Nấm Penicillium có nhiều loại khác nhau nhưng hầu như chỉ có loại Penicillium marneffei gây bệnh. Bệnh do nhiễm nấm Penicillium marneffei ngày nay đang trở thành bệnh cơ hội chính trên bệnh nhân bị nhiễm HIV. Bệnh gây nên gọi là bệnh Penicilliosis marneffei. Ở tại nước ta đã phát hiện một số bệnh nhân HIV bị nhiễm nấm Penicillium marneffei gây bệnh.
Đặc điểm loại nấm Penicillium marneffei gây bệnh
Bệnh do nhiễm nấm Penicillium marneffei xuất hiện chủ yếu ở Đông Nam Á, một số trường hợp khác phát hiện ở miền Nam châu Á như Trung Quốc, Hồng Kông, Lào, Indonesia. Gần đây bệnh còn được phát hiện ở một số nước châu Âu như Thụy Sĩ, Italia, Pháp, Hà Lan, Anh. Thụy Điển... Tại Việt Nam đã phát hiện một số bệnh nhân HIV bị nhiễm nấm Penicillium marneffei và Bệnh viện 103 cũng đã có thông báo một số trường hợp nhiễm nấm Penicillium marneffei trên bệnh nhân HIV.
Nấm Penicillium thuộc lớp Ascomycetes gồm rất nhiều loài, chúng phân bố rộng rãi trong tự nhiên; đây là một trong những loại nấm tạp nhiễm hay gặp nhất trong phòng thí nghiệm. Chỉ có loại nấm Penicillium marneffei là tác nhân gây bệnh trực tiếp ở người và các loại động vật.
Nấm Penicillium marneffei là loại nấm lưỡng dạng, mặc dù các nhà khoa học đã có những nghiên cứu nhưng vẫn có nhiều điều chưa biết rõ về đặc điểm sinh thái, dịch tễ học và khả năng gây bệnh của loại nấm này. Nấm Penicillium marneffei phân lập được lần tiên ở loài chuột tre (bamboo rat, Rhizomys sinensis) ở miền Nam Việt Nam, sau đó phát hiện thêm ở một vài loài gặm nhấm khác, những loại này phân bố chủ yếu ở Đông Nam Á. Mặc dù loài chuột tre được xem là vật mang mầm bệnh nhưng chưa rõ chúng có phải là vật dự trữ mầm bệnh quan trọng này không hay chỉ là loại động vật nhạy cảm với nấm ở môi trường. Nấm Penicillium marneffei cũng đã phân lập được từ hang chuột tre. Hiện nay, các nhà khoa học đều cho rằng đất là nơi dự trữ mầm bệnh chính, nấm lây lan vào người qua đường hô hấp tương tự như các loại nấm lưỡng cực khác.
|
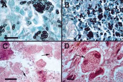
Hình ảnh nấm Penicillium marneffei phát triển (Ảnh: medscape) |
Khả năng gây bệnh của nấm Penicillium marneffei
Nấm Penicillium marneffei có khả năng gây bệnh ở người bình thường cũng như người bị suy giảm miễn dịch, đây là một trong nững loại nấm gây bệnh cơ hội. Đối với người có khả năng miễn dịch bình thường, bệnh do nhiễm nấm Penicillium marneffei có thể khu trú hoặc lan tỏa, trong đó thể lan tỏa có biểu hiện bệnh lý rất giống bệnh lao.
Trên bệnh nhân nhiễm HIV, thường chẩn đoán được nhiễm nấm Penicillium marneffei ở giai đoạn bệnh lan tỏa. Tổn thương hay gặp nhất là ở da, hệ lưới nội mô, phổi và đường tiêu hóa. Một số trường hợp có thể bị nhiễm nấm máu và lan tới các cơ quan như thận, xương, khớp, màng ngoài tim. Biểu hiện lâm sàng thường không đặc hiệu, người bệnh chỉ có triệu chứng sốt, thiếu máu, gầy sút nhanh. Tổn thương ở da thường gặp gồm các nốt sẩn, hoại tử lõm trung tâm giống bệnh u hến lây (molluscum contagiosum) hay thấy ở mặt, thân mình, tứ chi. Trong nhiều trường hợp có áp xe dưới da, viêm loét kéo dài. Hạch lympho thường sưng, đau, có thể loét, hóa mủ và có lỗ dò.
