1. Vo Đại Nhan, luukhach134@gmai.com, Phước Long, Bình Phước
Hỏi: Cha tôi thường sáng khi ngủ dậy khoảng 5 giờ 30 phút sáng hay bị cứng các ngón tay giữa và ngón nhẫn, xoa bóp dầu nhiều lần vẫn không thuyên giảm được chút nào, có khi đau có khi không, nhiều khi phải nhờ người khác kéo ra thì đỡ, hoặc hai ngón này dính lại với nhau có khi từ sáng đến trưa, có khi từ trưa đến tôi. Cha tôi không có tiền sử bệnh gì đặc biệt và năm nay ông được 72 tuổi. Có đi khám và xét nghiệm máu, nước tiểu,…nhiều cơ sở y tế khác nhau với nhiều chẩn đoán là viêm khớp dạng thấp, hoặc ngón tay cò súng. Tôikhông hiểu như thế nào về các bệnh lý này. Kính mong các thầy thuốc giải đáp, xin chân thành cảm ơn.
Trả lời: Trước hết chúng tôi xin chân thành cảm ơn câu hỏi của bạn – một lần nữa giúp chúng tôi bổ sung thêm thông tin về bệnh lý xương khớp này. Thông qua thư của bạn, chúng tôi xin đưa ra bác bị triệu chứng của “ngón tay cò súng” hay “ngón tay bật” nhiều hơn bạn ạ. Để trả lời cho câu hỏi về bệnh lý này, chúng tôi xin trích về phần phúc đáp như sau: ngón tay co quắp dạng “cò súng” thường diễn ra sau khi ngủ dậy hoặc lúc nắm chặt bàn tay...tự nhiên dinh luôn Muốn trở về tư thế chức năng ban đầu thì phải có sự hỗ trợ của tay kia, lúc đó bạn có cảm giác “bật ngón tay”, tên thường gọi của tình trạng này là hội chứng ngón tay bật. Đây là tình trạng viêm bao gân gập ngón tay mà các ngón hay gặp là ngón trỏ, ngón giữa và ngón đeo nhẫn và thường phối hợp với tình trạng chấn thương lặp đi lặp lại. Những bệnh nhân lớn hơn 40 tuổi, có tiền căn tiểu đường, viêm khớp dạng thấp hay bị hơn. Các sợi gân bình thường sẽ trượt tới lui bên dưới các ròng rọc. Khi có một nốt phát triển trong gân (do viêm), nốt này có thể chui qua ròng rọc khi gân gập nhưng không thể chui lại khi gân duỗi và gây ra “kẹt” ở chỗ ròng rọc làm ngón tay khó duỗi ra, khi cố gắng duỗi ngón tay sẽ gây ra tình trạng ngón tay không cử động nhẹ nhàng mà bị bật.
Đây là bệnh lý mà việc chẩn đoán thầy thuốc cần dựa trên khâu hỏi bệnh sử và khám lâm sàng, các xét nghiệm cận lâm sàng không giúp ích gì nhiều, nếu chăn chỉ là hỗ trợ cho vấn đề thoái hóa khớp, viêm xương, gai xương, bệnh goutte,…Nguyên nhân có thể do quá trình viêm khớp và thoái hóa ở khớp bàn ngón tay, thường thấy ở bệnh nhân viêm đa khớp kéo dài, có sự lắng đọng hyalin và tăng sản mô liên kết. Giai đoạn đầu bệnh nhân chỉ có cảm giác đau khi gấp, duỗi gân các ngón tay; sau đó ngón tay gấp, duỗi khó hơn nhưng vẫn chủ động làm được. Giai đoạn viêm mãn tính, bệnh nhân muốn duỗi thẳng ngón tay thì cần có sự hỗ trợ của tay kia. Trường hợp nặng, ngón tay bị kẹt ở tư thế nửa co.
Thương tổn có thể xảy ra ở một ngón hoặc nhiều ngón tay. Triệu chứng lâm sàng điển hình là bệnh nhân sẽ đau, đặc biệt vùng nếp gấp xa của gan bàn tay và ngón tay bị kẹt khi duỗi ra, có bệnh nhân mô tả sự chuyển động bật của ngón tay khi duỗi giống như đầu con bửa củi cử động. Cơn đau thường vào sáng sớm lúc thức dậy và giảm dần trong ngày. Khi khám sẽ thấy có nốt gây đau có thể sờ được ở vùng nếp gấp xa gan bàn tay. Càng về sau khi nốt phát triển bệnh nhân sẽ khó khăn khi cử động ngón tay và đôi khi nặng tới mức không thể gập ngón tay vào được.
