điều trị;
·Linezolid đã ghi nhận trong y văn để phối hợp và ngay cả dùng đơn trị liệu để điều trị nhiễm trùng Nocardia. Thuốc xuyên thấm vào não tốt, có sẵn dạng dùng đường uống và đây là kháng sinh duy nhất được biết có hoạt tính chống lại tất cả chủng Nocardia;
·Liệu pháp điều trị đồng thời với aminoglycoside (Amikacin, Gentamicin) + Ceftriaxone có ích cho các bệnh nhân đang phát bệnh dữ dội;
·Các thuốc khác dùng cho nhóm tuổi nhi khoa bao gồm Cephalosporins phổ rộng, Imipenem / Meropenem, Ampicillin và Amoxicillin-clavulanate;
·Các dẫn suất của Tetracycline dùng trong điều trị gồm có Minocycline hay Doxycycline (trên các trẻ em > 8 tuổi có mẫn cảm với nhóm Sulfa-);
·Các bệnh nhân suy giảm miễn dịch, bệnh lý lympho thường được điều trị trong 6 - 12 tuần. Liệu pháp bao gồm cắt lọc tổn thương, dẫn lưu abces. Các bệnh nhân suy giảm miễn dịch được điều trị ít nhất 3 tháng sau khi đã khỏi về mặt lâm sàng (thường điều trị 1 năm);
·Giám sát bệnh nhân chặt chẽ khi bệnh nhân đó nhiễm HIV/AIDS và bệnh thần kinh trung ương; tái phát có thể diễn ra sau 1 năm điều trị.
Chăm sóc ngoại khoa và tư vấn
·Chăm sóc ngọai khoa để dẫn lưu abces thường giúp rất nhiều. Tuy nhiên, các abces não có thể đáp ứng với liệu pháp thuốc mà không cần phẩu thuật ngoại khoa;
·Nguy cơ các thủ thuật thần kinh mang tính xâm nhập nên được cân nhắc và xem xét đó là một sinh thiết chẩn đoán và dẫn lưu điều trị;
·Một nhóm bác sĩ đa khoa và về chuyên khoa nhi hồi sức cũng nên thiết lập khi gặp phải những ca bệnh Nocardiosis nặng, nghiêm trọng;
·Tham khảo ý kiến các chuyên gia về bệnh truyền nhiễm nhi khoa;
·Phẩu thuật thần kinh hoặc X-quang can thiệp có thể cần thiết để sinh thiết.
Kháng sinh
Liệu pháp thuốc chủ yếu của bệnh Nocardiosis là nhóm thuốc kháng sinh có gốc -Sulfa (Sulfa-based antibiotics_SBAs) như trimethoprim-sulfamethoxazole chẳng hạn;
Thuốc thường cho đường tĩnh mạch, liều cao;
Trimethoprim-sulfamethoxazole có hiệu quả thấp khi dùng đơn thuần trên các bệnh nhân nhiễm trùng Nocardia có liên quan đến HIV/ AIDS;
Phác đồ đơn trị liệu tốt nhất trong điều trị bệnh do Nocardia đến nay vẫn chưa thiết lập, đề kháng kháng sinh nên được khuyến cáo đánh giá hiệu quả thông qua các bước thử liệu pháp đối với các chủng thường gây nhiễm trên bệnh nhân;
Trimethoprim-sulfamethoxazole, Amikacin, hoặc Ceftriaxone hoặc Imipenem là những phối hợp thuốc hợp lý và an toàn cho điều trị ban đầu trước khi có kết quả kháng sinh đồ đánh giá nhạy cảm của thuốc;
Sử dụng nhóm thuốc Linezolid để chống kháng hoặc nhiễm trùng nặng đã được báo cáo và cho kết quả đầy hứa hẹn. Linezolid đã được thử trên in vitro và tỏ ra đây là thuốc hiệu quả trên tất cả loài Nocardia. Thuốc xuyên thấm được tốt qua hệ thần kinh trung ương, không đòi hỏi phải hiệu chỉnh liều khi bệnh nhân suy gan hoặc thận song thuốc này có một vài trường hợp tương tác thuốc (đặc biệt với các thuốc ức chế ức chế miễn dịch) và thuốc chỉ dùng đơn trị liệu cũng có hiệu quả chống lại Nocardia. Thuốc cũng có sẵn với sinh khả dụng tuyệt vời theo đường uống và có thể trở thành liệu pháp ưu tiên chọn lựa cho nhiễm trùng Nocardia;