Chẩn đoán, điều trị và phòng bệnh
Việc chẩn đoán xác định bệnh thường căn cứ vào kết quả xét nghiệm phát hiện nấm Penicillium marneffei ở các bệnh phẩm là mô nhiễm nấm, đặc biệt là ở da, tủy xương, máu, hạch lympho... Bệnh phẩm có thể xét nghiệm trực tiếp, giải phẩu bệnh, nuôi cấy và chẩn đoán miễn dịch.
- Phương pháp xét nghiệm trực tiếp bệnh phẩm nhuộm giemsa với phết áp da, tủy xương cho phép chẩn đoán nhanh, nhạy khi phát hiện các tế bào nấm men có vách trung tâm trong tổ chức tế bào hoặc rải rác trong tổ chức tế bào. Tế bào nấm men thường hình tròn, hình ê líp, kích thước khoảng từ 2 đến 6 µm, có vách ngăn ở giữa.
- Phương pháp giải phẩu bệnh từ bệnh phẩm nhuộm Grocott’s methenamine thấy những tế bào hình tròn hoặc hình ovale trong hoặc ngoài tế bào, đôi khi thấy những tế bào kích thước lớn, kéo dài thành hình xúc xích với kích thước tới 8 µm, có vách ngăn đặc hiệu.
- Phương pháp nuôi cấy được thực hiện ở hai nhiệt độ khác nhau vì nấm gây bệnh là một loại nấm lưỡng dạng. Nếu nuôi cấy ở nhiệt độ của phòng thí nghiệm, nấm mọc chậm, thường khoảng sau từ 2 đến 4 tuần nấm mới mọc. Khuẩn lạc nấm giống khuẩn lạc của các loại nấm Penicillium hoại sinh nhưng sinh sắc tố đỏ lan tỏa vào môi trường. Soi vi thể thấy những sợi nấm không màu, có vách ngăn, đính bào đài thành nhẵn, đầu có hai lớp tiểu bào đài, bào tử tròn, kích thước khoảng từ 2 đến 3 µm, mọc thành chuỗi. Nếu nuôi cấy ở nhiệt độ 37oC, khuẩn lạc nấm màu vàng nâu, có nếp nhăn, không sinh sắc tố đỏ. Soi kính hiển vi thấy những tế bào nấm men có kích thước từ 2 đến 6 µm, có vách ngăn ở giữa.
- Phương pháp chẩn đoán miễn dịch hiện nay chưa có xét nghiệm chẩn đoán nào lưu hành trên thị trường. Đã có một số kết quả khả quan trong nghiên cứu một loại kháng nguyên mannoprotein thành tế bào Mplp ứng dụng trong chẩn đoán.
Trong điều trị, loại nấm Penicillium marneffei nhạy cảm với thuốc amphotericin B, itraconazole. Tuy nhiên, việc điều trị khởi đầu nên dùng amphotericin B với liều lượng 0,6 mg/kg cân nặng/ngày, trong 2 tuần. Sau đó uống itraconazole 400 mg/ngày, trong 10 tuần. Do nhiều bệnh nhân tái phát bệnh sau 6 tháng nên cần điều trị duy trì itraconazole 200 mg/ngày. Nếu không được điều trị, khi bệnh nhân AIDS bị nhiễm loại nấm này thì 100% trường hợp đều bị tử vong.
Việc phòng bệnh chủ yếu là phòng các yếu tố nguy cơ như phòng nhiễm HIV. Việc dùng thuốc đề phòng bị nhiễm nấm Penicillium marneffei trên bệnh nhân nhiễm HIV đang sinh sống hoặc đi qua vùng dịch tễ của bệnh này đang được các nhà khoa học nghiên cứu.
Khuyến nghị
Hiện nay bệnh nhân nhiễm HIV đang có chiều hướng phát triển và gia tăng ở một số địa phương tại nước ta. Vì vậy các cơ sở y tế cần chú ý phát hiện và chẩn đoán các bệnh nhiễm trùng cơ hội mắc phải trên các đối tượng này, trong đó có những trường hợp bị nhiễm loại nấm Penicillium marneffei gây bệnh. Nếu bệnh được phát hiện, chẩn đoán sớm thì việc điều trị sẽ đáp ứng tốt với các loại thuốc đặc hiệu.