Tác giả: Purabi Barman, Harish Sidhwa, và Pinak A Shirkhande
Công ty Super Religare Laboratories, Bệnh viện Fortis Flt. Rajan Dhall, Vasant Kunj, New Delhi, Ấn Độ
Đăng tại https://www.ncbi.nlm.nih.gov/pmc/articles/PMC3125033/?report=printable 1/10
Tóm tắt
Burkhloderia pseudomallei gần đây đã thu hút sự quan tâm lớn như là một căn bệnh đang nổi tại Ấn Độ. Nó gây ra nhiều biểu hiện lâm sàng như là viêm phổi, nhiễm trùng máu, viêm khớp, áp xe, vv. Các ca bệnh đã được báo cáo từ vùngĐông Nam Á chủ yếu là Thái Lan, Malaysia, Việt Nam. Tại Ấn Độ, một vài ca bệnh đã được báo cáo chủ yếu từ vùng phía nam nước này. Ca bệnh được báo cáo này là một nam giới 65 tuổi và biểu hiện sốt 1 tháng trước, ho và khó thở cùng lúc, sưng cả hai mắt cá 7 ngày trước. B. pseudomalleiđã được phân tách từ chất tiết nội khí quản, mẫu nuôi cấy máu, vết thương ở chân. Người này đã được điều trị thành công với Imipenem và Doxycycline và hiện đang được điều trị duy trì, và đang tiến triển tốt.
Từ khóa: Burkhlorderia pseudomallei, Imipenem, Melioidosis, Septicaemia
TỔNG QUAN
Burkhloderia pseudomallei gần đây đã thu hút sự quan tâm lớn như là một căn bệnh đang nổi tại Ấn Độ. Nó gây ra nhiều triệu chứng lâm sàng khác nhau như viêm phổi, nhiễm trùng máu, viêm khớp, áp xe, vv và thường có liên quan đến tỷ lệ mắc và tử vong cao. Các ca bệnh này đã được báo cáo từ vùng Đông Nam Á như Thái Lan, Malaysia và Việt Nam, vv.[1].Tại Ấn Độ, hầu hết các ca tính đến nay đã được báo cáo từ các bang phía nam như Kerela[2] và Tamil Nadu.[3] Cũng có một số ca riêng lẻ được báo cáo từ vùng đông và đông bắc Ấn Độ.[2,4] Dù căn bệnh này không phổ biến tại Ấn Độ nhưng việc chẩn đoán sớm và chính xác cùng với việc đưa ra liệu pháp điều trị kháng sinh hợp lýlà điều then chốt giúp giảm thiểu số mắc và tử vong và mang lại kết quả điều trị mong muốn.
Ở đây chúng tôi báo cáo một ca bệnh Melioidosis có thể đã không được chẩn đoán sớm nhưng đã được cứu sống nhờ biện pháp can thiệp đúng đắn và kịp thời.
BÁO CÁO CA BỆNH
Bệnh nhân của chúng tôi là một bệnh nhân nam 65 tuổi đến từ bang Bihar. Người này biểu hiện các triệu chứng sưng hai mắt cá và đau, hoen đỏ mắt cá bên phải 7 ngày trước và sốt, ho, khó thở từ 1 tháng trước.
Hai tháng trước người này đã được điều trị sốt bằng Ceftriaxone vì xét nghiệm Widal trên bệnh nhân cho kết quả dương tính. Cùng lúc đó, ông tình cờ được chẩn đoán bị tiểu đường (diabetes mellitus DM). Khi được điều trị, mặc dù các triệu chứng của ông đã phần nào giảm bớt nhưng trong 7 ngày gần đây lại bị sốt cao, thở kém hơn và chán ăn. Sau đó ông đã được chuyển tới bệnh viện của chúng tôi để được chăm sóc tốt hơn.Kết quả khám cho thấy ông đã bị nhiễm độc, sốt, vàng da và mất nước. Nhiệt độ cơ thể là 38,8oC, huyết áp 90/70mm Hg, nhịp thở 50/phút, vànhịp tim 128/phút. Có nghe được âm thở phế quản bên trái và ran nổ hai bên (bilateral crackles). Lá lách phình nhẹ và không có dịch lỏng tự do trong bụng. Không phát hiện bất thường trong hệ tim mạch hoặc hệ thần kinh. Khi được kiểm tra, các mắt cá đã bị ban đỏ và phù nề. Chân phải của người này có các lớp mỡ dưới da cùng với mủ chảy ra. Mắt cá bên phải cũng bị sưng.Các xét nghiệm phòng thí nghiệm cho thấy các thông số sinh hóa và huyết học rất bất thường trong [Bảng 1] các mẫu máu và nước tiểu đã được đưa đi nuôi cấy.