Sulfonamides từ lâu được xem là liệu pháp ưu tiên chọn điều trị bệnh nocardiosis. Trong số các sulfonamides, thì sulfadiazine nói chung được quan tâm nhất vì tác động của nó có thể xuyên vào hệ thần kinh trung ương và dịch não tủy. Trimethoprim-sulfamethoxazole (TMP-SMX) được cân nhắc bởi liệu pháp thay thế thuốc Sulfadiazine;
Bổ sung vào Trimethoprim chưa chứng minh chắc chắn là nâng cao hiệu lực của thuốc sulfonamide. Do đó, thuốc này phải điều chỉnh liều để dùng liều sulfamethoxazole tương đương với liều sulfadiazine dùng một mình. TMP-SMX có thể là liệu pháp ưu tiên chọn khi dùng đường ngoài ruột đòi hỏi vì nhìn chung chỉ có sẵn sulfonamide.
Trên các bệnh nhân không thể uống sulfonamides, liệu pháp có thểđược hướng dẫn theo kết quả thử in vitro, dù các thử nghiệm đối với loài Nocardia là một kỹ thuật khó, chuẩn hóa nghèo nàn và không đủ kết luận liên quan với các kết quả in vivo của điều trị.
Không có dữ liệu nào tồn tại từ các so sánh thử nghiệm lâm sàng để hướng dẫn cho lựa chọn trong số các liệu pháp thay thế thuốc.
Dữ liệu nhạy kháng trên In vitro
| N asteroides | N farcinica | N nova | N brasiliensis | N transvalensis | N otitidiscaviarum |
Sulfa methoxazole | 96-99 | 89-100 | 89-97 | 99-100 | 90 | Variable |
TMP-SMX | 100 | --- | --- | 100 | 88 | Variable |
Amoxicillin-clavulanate | 53-67 | 47-71 | 3-6 | 65-97 | 30 | Resistant |
Ceftriaxone | 94-100 | 0-73 | 100 | 88-100 | 50 | --- |
Imipenem | 77-98 | 64-87 | 100 | 20-30 | 90 | Resistant |
Amikacin | 100 | 100 | 100 | 100 | 82 | Susceptible |
Minocycline | 78-94 | 20-96 | 89-100 | 75-90 | 54 | Susceptible |
Linezolid | 100 | 100 | 100 | 100 | 100 | 100 |
| N. asteroides | N. farcinica | N. nova | N. brasiliensis | N. transvalensis | N. otitidiscaviarum |
Sulfa methoxazole | 96-99 | 89-100 | 89-97 | 99-100 | 90 | Variable |
TMP-SMX | 100 | --- | --- | 100 | 88 | Variable |
Amoxicillin-clavulanate | 53-67 | 47-71 | 3-6 | 65-97 | 30 | Resistant |
Ceftriaxone | 94-100 | 0-73 | 100 | 88-100 | 50 | --- |
Imipenem | 77-98 | 64-87 | 100 | 20-30 | 90 | Resistant |
Amikacin | 100 | 100 | 100 | 100 | 82 | Susceptible |
Minocycline | 78-94 | 20-96 | 89-100 | 75-90 | 54 | Susceptible |
Linezolid | 100 | 100 | 100 | 100 | 100 | 100 |
Liệu pháp thuốc thay thế bao gồm Carbapenem, Meropenem, loại Cephalosporins thế hệ thứ 3 (Cefotaxime hoặc Ceftriaxone), và Amikacin đơn thuần hay phối hợp. Meropenem plus amikacin có thể là phác đồ ưa dùng hơn cả. Hiệu lực nhóm thuốc Linezolid đã được báo cáo trong một ca bệnh Nocardiosis.