Điều trị bắt đầu bằng cách nẹp cho khớp bàn đốt duỗi trong 10-14 ngày và dùng thuốc kháng viêm giảm đau không steroides hoặc tiêm corticoide vào màng gân. Thể bệnh nhẹ bệnh nhân có thể đến khám ở bác sĩ chuyên khoa xương khớp, chấn thương chỉnh hình để chữa trị bằng thuốc kháng viêm hoặc tiêm hydrocortisone thể nhũ tương vào cạnh gân, tại dây chằng vòng A1 ngang với khớp bàn, ngón; tiêm 3-4 lần, cách nhau 5-6 ngày, cần phải đảm bảo tuyệt đối vô khuẩn và tiêm đúng phương pháp. Thể nặng hoặc không đáp ứng với điều trị nội khoa thì có chỉ định mổ cắt đứt dây chằng vòng A1, đôi khi cắt bỏ phần lồi của gân. Sau phẫu thuật cần tiếp tục điều trị bằng thuốc kháng viêm và tập vật lý trị liệu để tránh dính gân tái phát.
2. Nguyen Tuan Minh, 24/14 Luong Dinh Cua, TP. Can Tho, minhnt75@yahoo.
Hỏi: Trong thời gian gần đây nhiều bệnh dịch xảy ra trên thế giới và ở Việt Nam cũng vậy, cứ mỗi lần diễn ra dịch bệnh truyền nhiễm thì giới chức y tế khuyên tiêm vaccine, nhưng thời gian qua có quá nhiều “Scandal” về vaccine liên quan đến cả các phản ứng nguy hại, thậm chí chết người nữa là đằng khác. Do đó, bậc làm cha mẹ như chúng tôi muốn tiêm phòng vaccine cũng sợ sợ thế nào. Do đó, chúng tôi xin hỏi các bác sĩ cho biết các tác dụng phụ và phản ứng có thể gặp khi tiêm vaccin không?
Trả lời: Với câu hỏi tham vấn cuaqr gia đình anh chị, chung tôi xin mạn phép chia sẻ một phần trả lời của một chuyên gia liên quan đến vaccine đến phần bạn đề cập:
Bản chất vaccin dù hiểu như thế nào thì cũng chính là những mầm bệnh. Thế nên chúng sẽ chứa những tai biến và biến chứng sinh học cần dè chừng. Không thể không chủng vaccin nhưng cũng không thể sử dụng vô tội vạ…
Bản chất là mầm bệnh -Vaccin là những chế phẩm sinh học chứa mầm bệnh hay những thành phần tương tự mầm bệnh đã được làm giảm độc lực hay hoạt tính để làm mất hoặc giảm khả năng gây bệnh nhưng còn giữ được tính kháng nguyên. Bằng cách chủng vaccin, kháng nguyên của mầm bệnh sẽ được trình diện để cơ thể tiếp xúc và phản ứng. Những mầm bệnh này sẽ tác động vào các cơ quan miễn dịch để kích thích tạo ra những thành phần có thẩm quyền miễn dịch như kháng thể, bổ thể, tạo ra các dấu ấn miễn dịch mà không làm tổn thương tế bào sống hay cơ quan. Sự phản ứng giống như là cơ thể đang chống cự lại với một bệnh tật thật sự, chỉ khác là mầm bệnh mà cơ thể đang chiến đấu chỉ là những yếu tố hay sinh thể sống đã bị làm yếu đi rất nhiều. Kết quả là cơ thể sẽ thắng và tạo ra một trí nhớ miễn dịch lâu dài. Về sau, nếu cơ thể bị nhiễm phải mầm bệnh này thì cơ thể sẽ đủ sức tạo ra một cơ số kháng thể để kháng cự.
Nếu không được sử dụng vaccin thì cơ thể sẽ dễ nhiễm bệnh và tình trạng bệnh nếu có sẽ dễ bị nặng. Nhưng nếu được sử dụng vaccin đầy đủ thì cơ thể sẽ ít bị nhiễm bệnh hoặc nếu có nhiễm bệnh thì mức độ bệnh cũng không đến mức tử vong. Đó chính là ưu điểm tuyệt đối của vaccin. Cho đến nay chúng ta đã có khá nhiều loại vaccin. Các vaccin tuy khác nhau ở thành phần, công nghệ chế tạo và tác dụng nhưng về bản chất thì chúng bao gồm ba loại sau đây:
- Loại 1 là các vaccin chứa các mầm bệnh còn sống đã được làm yếu đi (vaccin sống giảm độc lực) như vaccin chống bệnh bại liệt, than, dịch hạch, đậu mùa, sốt vàng, lao và dại.