Bảng 1: Các kết quả phòng thí nghiệm

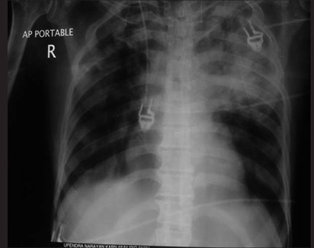
Hình ảnh X-quang ngực người này cho thấy tổn thương đông đặc đồng nhất ở thùy trái trên và lan sang các vùng mờ phế nang (alveolar opacities) trong các phần còn lại của phổi [Hình 1]. Hình ảnh siêu âm cho thấy sự tràn dịch màng phổi hai bên nhẹ và bụng ứ nước nhẹ cùng với lá lách phình.Không phát hiện thấy các tổn thương khu trú(focal lesions) và sự phình to bất thường của các cơ quan nội tạng.

Hình 1: Hình chụp X-quang ngực cho thấy tổn thương đông đặc ở thùy trái trên
Sau khi nhập viện tình trạng của người này trở nên tồi tệ hơn và có những bằng chứng lâm sàng cho thấy mắc Hội chứng Suy Hô hấp Cấp (Acute Respiratory Distress Syndrome), áp lực khí trong máu bất thường, và ở trong tình trạng suy hô hấp. Độ bão hòa ô-xy của ông là 78%. Từ những thông tin nền này, ông đã được đưa vào máy thở và bắt đầu điều trị với Piperacillin/Tazobactum và Clindamycin.
Vào ngày 2, chất dịch nội khí quản đã được gửi đi nuôi cấy. Khuẩn hình que (bacilli) gram âm đã được phát hiện bằng nhuộm gram [Hình 2]. Các cụm khuẩn màu nhạt không lên men có nước màu kim loại đã được phân lậpvào ngày tiếp theo trên thạch (agar) Blood và thạch Mac Conkey [Hình 3] !important; Bản phân lập này đã được xử lý kỹ hơn trên hệ thống Microscan Walkaway 96 Si. Bệnh nhân được tiếp tục điều trị các loại kháng sinh đang dùng. Tuy nhiên lượng tổng bạch cầutăng mạnh lên 26.000/mm khối.

Hình 2: Khuẩn hình que gram âm có hình dạng kim băng sau khi nhuộm Gram 

Hình 3: Các cụm khuẩn of Bukhlorderia pseudomallei trên thạch Mac Conkey
Vào ngày 4, bản phân lập này đã được xác định làBurkhlorderia pseudomallei, nhạy vớiImipenem,Cotrimoxazole/Sulfamethoxazole, Tetracycline và kháng với Ceftazidime. Sau đó, cả hai bản nuôi cấy từ máu và mủ trích từ chân phải người này[Hình 4] cũng phát triển thành B. pseudomallei. Dựa trên báo cáo độ nhạy, thuốc kháng sinh đã được thay thế sang dùng kết hợp Imipenem và Doxycycline. Bệnh nhân đã cho thấy sự cải thiện, giảm sốt, tổng lượng bạch cầu giảm, độ bão hòa ô-xy là 100%, và đã được rút ống thở máy vào ngày 8. Người này tiếp tục được dùng kháng sinh và sau khi đã hoàn toàn hồi phục và cải thiện gan và các thông số thận thì người này đã được cho xuất viện vào ngày 20.