Các liệu pháp thuốc thay thế đường uống gồm Minocycline và Amoxicillin/clavulanate. Các liệu pháp này đầu tiên dùng trên các bệnh lý nhẹ và nặng hoặc dùng tiếp theo sau một liệu trình trước đó;
Nhóm thuốc kháng sinh Fluoroquinolone thường cho kết quả về hoạt tính in vitro chống lại các loài Nocardia nhưng thất bại khi trị liệu.
Kháng sinh cần thận trọng
Liệu pháp thuốc chống vi khuẩn thiên về kinh nghiệm hơn là lý thuyết phải hiểu một cách rõ ràng và nên bao phủ tất cả tác nhân gây bệnh có thể trong bối cảnh lâm sàng đã xác định trên bệnh nhân.
Trimethoprim-sulfamethoxazole (Bactrim, Septra)
Thuốc ức chế sự phát triển vi khuẩn bằng cách ức chế lên quá trình tổng hợp dihydrofolic acid. Liều dùng dựa trên thành phần của trimethoprim.
Người lớn:
·160mg (trimethoprim) plus 800mg (sulfamethoxazole), đường uống, 2 lần/ ngày x 6 tháng;
·Trên cá nhân bị suy giảm miễn dịch: thời gian điều trị kéo dài nếu bệnh nhân bị AIDS.
Trẻ em:
·< 6 tuần: không khuyến cáo dùng.
·≥ 6 tuần: liều 15-20 mg/kg/ngày tiêm tĩnh mạch chia mỗi 6-8 giờ; khởi đầu dùng đường tĩnh mạch, sau đó cho dùng đường uống, tổng liều 6-12 tuần (bệnh lymphocutaneous);
·Trong trường hợp bệnh lan tỏa: tiếp tục ít nhất 3 tháng sau khi chữa khỏi về lâm sàng; thường đến 1 năm, đặc biệt liên quan đến thần kinh trung ương.
Imipenem và cilastatin (Primaxin)
·Liệu pháp thay thế thường dùng phối hợp với Amikacin. Đối với bệnh lý ở hệ thần kinh trung ương, cần có thuốc liên quan, Meropenem, thay vì.
Người lớn:
·250-500 mg tiêm tĩnh mạch mỗi 6 giờ, không vượt quá liều 3-4 g/ngày;
Trẻ em:
·60 mg/kg/ngày tiem tĩnh mạch, chia mỗi 6 - 8 giờ; không vượt quá 4g/ngày trong 6-12 tuần (bệnh lymphocutaneous);
·Thể bệnh lan tỏa: tiếp tục ít nhất 3 tháng sau khi đã thấy chữa khỏi về lâm sàng đạt được,thường đến 1 năm;
·Dùng phối hợp với thuốc trimethoprim-sulfamethoxazole hoặc Imipenem-Cilastatin. Nồng độ đỉnh là 20-30 mg/L và nồng độ thấp là 5-10 mg/L.
Người lớn:
·15 mg/kg/ngày tiêm tĩnh mạch hoặc bắp, không nên vượt qua 1.5 g/ngày và không hề liên quan đến cân nặng;
Trẻ em
·15 - 22.5 mg/kg/ngày tiêm tĩnh mạch hoặc tiêm bắp chia ra mỗi 8 giờ.
Minocycline (Dynacin, Minocin)
·Thuốc thay thế loại khác với công thức dùng cả đường uống và tĩnh mạch cho điều trị thời gian kéo dài. Tuy nhiên, thuốc này không khuyến cáo dùng cho trẻ em < 8 tuổi.
Người lớn:
·200 mg dùng đường uống, 2 lần mỗi ngày x 6 tháng.