- Loại 2 là những vaccin chứa các mầm bệnh đã chết như vaccin thương hàn, phó thương hàn, cúm, ho gà, bại liệt, sởi, sốt phát ban rubella, tả.
- Loại 3 là các vaccin chứa độc tố gây bệnh đã được giảm độc tính như vaccin chống bạch hầu, uốn ván.
Chủng ngừa vaccin là một biện pháp hiệu quả để đẩy lùi tỷ lệ bệnh truyền nhiễm. Ưu điểm nổi trội của vaccin là không thể chối cãi. Tuy nhiên, nó không phải là một chế phẩm chỉ có ưu điểm, bản thân nó cũng chứa những rủi ro đáng ngại. Các tai biến có thể gặp:
Như đã nói ở trên, bản chất vaccin dù hiểu như thế nào thì cũng chính là mầm bệnh, thế nên chúng cũng chứa những tai biến và biến chứng sinh học cần dè chừng. Không thể không chủng vaccin nhưng cũng không thể sử dụng không đúng chỉ định. Một trong các tác dụng phụ đáng ngại chính là gây biến chứng tại chỗ nếu sử dụng vaccin theo đường tiêm. Chúng có thể gây viêm, sưng, phồng đau nơi tiêm. Đau đến mất ngủ. Tệ hơn chúng có thể đưa đến loét da tại chỗ gây nhiễm khuẩn. Tác dụng khác cũng gây khó chịu đó là sốt cao, thậm chí là sốt rất cao do chúng gây ra các phản ứng miễn dịch. Sốt do tiêm vaccin có thể lên đến 40oC hoặc hơn gây ra co giật ở trẻ em. Kèm theo sốt là hiện tượng đau mỏi cơ khớp, ê ẩm mình mẩy như một người ốm thực sự. Có khi chúng ta còn thấy cơ thể nổi ban đỏ khắp người hoặc cảm giác chóng mặt kéo dài, giảm trí nhớ và có thể mắc bệnh ở não trầm trọng sau khi sử dụng.
Ngoài ra, một biến chứng khác chính là dị ứng với vaccin. Ở một số người và một số loại vaccin cụ thể người ta có thể gặp những phản ứng dị ứng quá mức có hại. Các phản ứng dị ứng này có thể gây ra tử vong nếu không được xử trí bài bản và đúng quy trình. Hiện tượng dị ứng với vaccin là do cơ thể dị ứng với những chất đệm trong vaccin hay dị ứng với chính những kháng nguyên là những protein trong thành phần của nó. Dứt khoát sau khi tiêm vaccin 15 phút, chúng ta phải ở lại nơi tiêm để được quan sát và xử lý những dị ứng có thể xảy ra.
Tất cả những tác dụng không mong muốn trên là những tác dụng phụ thường gặp nhất. Song có lẽ tác dụng phụ hay biến chứng tai hại nhất của nó chính là nhiễm mầm bệnh mà vaccin đưa vào. Điều này có thể do vaccin kém chất lượng, không làm giảm hoạt tính gây bệnh đủ mức cần thiết hay là cơ thể không đủ khả năng miễn dịch tối thiểu để tiêu diệt những mầm bệnh “yếu xìu” này. Vì thế thay vì phòng bệnh cơ thể lại nhiễm bệnh. Tai biến này cần đặc biệt được lưu tâm với các vaccin sống giảm độc lực như vaccin lao và dại. Người bệnh không những không phòng được lao và dại mà còn mắc chính lao và dại do mầm bệnh trong vaccin trỗi dậy. Để tránh những biến chứng này, việc sử dụng đúng vaccin cho đúng đối tượng là tiêu chuẩn hàng đầu.
