Le Thi Bon, bon208laboratory@yahoo.com, 0908.324…..Hỏi: Kính thưa các thay co va anh chi xét nghiem của vien sot ret Quy Nhon, em co nghe noi den 4 loại ky sinh trung sot ret gay benh cho nguoi là Pf, Pv, Pm, Po, sao hom nay lai nghe có loại thu 5 qua mot nguoi dong nghiep ma lại con co lien quan den cac con khi. Em lam cong tac xet nghiem nen cung quan tam den no, cac thay co co the cho em biet doi net ve ky sinh trung này. Em chan thanh cam on!
Trả lời:
Rất cảm ơn bạn đã đặt cho chúng tôi một câu hỏi rất thời sự hiên nay mà giới chuyên ngành chúng tôi đang rất quan tâm, đó là loại ký sinh trùng P. knowlesi trong 10 năm qua phát hiện tại nhiều quốc gia trên thế giới, đặc biệt là quốc gia Malaysia với số ca phát hiện cao nhất và đã có nhiều trường hợp đã tử vong vì tính sinh bệnh của chúng không phải thua kém P. falciparum. Liên quan đến câu hỏi của bạn, chúng tôi xin trả lời một cách chi tiết như sau:
Bệnh sốt rét đã được biết từ cổ xưa, đến nay các nhà khoa học trên thế giới tìm mọi cố gắng để đẩy lùi căn bệnh sốt rét này. Tuy nhiên, mọi cố gắng vẫn còn tiếp tục gây tốn kém nhiều trí tuệ, công sức và tiền bạc nhưng bệnh sốt rét vẫn là mối đe doạ đối với cộng đồng thế giới. Trong khi vấn đề các loài ký sinh trùng cổ điển, các nhà khoa học và cộng đồng thế giới chưa thể giải quyết triệt để, thì mới đây các nhà khoa học ở Malaysia lại công bố thêm một loài ký sinh trùng sốt rét vốn từ lâu gây bệnh sốt rét cho khỉ, nay có khả năng gây nhiễm cho người với tỷ lệ nhiễm tương đối cao và bệnh cảnh cũng có thể nghiêm trọng, vấn đề này có thể tăng thêm gánh nặng về bệnh sốt rét trong tương lai. Việc phát hiện một loài ký sinh trùng sốt rét vốn dĩ ký sinh và gây bệnh cho người, nay lại gây bệnh và gây tử vong cho người là điều đáng quan tâm, nhân đây, bài viết nhằm tổng hợp tổ tiên và nguồn gốc của các loài ký sinh trùng sốt rét vốn dĩ trên động vật có vú liệu có khả năng lây truyền bệnh sang người hay không. Biểu đồ cây dưới đây biểu hiện liên quan giữa một số nhóm vi sinh vật, loài KSTSR đang phổ biến trên một số vật chủ hay gặp.
Năm 1931, Plasmodium knowlesi lần đầu tiên được biết nhiễm trùng gây tử vong trên các con khỉ đuôi dài. Năm 1932, một mô hình gây nhiễm thực nghiệm sử dụng máu người cho thấy kyus sinh trùng này cũng có thể gây nhiễm trên người. Từ đầu những năm 1930, P. knowlesi đã được sử dụng để điều trị sốt trên những bệnh nhân bị giang mai thần kinh.
Sự truyền bệnh sốt rét từ loài khỉ đến người và người đến người qua trung gian muỗi có thể xảy ra trong điều kiện thực nghiệm. Liệu rằng có một ổ nhiễm lớn về P. knowlesi ở vùng Kapit, đảo Borneo, Malaysia có thể góp phần lớn sự lây truyền từ người đến người hoặc từ khỉ đến người qua muỗi trung gian truyền bệnh thì chưa được rõ thấu đáo. Nhóm muỗi An.leucosphyrus có khả năng lây truyền ký sinh trùng P. knowlesi và có mặt ở vùng Kapit, vì là vật chủ tự nhiên của P. knowlesi, các loài khỉ đuôi dài (Macaca fascicularis) và khỉ có đuôi lợn (Macaca nemestrina). Mặc dầu, hai loài khỉ này sống rất gần gũi con người ở vùng Kapit và là một nguồn tiềm năng mang KSTSR P. knowlesi, nhưng các nhà nghiên cứu vẫn chưa xác định liệu rằng chúng bị nhiễm P. knowlesi. Họ cũng chưa xác định được muỗi truyền bệnh.