Trẻ em:
·≤ 8 tuổi: không khuyến cáo;
·> 8 tuổi: liều tải là 4 mg/kg/liều đường uống/ tĩnh mạch, rồi 2mg/kg/liều mỗi 12 giờ; không vượt quá liều 400 mg/ngày trong 6 -12 tuần (lymphocutaneous);
·Bệnh lan tỏa: tiếp tục dùng ít nhất 3 tháng sau khi đã khỏi về mặt lâm sàng; thường dùng đến 1 năm.
Amoxicillin and clavulanate (Augmentin)
·Aminopenicillin với thuốc ức chế Beta-lactamase. Thuốc tác động dựa trên thành phần amoxicillin. Thuốc này dùng như một điều trị theo dõi, dùng đường uống và thời gian kéo dài sau điều trị tiêm tĩnh mạch với Imipenem hoặc Meropenem/Amikacine.
Người lớn
·500mg mỗi 12 giờ, đường uống hoặc 250mg đường uống mỗi 8 giờ;
Trẻ em
·< 40 kg: 20-40mg/kg/ngày, đường uống chia 2 lần mỗi ngày;
·≥ 40 kg: chỉ định liều dùng như trên người lớn.
Ampicillin (Marcillin, Omnipen)
·Hoạt tính diệt khuaaanr chống lại các vi khuẩn còn nhạy cảm. Thay thế cho amoxicillin khi không thể uống thuốc đường uống.
Người lớn
·0.5-1 g tiêm tĩnh mạch mỗi 6 giờ
Trẻ em
·200-400 mg/kg/ngày tiêm tĩnh mạch chia mỗi 6 giờ
·Thuốc kháng sinh thuộc nhóm Carbapenem phổ rộng, ức chế tổng hợp vách tế bào. Thuốc có hiệu quả chống lại hầu hết các vi khuẩn gram âm và gram dương. Thuốc có hoạt tính tăng nhẹ chống lại các vi khuẩn gram âm và giảm nhẹ khi chống lại staphylococci và streptococci so với Imipenem, thuốc này không khuyến cáo dùng cho trẻ em.
Người lớn:
·1-2 g tiêm tĩnh mạch mỗi 8 giờ;
Trẻ em:
·60 mg/kg/ngày, tiêm tĩnh mạch chia mỗi 8 giờ;
·Thể viêm màng não: 120 mg/kg/ngày, tiêm tĩnh mạch chia mỗi 8 giờ.
Doxycycline (Bio-Tab, Doryx, Vibramycin)
·Thuốc ức chế tổng hợp protein và do đó ức chế phát triển của vi khuẩn nhờ vào gắn với đơn vị 30S và khả năng cả 50S ribosomal subunits của các vi khuẩn còn nhạy;
Người lớn:
·200 mg đường uống/ tĩnh mạch vào ngày thứ 1, rồi 100-200 mg đường uống/tĩnh mạch
Trẻ em:
·≤ 8 tuổi: không khuyến cáo dùng, ngày 4 lần;
·>8 tuổi: 2-4 mg/kg/ngày dùng đường uống/tĩnh mạch, ngày 4 lần.
Sulfadiazine (Microsulfon)
·Áp dụng trong cơ chế tác động kiềm khuẩn nhờ vào cạnh tranh antagonism của para-aminobenzoic acid (PABA). Vi sinh vật đòi hỏi folic acid ngoại sinh và không tổng hợp folic acid không nhạy với cơ chế tác động của sulfonamides.
Người lớn:
·Liều tải: 2-4 g một lần đường uống;
·Liều duy trì: 2-4 g/ ngày, đường uống, chia mỗi 3-6 giờ.
Trẻ em:
·120-150 mg/kg/ngày, dùng đường uống chia mỗi 6 giờ
·Thuốc kháng sinh tổng hợp của lớp Oxazolidinone, ngăn chặn sự hình thành chức năng phức hợp 70S ban đầu. Điều này cần thiết cho quá trình dịch chuyển protein vi khuẩn. Mặc dù nó dường như là chất kiềm khuẩn chống lại Nocardia (vì nó tác động lên hầu hết vi khuẩn, ngoại trừphế cầu), nó có hiệu quả rất tốt như một đơn trị liệu.