Những đối tượng cần đặc biệt lưu ý:
+ Vì vaccin có thể gây phản ứng dị ứng nên chúng ta cần hết sức chú ý với những người hay bị dị ứng. Cụ thể, những người mà dị ứng với kháng sinh neomycin hay polymyxin B thì không nên sử dụng vaccin rubella, sởi, quai bị hay vaccin phối hợp (vaccin MMR chống ba bệnh sởi-quai bị-rubella);
+ Những người mà dị ứng với nấm men thì không nên sử dụng vaccin phòng nhiễm viêm gan virus B;
+ Những bệnh nhân mà bị dị ứng với kháng sinh dòng aminoglycosid như gentamicin, streptomycin thì không nên sử dụng vaccin cúm do chúng có thể gây dị ứng dữ dội. Còn nếu những đối tượng có dị ứng với trứng gà thì hãy dè chừng với những vaccin chống cúm, sởi, quai bị vì chúng được chế tạo trong phôi gà. Do vậy, hỏi kỹ về tiền sử dị ứng ở những người này bao gồm dị ứng thuốc, dị ứng thức ăn là một việc làm cần hết sức cẩn thận trước khi tiêm chủng;
+ Lý do vaccin có thể làm nhiễm chính mầm bệnh của vaccin nên những người có sức khoẻ yếu, đang mắc bệnh cấp tính, mắc bệnh nhiễm trùng, đang điều trị hoá chất, bị suy giảm miễn dịch thì cần điều chỉnh chiến lược dùng vaccin. Ví dụ, những người bị viêm phổi hay bị viêm phế quản mạn giai đoạn bùng phát thì nên cân nhắc khi sử dụng vaccin cúm;
+ Phụ nữ mang thai không nên sử dụng vaccin chống bại liệt. Ba tháng sau khi sử dụng vaccin rubella, sởi, quai bị mới nên có thai vì những vaccin này có thể gây quái thai cho thai nhi. Những người đang sốt cao cũng không nên sử dụng vaccin ngay trong giai đoạn sốt;
+ Cuối cùng, vì những tác dụng phụ đáng ngại nên ngoại trừ những vaccin thông thường thì các vaccin khác cần phải có chỉ định đầy đủ khi sử dụng. Đó là những vaccin chống lại những bệnh cụ thể ở một số nhóm đối tượng cụ thể. Nếu không thì rất có thể sẽ gia tăng nguy cơ khi sử dụng, các nguy cơ khác nhau phụ thuộc vào tuổi, bệnh sẵn có và ngành nghề. Những vaccin này bao gồm: vaccin chống viêm gan A, phòng tả, dại và thương hàn;
Trong qua trình sử dụng vaccin chúng ta cần lưu ý là phải sử dụng đủ liều, đủ lần thì cơ thể mới đủ khả năng miễn dịch hay đủ trí nhớ miễn dịch sau này. Cần thiết tuân theo lịch tiêm chủng và tham gia đầy đủ, nhất là 3 tháng đầu sơ sinh. Tham gia càng đủ, chúng ta càng ít cơ hội nhiễm bệnh. Với sự phát triển của khoa học như ngày nay, nhiều loại vaccin mới đã được tạo ra với hoạt tính mạnh hơn, an toàn hơn. Nhưng cho dù có vậy thì chúng vẫn chứa trong mình những nguy cơ quan ngại không tránh khỏi. Vì thế, mỗi người, không chỉ mỗi gia đình mà mỗi bác sĩ hãy dùng vaccin an toàn để có một hiệu quả tối ưu trong công cuộc phòng chống bệnh tật của quốc gia.
Hy vọng những phần trả lời nói trên đã phần nào giúp bạn hiểu rõ cân nhắc trong vấn đề tiêm chủng vaccin hiện nay. Thân chúc bạn khỏe!
3. Nguyen Thị Tuyet Tr., Mỹ viện Phong L., Gia Lai,...
Hỏi: Chào ban biên tập của trang web Viện Sốt rét KST-CT Quy Nhơn, chị tôi năm nay 46 tuổi có gia đình và 2 con trai đã lớn. Gần đây cảm thấy đau bên vú phải va không nhức, không sốt, đau liên tục không có cơn nghỉ, cường độ đau nhẹ. Đi khám tại BV Ung bướu Sài Gòn cho chẩn đoán là bướu diệp thể ở vú. Tôi không biết loại u bướu này có nguy hiểm không, lành tính hay ác tính, ung thư. Hiện cả gia đình tôi rất hoang mang không biết thế nào, kính mong các bác sĩ giúp đỡ. Chân thành cảm ơn!
Trả lời: Xin chia sẻ nỗi lo lắng của chị bạn và gia đình trong lúc này, vì nói với người dân chúng ta hiện nay cứ nói đến u (dù chưa biết lành hay ác) cũng đã thấy “toát mồ hôi” rồi phải không bạn. Tuy nhiên, chúng tôi hy vọng những thông tin sau đây sẽ phần nào giải đáp các lo toan của chị bạn và gia đình bạn nhé.
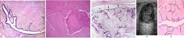
Bướu diệp thể là một dạng bệnh lý của tuyến vú, được mô tả lần đầu tiên năm 1838 bởi Johannes Muller và ban đầu ông gọi nó là sarcome nang diệp thể (cystosarcoma phyllodes). Từ đó đến nay, bướu đã có nhiều tên gọi, và đến năm 1981– bướu đã được Tổ chức Y tế Thế giới (WHO) thống nhất gọi là bướu diệp thể (phyllodes tumor). Bướu thường diễn tiến chậm, đa số lành tính dù kích thước thường lớn, bướu ít gặp, chiếm 0.3 – 0,9% các trường hợp u vú và chiếm khoảng 2,3% các trường hợp tân sinh thuộc nhóm sợi tuyến của vú.