Các dữ liệu rằng là nhiễm P. knowlesi và những bệnh nhân được phát hiện giống như P. malariae dưới kính hiển vi ở vùng Kapit hầu như là người lớn và rằng là không có các trường hợp mắc bệnh tập trung trong cùng cộng đồng ở chung những căn nhà dài đã gợi ý rằng sự truyền bệnh sự lây truyền xảy ra xa vùng lân cận của những căn nhà dài chung và rằng là sự truyền bệnh đang xảy ra là từ khỉ đến người hơn là từ người qua người. Tuy nhiên, dữ liệu dịch tễ học chỉ được báo cáo các trường hợp bệnh có biểu hiện triệu chứng ở những người tiếp cận các dịch vụ y tế tại các phòng khám và bệnh viện. Nghiên cứu về dịch tễ học sinhhọc phân tử với qui mô lớn, có thể phát hiện những người nhiễm không triệu chứng, sẽ làm rõ hơn nữa về khả năng người trở thành ổ chứa của P. knowlesi. Họ đã từng nghiên cứu để nhận ra nơi lưu giữ KSTSR loại P. knowlesi trong tự nhiên, muỗi và chu kỳ lây truyền của P. knowlesi ở vùng Kapit.
Phân nguồn gốc của cây phả hệ các vi sinh vật có đặc điểm trong Chi tiết của cây phả hệ di truyền hiện tại gắn liền với các vi sinh vật trong nhóm và phần còn lại của cây đời (Tree of Life). Các điểm phân nhánh từ gốc trong cây trình bày một tổ tiên của các nhóm khác trong cây. Nguồn gốc tổ tiên đa dạng tiến hóa qua thời gian đã phân thành một vài nhóm phụ (subgroup), điều này biểu hiện qua phân loại cuối cùng về phía bên phải. Bạn có thể kích vào tên hoặc gốc các nhóm bạn quan và để chi tiết hơn, bạn có thể đi sâu vào phân cây phả hệ di truyền (phylogenetic trees) và vào phần các trang viết Phylogenetic Biology. Tài liệu Phylogeny (hay phylogenesis) dựa theo tài liệu của Escalante và cộng sự (1995); Perkins và Schall (2002); Vargas-Serrato và cộng sự (2003); Martinsen và cộng sự (2008)
Các loài ký sinh trùng sốt rét gây bệnh sốt rét ở người và loài thứ 5
Bệnh sốt rét do các ký sinh trùng (hay đơn bào đường máu) thuộc ngành Apicomplexa, giống Plasmodium gây ra. Từ trước đến nay, giới khoa học đã thừa nhận rằng bệnh sốt rét ở người chủ yếu do 4 loài P. falciparum, P. vivax, P. malariae, P. ovale gây ra, song trong số đó phần lớn là hai loài P. falciparum và P. vivax chiếm một tỷ lệ cao trong cơ cấu ký sinh trùng, tuỳ vùng địa lý mà tỷ lệ hai loại này gây nhiễm ở người có khác nhau, có nơi tỷ lệ nhiễm P. vivax đến 80% và P. falciparum chỉ 15%, có nơi P. vivax chiếm 20 – 25%, trong đó quan trọng hơn cả là loài KSTSR loại P. falciparum gây tỷ lệ sốt rét ác tính (SRAT) và tử vong cao, có nơi đến 90%. Hai loài ký sinh trùng còn lại tồn tại cũng có tỷ lệ thay đổi tuỳ theo vùng trên các châu lục.