Người lớn:
·400-600 mg dùng đường uống/ tĩnh mạch, mỗi 12 giờ trong 10-28 ngày;
Trẻ em:
·Trẻ sơ sinh non<7 ngày: 10 mg/kg đường uống/ tĩnh mạch mỗi 12 giờ;
·Trẻ sơ sinh đúng hạn - 12 tuổi: 10 mg/kg đường uống mõi 8 giờ;
·> 12 tuổi: chỉ định liều như người lớn.
Thái độ xử trí và chăm sóc toàn diện
Chăm sóc y tế
·Liệu pháp dùng kháng sinh đặc hiệu kéo dài là phần chính trong chăm sóc nội khoa đối với bệnh Nocardiasis. Liệu pháp này nói chung khuyến cáo dùng ít nhất là 6 tháng;
·Trên những bệnh nhân đòi hỏi dùng thuốc ức chế miễn dịch, thì các thuốc ức chế miễn dịch vẫn tiếp tục dùng song song với thuốc kháng sinh đặc hiệu chống Nocardia.
Chăm sóc ngoại khoa
·Đối với các thương tổn ngoài hệ thần kinh trung ương, quản lý bằng ngoại khoa là một khuyến cáo chuẩn như các bệnh lý nhiễm trùng khác; nhất là các khối abces cần phải can thiệp phẩu thuật mới đạt được hiệu quả điều trị tối ưu;
·Trên các bệnh nhân bị abces não do Nocardia, phẩu thuật nên thực hiện nếu thương tổn lớn, dễ dàng tiếp cận khi can thiệp, hoặc nếu chúng tiến triển sau 2 tuần điều trị bằng kháng sinh.
Ý kiến chuyên khoa
·Các chuyên gia về bệnh nhiễm trùng khuyên nên phối hợp với liệu pháp dùng thuốc chống nhiễm trùng;
·Tùy thuộc vào vị trí nhiễm trùng, khuyến cáo của các nhà hô hấp, phẩu thuật lồng ngực, phẩu thuật tổng quát và phẩu thuật thần kinh có thể mời đến để hội chẩn.
Chế độ ăn uống
·Không có một chế độ ăn nào khuyến cáo đảm bảo đặc hiệu.
Theo dõi trong quá trình điều trị
Chăm sóc bệnh nhân nội trú
·Một số trường hợp bệnh Nocardia lan tỏa hoặc bùng phát đòi hỏi phải phối hợp chăm sóc tích cực với sự trợ giúp của nhiều chuyên khoa khác nhau;
·Cung cấp đánh giá liên tục lấy bỏ các chất hoại tử của thương tổn do khối abces Nocardia;
·Liệu pháp kháng sinh tĩnh mạch ban đầu cần tiêm ngay và trong suốt quá trình bệnh nhân nhập viện.
Chăm sóc bệnh nhân ngoại trú
·Một khi bệnh nhân đã ổn định, tiếp tục kéo dài liệu pháp kháng sinh trên các bệnh nhân đã cho ra điều trị ngoại trú;
·Các chuyên gia về bệnh nhiễm trùng nên tiếp tục giám sát bệnh nhân để xác định tiến trình và thời gian điều trị.
Chuyển bệnh nhân lên tuyến trên
·Trong trường hợp bệnh do Nocardia lan tỏa bộc phát, chuyển bệnh nhân đến các cơ sở y tế chuyên chăm sóc nhi khoa và cấp cứu;
Phòng bệnh
·Không có lời khuyên nào đặc biệt đẻ dự phòng bệnh do Nocardia vì các tác nhân nhiễm trùng cơ hội trên bệnh nhân suy giảm miễn dịch đã biết trước đó;
·Dự phòng bằng thuốc Bactrim là một khuyến cáo cho các bệnh nhân có HIV/AIDS, u hạt mạn tính và các khối u ác tính khác nhưng thường dùng trong bối cảnh nhiễm trùng loại Pneumocystis pneumonia;
·Sử dụng thuốc dự phòng không nên thử, nếu tình huống đảm bảo, giảm được triệu chứng và dấu chứng nhiễm trùng. Báo cáo ca bệnh kháng thuốc do Nocardia cần thận trọng, nhất là các bệnh nhân suy giảm miễn dịch.