Việc chẩn đoán bướu không quá khó khăn, trừ một số trường hợp việc chẩn đoán phân biệt bướudiệp thể với bướu sợi tuyến thực sự là một thử thách. Năm 1838, Muller mô tả một loại bướu khổng lồ có mặt cắt ngang giống như chiếc lá, bề ngoài bướu giống khối thịt, trong lòng có chỗ hóa nang. Năm 1980, theo phân loại của CIM-O, bướu được xếp vào nhóm bướu sợi-tuyến gồm: bướu sợi tuyến khổng lồ và bướu diệp thể lành – ác. Năm 1981, WHO đề nghị không sử dụng từ cystosarcoma phyllodes nữa mà đề nghị gọi là "bướu diệp thể" (phyllodes tumor)1. Tên gọi này nhanh chóng được chấp nhận rộng rãi, vì tự nó không cho biết về bản chất lành ác của bướu mà tính lành ác này sẽ được xác định bằng các đánh giá về mô học. Như vậy, theo WHO thì bướu diệp thể là một bướu giới hạn rõ, có cấu trúc giống lá cây, bao gồm thành phần là mô liên kết và biểu mô, tương tự bướu sợi tuyến nhưng có thành phần mô liên kết nhiều hơn.
Về mặt giải phẫu học:
Đại thể
+Bướu diệp thể lành và ác đại thể giống nhau, giới hạn rõ, mặc dù bướu không có vỏ bao thực sự;
+Kích thước bướu thay đổi khá nhiều từ 1 cm đến 40 cm. Bướu có giới hạn rõ, dạng một khối tròn hay bầu dục, bờ đa cung, bướu có vỏ bao giả;
+Bên trong bướu có chỗ hóa nang, có những vùng mỡ vàng, vùng xuất huyết, vùng hoại tử, mặt cắt nhầy và phồng, vùng sợi chắc xen kẽ vùng mô mềm;
+Tính chất hình lá của bướu là do những chồi dạng nhú của mô đêm được lót bởi biểu mô tạo nên.
Vi thể
+Bướu diệp thể gồm hai thành phần là biểu mô và thành phần mô đệm tương tự như bướu sợi tuyến vú.
- Thành phần biểu mô: tương tự biểu mô ống tuyến của mô vú xung quanh, bao gồm tế bào biểu mô ống tuyến vú và tế bào cơ biểu mô, cũng có thể có tăng sản và biến đổi không điển hình.
- Thành phần mô đệm: đây là thành phần giúp xác định bướu diệp thể lành hay ác, cũng nhưphân biệt bướu diệp thể với bướu sợi tuyến.
+WHO đã xếp hạng bướu diệp thể thành 3 nhóm, đó là: lành, ác, và nhóm giáp biên dựa vào những tiêu chuẩn sau:
- Mức độ tế bào mô đệm (stromal cellularity): thấp, trung bình hay cao;
- Sự đa dạng hình thái tế bào (cellular pleomorphism): nhẹ, trung bình, nặng;
- Số phân bào: ác khi có nhiều hơn 10 phân bào trên một quang trường kính 10, lành khi có ít hơn 4 phân bào trên một quang trường kính 10;
- Bờ bướu: có chèn ép hay xâm nhiễm hay không;
- Dạng mô đệm: đồng nhất, không đồng nhất hay quá phát.
+Từ đó WHO xếp loại như sau:
- Bướu ác: hiện diện ở mức tối đa có ít nhất 4 yếu tố trên (khoảng 30-35% các trường hợp);
- Bướu lành: ít nhất 3 yếu tố trên ở mức thấp nhất và có không quá 2 yếu tố ở mức trung bình;
- Giáp biên: khi không thuộc 2 nhóm kể trên.
+Lưu ý:
- Có khoảng 25% bướu diệp thể ác mà tính chất ác chỉ biểu hiện ở một số vùng tập trung trong bướu thành từng ổ và có thể bị bỏ sót.
- Một số bướu ác tính, sự quá phát mô đệm có thể lấn át thành phần biểu mô khiến khó phân biệt với bướu diệp thể trên vi thể. Chẩn đoán bướu diệp thể cần thấy được thành phần ống tuyến.
Chẩn đoán
Lâm sàng
- Bướu gặp ở bệnh nhân lứa tuổi 30 đến 70 tuổi, trung bình khoảng 40, lớn hơn tuổi trung bình của bướu sợi tuyến khoảng 15-20 tuổi;
- Đa phần là một bướu không đau, tròn nhẵn. Bướu phát triển liên tục, cũng có khi phát triểnnhanh từ một bướu ổn định trước đó. Da trên bướu có thể căng bong, mỏng với những tĩnh mạch dãn bên trên. Núm vú ít khi bị xâm lấn, ít khi bị kéo tụt vào;
- Hạch nách có thể thấy trong 1/5 trường hợp nhưng hiếm khi mà nghi ngờ di căn, thường là viêm do bướu hoại tử hay nhiễm trùng.