BÀN LUẬN
B. pseudomalleilà một vi khuẩn sống ngoài môi trườngvà phân tán rộng rãi trong đất, nước, ruộng lúa, vv. Nó sống ở các vùng nhiệt đới và cận nhiệt đới của nước Úc và các nước Đông Nam Á. Tại Ấn Độ, cũng đã có vài trường hợp được phát hiện mặc dù còn nhiều ca chưa được báo cáo do các biểu hiện hay thay đổi (protean manifestations) của nó. Bảng 2 cung cấp một báo cáo tóm lược các ca bệnh khác nhau được báo cáo từ Ấn Độ. Phần lớn các ca này được báo cáo từ vùng phía nam mặc dù Melioidosis có thể phân bố ở những khu vực khác nữa. Hai trong số các ca được báo cáo từ Tamil Nadu thực sự có nguồn gốc từ vùng phía đông India.[4] Bệnh tiểu đường đã được phát hiện là một trong những yếu tố thường xuyên nhất dẫn đến nhiễm vi khuẩn ăn thịt này. Sự nhiễm khuẩn ở người xảy ra thông qua hít vào hoặc tiếp xúc trực tiếp lên vùng da bị tổn thương. Bệnh nhân của chúng tôi đã phơi nhiễm với các đợt lụt lội gần đây và điều này có thể chính là nguồn gốc gây nhiễm bệnh.
Bảng 2: Đánh giá tổng quan các ca bệnh tại Ấn Độ

Các bệnh nhân của chúng tôi với các bệnh lý nền như tiểu đường, bệnh thận,[6] và dương tính HIV[7],đã mắc phải vi khuẩn này thông qua sự nhiễm bệnh chủ động (active infection). Trong trường hợp bệnh nhân này, bệnh tiểu đường đã được phát hiện tình cơ trong quá trình khám bệnh. Vidyalaxmi và đồng sự[6] đã phát hiện mốitương quan 76% giữa tiểu đường và Melioidosis. Melioidosis có biểu hiện toàn thân với sự liên quan của phổi là biểu hiện phổ biến nhất.Nó cũng có liên quan đến gan và lá lách.[8,9] Các vấn đề liên quanđến xương cũng đã được báo cáo trong số 16% các ca bệnh bởi Chiranjay và đồng sự.[10] Ca bệnh này của chúng tôi có biểu hiện điển hình là liên quan đến phổi cùng với nhiễm trùng máu.Hiện tượng lách to cũng được ghi nhận nhưng không hình thành áp-xe. Sự liên quan đến các mô mềm cũng được ghi nhận mặc dù không có tổn thương xương nào.
Loại thuốc được tin dùng là Ceftazidime trong điều trị melioidiosis toàn thân.[12] Việc xem xét các công trình nghiên cứu cho thấy rằng có thể điều trị thành công khi dùng kết hợp Ceftazidime và Co-trimoxazole [Bảng 2]. Chủng vi khuẩn chúng tôi phát hiện đã kháng vớiCeftazidime vàdo đó bệnh nhân đã được cho dùng Imipenem và Doxycycline. Các nghiên cứu[13,14] đã cho thấy rằng mặc dù Ceftazidime là loại thuốc được tin dùng, nhưng Carbepenems lại có đáo ứng tốt hơn đối vớiB. pseudomallei.
Bệnh nhân đã được cho điều trị bằng liệu pháp duy trì các thuốc Doxycycline, Trimethoprim –Sulfamethoxazole và đang tiến triển tốt. Các nghiên cứu cũng đã ghi nhận các ca tử vong dù đang được điều trị hoặc do chẩn đoán muộn.[4,8]
KẾT LUẬN
Việc báo cáo ca bệnh này nhằm mục đích nâng cao cảnh giác đối với sự xuất hiện Melioidosis tại Ấn Độ. Ca bệnh này có thể cũng đã bị bỏ lỡ do thiếu sự nhận thức lâm sàng và chẩn đoán vi sinh vật đúng đắn. Cần có sự nghi ngờ cao độ khi chẩn đoán ca bệnh cónhiều biểu hiện lâm sàng khác nhau.
Bên cạnh đó, ca bệnh này nhấn mạnh tầm quan trọng của việc phải có các dịch vụ vi sinh học nâng cao trong việc quản lý chăm sóc bệnh nhân.Chúng tôi đã có thể điều trị thành công ca bệnh này nhờ vàoviệc đưa ra các loại thuốc kháng sinh đúng đắn dựa trên phản hồi vi sinh vật học.