Tiên lượng
·Tỷ lệ mắc bệnh và tử vong cao trên các bệnh nhân mắc Nocardia bùng phát. Khi nghi ngờ cao, cần phải theo dõi và chẩn đoán nhanh cũng như điều trị kịp thời cho ca bệnh;
·Quản lý và chăm sóc tích cực (phẩu thuật nếu cần) và điều trị kháng sinh kéo dài mới có thể mang lại hiệu quả cao.
Một số điểm cần lưu ý khác
·Thất bại trong chẩn đoán và điều trị sớm cho những ca bùng phát hoặc toàn thân, điều này có thể chữa khỏi nhưng tỷ lệ tử vong cao;
·Bệnh do Nocardia nên nghi ngờ và hướng đến chẩn đoán phân biệt trên các bệnh nhân suy giảm miễn dịch có hội chứng phổi (vị trí nhiễm trùng đầu tiên) hoặc hệ thần kinh trung ương (vị trí nhiễm trùng đầu tiên của bệnh hệ thống), đặc biệt khi hionhf ảnh chụp x-quang tương thích với bệnh nghi ngờ.
Tài liệu tham khảo
1.Greenberg AE, Lucas S, Tossou O, Coulibaly IM, Coulibaly D, Kassim S, et al. Autopsy proven causes of death in HIV infected patients treated for tuberculosis in Abidjan, Cote d Ivoire. AIDS 1995; 9:1251-1254.
2.Lucas SB, Hounnou A, Peacock C, Beaumel A, Kadio A, De Cock KM. Nocardiosis in HIV positive patients: An autopsy study in west Africa. Tuber Lung Dis 1994;75:301-307.
3.Curry WA. Human Nocardiosis. A clinical review with selected case reports. Arch Intern Med 1980; 140:818-826.
4.Baily GG, Neill P, Robertson VJ. Nocadiosis: A neglected chronic lung disease in Africa? Thorax 1988; 43:905-910.
5.Gaude GS, Hemashettar BM, Bagga AS, Chatterji R. Clinical profile of pulmonary nocardiosis. Indian J Chest Dis Allied Sci 1999; 41:153-157.
6.Verghese SL, Madhavan HN, Sekar B. Isolation and characterization of nocardia from clinical specimens. J Indian Med Assoc 1996; 94:58-59 & 70.
7.Uttamchandani RB, Daikos GL, Reyes RR, Fischi MA, Dickinson GM, Yamaguchi E, et al. Nocardiosis in 30 patients with advanced human immunodeficiency virus infection: Clinical feature and out come. Clin Infect Dis 1994; 18:348-353.
8.Buckley JA, Padhani AR, Kuhlman JE. CT features of pulmonary nocardisis. J Comput Assist Tomogr 1995; 19:726-732.
9.Rodriguez JL, Barrio JL, Pitchenik AE. Pulmonary nocardiosis in the acquired immunodeficiency syndrome. Diagnosis with bronchoalveolar lavage and treatment with non-sulphur containing drugs. Chest 1986; 90:912-914.
10.Coker RJ, Bignardi G, Horner P, Savage M, Cook T, Tomlinson D, Weber J. Nocardia infection in AIDS: a clinical and microbiological challenge. J Clin Pathol 1992; 45:821-822.
11.Menendez R, Cordero PJ. Santosh M, Gobernalo M, Marco V. Pulmonary infection with Nocardia species a report of 10 cases and review. Eur Respir J 1997; 10:1542-1546.