Cận lâm sàng
- Chụp nhũ ảnh: tương tự bướu sợi tuyến, đó là sang thương có đậm độ cao, bờ đều, đa cung, không có vôi hóa. Không có dấu hiệu gợi ý bướu diện thể lành hay ác.
- Siêu âm: bướu cho phản âm đồng nhất, ngoài ra còn thấy hình ảnh các nang nhỏ ở ngoại vi có chứa dịch. Trên siêu âm cũng khó phân biệt bướu này với bướu sợi tuyến, ngoài một số gợi ý như có nang trong bướu, hình ảnh tăng sinh mạch máu.
- Chọc hút tế bào bằng kim nhỏ (FNA - Fine Needle Aspiration): không có tiêu chuẩn nào để phân biệt bướu diệp thể vú với bướu sợi tuyến vú. Nếu có hình ảnh tăng sản sợi trên FNA, có thể nghĩ đến bướu diệp thể, nhưng nếu lấy mẫu sai, không có thành phần mô đệm sẽ gây khó khăn cho chẩn đoán. FNA chỉ nên dùng để loại trừ sang thương ác tính, loại trừ carcinome;
- Phẩu thuật cắt lạnh: phân biệt giữa bướu diệp thể và bướu sợi tuyến trên cắt lạnh rất khó. Thành phần giống sarcôm của bướu diệp thể lại có thể cho chẩn đoán nhầm là carcinome kém biệt hóa, do vậy có thể đưa đến những phẫu thuật tận gốc không cần thiết;
- Sinh thiết: là lấy trọn sang thương kèm hay không kèm mô vú bình thường quanh bướu. Cho chẩn đoán chính xác nhất.
Tóm lại, chẩn đoán bướu diệp thể với bướu sợi tuyến trước mổ khó khăn, do đó khó tránh khỏi việc mổ bướu sợi tuyến không cần thiết. Lấy bướu thường là cách điều trị cho những bướu vú nghĩ lành tính. Tuy nhiên điểm khác biệt về diễn tiến giữa bướu diệp thể và bướu sợi tuyến đó là có một tỷ lệ khoảng 20% bướu diệp thể sẽ tái phát nếu phẫu thuật chỉ lấy bướu mà không có một bờ an toàn khoảng 2 cm. Tỷ lệ này không khác nhau lắm giữa bướu diệp thể lành, ác và giáp biên.
Điều trị
Điều trị lần đầu
+ Bướu diệp thể lành: điều trị là cắt rộng. Nếu đã lấy bướu trước đó, có thể phẫu thuật cắt rộng lại hoặc theo dõi sát.
+ Bướu diệp thể ác: đoạn nhũ được nhiều tác giả đề nghị, nhưng nghiên cứu cho thấy tỉ lệ sống còn tương tự nhau ở hai nhóm điều trị bảo tồn và điều trị đoạn nhũ. Điều trị bảo tồn cho tỉ lệ tái phát tại chỗ cao hơn đoạn nhũ. Điều này đặt ra vấn đề là có nên xạ trị bổ sung trong những ca điều trị phẫu thuật bảo tồn bướu diệp thể ác hay không? Điều này vẫn đang được nghiên cứu. Một số nghiên cứu đã cho thấy xạ trị bổ túc sau mổ làm giảm tỉ lệ tái phát tại chỗ nhưng chưa thấy ảnh hưởng lên tỉ lệ sống còn. Tương tự như xạ trị, vai trò của hóa trị hỗ trợ trong điều trị bướu diệp thể ác cũng chưa rõ. Hạch nách có trong 10% - 20% các trường hợp, chủ yếu là hạch viêm, hạch di căn trong bướu diệp thế ác dưới 5%, do đó không có chỉ định nạo hạch. Nếu hạch mà lâm sàng nghi ngờ thì sinh thiết hạch.
Điều trị tái phát tại chỗ
+ Phần lớn bướu tái phát tại chỗ có mô học tương tự bướu ban đầu. Cũng có một tỉ lệ nhỏ bướuchuyển dạng từ lành sang ác;
+ Đối với tái phát tại chỗ nhỏ, có thể cắt rộng với rìa 2-3cm. Tái phát lớn hay tái phát của bướu diệp thể ác, đìêu trị chọn lựa là đoạn nhũ.