TÀI LIỆU THAM KHẢO
1.  !important;Raja NS, Ahmed MZ, Singh NN. Melioidosis: An emerging infectious disease. J Postgrad Med. 2005;51:140–5. [PubMed]  !important;[Google Scholar]
2.  !important;Anuradha K, Meena AK, Lakshmi V. Isolation of Burkholderia pseudomallei from a case of septicaemia: A case report. Indian J Med Microbiol. 2003;21:129–32. [PubMed]  !important;[Google Scholar]
3.  !important;Jesudason MV, Anbarasu A, John TJ. Septicaemic melioidosis in a tertiary care hospital in south India. Indian J Med Res. 2003;117:119–21. [PubMed]  !important;[Google Scholar]
4.  !important;Viswaroop BS, Balaji V, Mathai E, Kekre NS. Melioidosis presenting as genitourinary infection in two men with diabetes. J Postgrad Med. 2007;53:108–10. [PubMed]  !important;[Google Scholar]
5.  !important;Cherian T, John TJ, Ramakrishna B, Lalitha MK, Raghupathy P. Disseminated melioidosis. Indian Pediatr. 1996;33:403–6. [PubMed]  !important;[Google Scholar]
6.  !important;Vidyalakshmi K, Shrikala B, Bharathi B, Suchitra U. Melioidosis: An under-diagnosed entity in western coastal India: A clinico-microbiological analysis. Indian J Med Microbiol. 2007;25:245–8. [PubMed]  !important;[Google Scholar]
7.  !important;Balaji V, Rajiv K, Abraham OC. Burkholderia pseudomallei recovered in an HIV-positive individual. Indian J Med Sci. 2008;62:456–8. [PubMed]  !important;[Google Scholar]
8.  !important;Mukhopadhya A, Balaji V, Jesudason MV, Amte A, Jeyamani R, Kurian G. Isolated liver abscesss in melioidosis. Indian J Med Microbiol. 2007;25:150–1. [PubMed]  !important;[Google Scholar]
9.  !important;Dhodapkar R, Sujatha S, Sivasangeetha K, Prasanth G, Parija SC. Burkholderia pseudomallei infection in a patient with diabetes presenting with multiple splenic abscesses and abscess in the foot: A case report. Cases J. 2008;1:224. [PMC free article]  !important;[PubMed]  !important;[Google Scholar]
10.  !important;Mukhopadhyay C, Chawla K, Krishna S, Nagalakshmi N, Rao SP, Bairy I. Emergence of Burkholderia pseudomallei and pandrug-resistant non-fermenters from southern Karnataka, India. Trop Med Hyg. 2008;102:S12–7. [PubMed]  !important;[Google Scholar]
11.  !important;Noyal MJ, Harish BN, Bhat V, Parija SC. Neonatal melioidosis: A case report from India. Indian J Med Microbiol. 2009;27:260–3. [PubMed]  !important;[Google Scholar]
12.  !important;Sookpranee M, Boonma P, Susaengrat W, Bhuripanyo K, Punyagupta S. Multicenter prospective randomized trial comparing ceftazidime plus co-trimoxazole with chloramphenicol plus doxycycline and co-trimoxazole for treatment of severe melioidosis. Antimicrob Agents Chemother. 1992;36:158–62. [PMC free article]  !important;[PubMed]  !important;[Google Scholar]
13.  !important;Walsh AL, Smith MD, Wuthiekanun V, White NJ. Postantibiotic effects and Burkholderia (Pseudomonas) pseudomallei: Evaluation of current treatment. Antimicrob Agents Chemother. 1995;39:2356–8. [PMC free article]  !important;[PubMed]  !important;[Google Scholar]
14.  !important;Cheng AC, Fisher DA, Anstey NM, Stephens DP, Jacups SP, Currie BJ. Outcomes of patients with melioidosis treated with meropenem. Antimicrob Agents Chemother. 2004;48:1763–5. [PMC free article]  !important;[PubMed]  !important;[Google Scholar]
  !important;