Điều trị di căn xa
+ Chỉ có thành phần mô đệm cho di căn xa. Trong đó, chỉ có khoảng chưa tới 5% các trường hợp bướu diệp thể cho di căn xa, tỉ lệ đối với bướu diệp thể ác khoảng 10-25%;
+ Di căn xa thường gặp nhất là phổi, chiếm 70-80% các trường hợp, màng phổi 60-70%, và xương 25-30%. Kích thước bướu, mức độ phân bào và mức độ kém biệt hóa của mô đệm là những yếu tố tiên đoán quan trọng cho sự di căn;
+ Tuy nhiên kết quả điều trị những trường hợp di căn xa rất kém. Điều trị di căn xa của bướu diệp thể tương tự điều trị của sarcome; Với những di căn xa có thể cắt bỏ được như di căn đơn độc lên phổi thì điều trị là phẫu thuật;
+ Hóa trị thường dùng Ifosfamide, doxorubicin. Mặc dù có một tỉ lệ bướu diệp thể có thụ thể nội tiết dương tính, nhưng hiện vẫn chưa thấy vai trò của điều trị nội tiết trong điều trị bướu diệp thể.
Tiên lượng
+ Tái phát tại chỗ là một biến chứng thường gặp của bướu diện thể, các loại lành tính lẫn ác tính. Tỉ lệ tái phát tại chỗ của bướu diệp thể ác là khoảng 26%. Nguyên nhân chủ yếu là do phẫu thuật không lấy đủ bờ an toàn. Khuyến cáo hiện nay là phẫu thuật cần lấy rộng, cách bờ bướu ít nhất là 1 cm;
+ Khoảng từ 3-12% bệnh nhân bướu diệp thể ác chết có thể do bướu tiến triển ăn lan thành ngực, hoặc do di căn xa vào xương vào phổi. Tỉ lệ di căn xa trong bướu diệp thể ác khỏang 10-15%;
+ Nhiều yếu tố được xem là ảnh hưởng đến tiên lượng bệnh, nhất là đối với bướu diệp thể ác. Trongđó, những yếu tố quan trọng là những yếu tố về mặt mô học: sự tăng sản mô đệm, sự hoại tử, sự phân bào. Những yếu tố này liên quan đến khả năng tái phát, di căn và sự sống còn. Những yếu tố khác đó là kích thước bướu, di căn hạch nách, tình trạng sinh đẻ, tuổi...
Chúng tôi, hy vọng trong khả năng hạn chế về thời gian cũng như hạn định về chuyên khoa sản phụ khoa, phần trả lời nảy sẽ phần nào giúp chị hiểu hiết hơn về bệnh bướu diệp thể chị nhé!
4. Tu Trinh 25 tuổi, Đăk H Ring, Gia Lai, di động 0903. 5347…
Hỏi: Con gái tôi nay được9 tháng 12 ngày, về sức khỏe cháu vấn phát triển bình thường và ăn uống tốt như đưa con đầu lòng của vợ chồng tôi. Trong khoảng 4 ngày qua, tôi trong lúc tắm cho cháu phát hiện nhiều mảng da ở hai gò má ửng đỏ, sờ vào hơi sần sần và có khi nứt da vài chỗ và có nước rỉ dịch ra, làm cháu rát và khó chịu cả ngày. Xin các bác sĩ cho tôi lời khuyên đây là bệnh gì, liệu có lây cho cả nhà không và cách chứa trị cho cháu thế nào nhanh nhất. Chúng tôi vô cùng biết ơn!
Trả lời: Trước hết xin lỗi bạn vì đã trả lời muộn câu hỏi của bạn. Chúng tôi có lời khuyên trước tiên là bạn cần thật bình tĩnh vì theo mô tả của bạn thì chúng tôi nghĩ rằng con bạn đang bị loại chàm sữa hay lác sữa, mà khi đã có tên “chàm sữa”, thì chúng tôi hy vọng khi cháu qua tuổi bú sữa …có khi lại hết chứ lị, mà phải hết thật vì trên thực tế không còn tình trạng đó nữa khi các trẻ trên hai tuổi không biểu hiện như trên của con bạn!
Để giúp bạn hiểu và chăm sóc cháu tốt hơn khi con bạn bị chàm sữa như thế này, nhất là làm thế nào để tránh nhiễm trùng cho cháu và không bị nám da khi dùng thuốc không đúng.
Chàm sữa là một bệnh phổ biến ở trẻ em nhỏ, nhất là lứa tuổi sau sinh đang còn bú mẹ, hay gặp 5-11 tháng (có tác giả khác thống kê là sau 6 tháng). Chàm sữa hay gặp ở trẻ sau khi sinh khoảng 6 tháng tuổi, thường xuất hiện ở mặt, hai bên má, trán, vùng cổ mặt, có thể lan ra thân mình, tứ chi…hình như chưa gặp vùng mông (mà vùng mông lại hay bị viêm da tụ cầu hoặc liên cầu). Bệnh biểu hiện thường khởi đầu là một dạng hồng ban à có nhiều mụn nước trên nền hồng ban, đỏ, có thể có nứt da, rịn nước trong hoặc vàng, đóng mài và tróc vảy sau đó. Chàm sữa thường biến mất sau 2-4 tuổi. Nếu sau 4 tuổi trẻ vẫn chưa khỏi, bệnh sẽ tiến triển hay tái phát hoặc kéo dài và khi có có thể xem là chàm thể tạng.
Thái độ xử trí: Khi trẻ bị chàm sữa, người mẹ hoặc người giám hộ cần phải lưu ý chăm sóc đặc biệt cho bé, từ việc ăn uống đến giữ vệ sinh môi trường.
+ Tránh cho cơ thể bé đổ mồ hôi ẩm ướt; thay quần áo ngay sau khi tắm cho bé, giữ cho da bé luôn khô, thay tã lót nhiều lần trong ngày, tránh để lâu gây ẩm ướt do phân và nước tiểu à dễ gây kích ứng da;
+ Giữ môi trường xung quanh không quá nóng, quá lạnh hoặc thay đổi nhiệt độ quá nhanh; môi trường thoáng mát, không quá khô;
+ Dùng các loại sữa tắm: Cetaphil, Saforell, Physiogel,… để tắm cho bé;
+ Khi bé bị các sang thương đang nổi đỏ hoặc rỉ dịch, có thể bôi các loại thuốc dạng dung dịch mang tính sát trùng nhẹ như: Milian, Eosin… Đối với các sang thương khô da, đỏ da, tróc vảy, có thể bôi các loại kem chứa corticosteroid nồng độ thấp như Eumovat (thoa trong thời gian ngắn từ 5-7 ngày), Cortebios, dung dịch hydrocortisol, Supricor-N, thuốc có tác dụng kháng viêm, chống ngứa;
+ Nếu da khô tăng sừng thì có thể dùng các loại mỡ chứa chất tiêu sừng như Salicylic acid.
Những điều cần lưu ý khi điều trị chàm sữa
+ Chàm sữa là một bệnh do cơ địa dị ứng, nên mục đích điều trị là nhằm bình thường hóa làn da, kéo dài thời gian lành bệnh, hạn chế tái phát, chứ không phải điều trị khỏi hẳn. Vì vậy, trẻ đang ở giai đoạn bị chàm sữa (nhất là giai đoạn cấp) không nên nhập viện vì môi trường bệnh viện có thể làm cho bé bị nhiễm trùng thêm;
+ Không nên tiêm chủng ngừa cho bé nhất là tiêm chủng đậu mùa vì có thể dẫn đến bệnh mụn mủ dạng thủy đậu. Lúc này, trẻ có biểu hiện sốt cao, sẩn, mụn nước, bóng nước, cuối cùng thành mụn mủ lõm ở giữa, quanh mụn mủ có quầng viêm đỏ, khi lành để lại sẹo làm mặt rỗ;
+ Không dùng kháng sinh liều cao để điều trị chàm sữa, trừ khi bội nhiễm nhưng phải hết sức thận trọng vì dễ gây sốc phản vệ do dùng thuốc;
+ Không cho bé ăn các thức ăn dễ dị ứng như trứng, đồ lên men, đậu phộng, cà chua, đồ biển…Không dùng xà bông giặt đồ hoặc xà phòng để tắm cho trẻ.
+ Tuyệt đối không dùng corticosteroid có hàm lượng cao dùng cho người lớn để thoa cho bé vì sẽ gây teo da, mất màu da, nếu kéo dài có thể gây suy tuyến thượng thận.
Đến này, các nhà khoa học đều nhìn nhận và thống kê cho thấy chàm sữa là một bệnh lý viêm da thường gặp ở trẻ em (ngay cả tại phòng khám của Viện chúng tôi trung bình 1 ngày gặp khoảng 1-2 trường hợp), song nguyên nhân hoặc tác nhân gây bệnh vẫn còn là ẩn số nên việc điều trị tiệt căn cũng rất khó khăn, một số trường hợp cháu đã 3-4 tuổi vẫn còn, bệnh dễ tái phát khi thời tiết thay đổi hoặc ăn, uống những chất hay gây dị ứng. Do đó, để điều trị hiệu quả, chị và gia đình cần lưu ý đến chế độ dinh dưỡng và tắm rửa cho cháu cẩn thận, nhất là giai đoạn đang viêm cấp.