Người ta từng được biết một số tác nhân gây bệnh mới trổi dậy đã lây truyền từ động vật sang người và ngược lại. Các quần thể loài linh trưởng hoang đã có ổ chứa tiềm năng lưu giữ và là nguồn gốc của một số tác nhân gây bệnh cho người, từ các virus đến các loài giun, sán. Có hơn 26 loài Plasmodium lưu hành trong các quần thể linh trưởng hoang dã. Nhiều trong số các loài ký sinh trùng sốt rét ở loài khỉ liên quan gần các loài KSTSR gây bệnh ở người và một số trong chúng được biết là P.simium, P. brazilianum, P. cynomolgi, P. inui và P. knowlesi từng liên quan sốt rét gần biểu hiện triệu chứng ở người trong thực nghiệm hoặc nhiễm tự nhiên. Từ đầu những năm 1930, P. knowlesi đã được sử dụng để điều trị sốt trên những bệnh nhân bị giang mai thần kinh; năm 1932, Knowles và Das Gupta đã thành công trong nghiên cứu truyền bệnh sốt rét của loài khỉ cho người; năm 1960, Eyles và cộng sự lần đầu đã gây nhiễm thực nghiệm KSTSR của loài khỉ cho người thông qua gây nhiễm bằng muỗi truyền bệnh loại Plasmodium cynomolgi; năm 1967, Chin và cộng sự cho biết rằng P. knowlesi cũng có thể lây truyền từ loài khỉ qua người. Mới đây có một số báo cáo rải rác có người mắc bệnh sốt rét do P. knowlesi.
Điều thú vị nữa là tiếp theo sau P. knowlesi, liệu còn có loài “mới” nào gây bệnh ở người?
Ca bệnh đầu tiên ở người do nhiễm tự nhiên xảy ra năm 1965 ở khu rừng rậm Malaysia, ca bệnh thứ 2 xảy ra vào năm 1971 cũng ở rừng Malaysia. Một trường hợp khác xảy ra Thái Lan (2000) ở một đàn ông 38 tuổi khi vào rừng ở biên giới Thái Lan - Myanmar. Các ước tính về tỷ lệ hiện mắc và phân bố các loài KSTSR ở các cộng đồng người nhiễm tại Malaysia đều nhờ vào chẩn đoán qua soi kính hiển vi (cacs lam máu nhuộm giêm sa) từ các phòng khám và bệnh viện nhà nước. Giữa năm 1998 và 2002, số bệnh nhân mới mắc sốt rét hàng năm ở Sarawak, thuộc quần đảo Borneo, Malaysia là 2496 - 3155 trường hợp. Ở Sarawak, loài P.vivax là loài chủ yếu (69.1%), tiếp đến P. falciparum (19.7%), rồi đến P. malariae (9.4%) và nhiễm phối hợp (# 1.0%), chưa phát hiện và khẳng định trường hợp nào do P. ovale.
Trước nghiên cứu của Singh B. và cộng sự bắt đầu vào tháng 3.2000, các nhà khoa học đã ghi nhận các khác biệt chính về các tỷ lệ của các loài Plasmodium được báo cáo ở Sarawak. P. vivax phân bố rộng rãi trong 9 vùng địa lý, trong khi P. falciparum lại chiếm ưu thế ở các vùng phía bắc của bang và KSTSR được phát hiện gần giống như P. malariae được báo cáo chủ yếu ở các vùng trung tâm của Kapit và Miri. Tại Kapit, KSTSR được phát hiện bằng kính hiển vi giống như P. malariae chiếm tỷ lệ khoảng 1/5 số trường hợp sốt rét năm 1999. Về hình thái học, nhiều lam máu có hình thái nhiễm KSTSR được phát hiện bằng kính hiển vi giống như P. malariae không điển hình. Thường là nhiễm P. malariae mãn tính và không triệu chứng với mật độ KSTSR trong máu thấp, hiếm khi vượt quá 5.000 KSTSR/μL. Tuy nhiên, hầu hết (97.4%) của 108 ca báo cáo năm 1999 ở vùng Kapit là những bệnh nhân biểu hiện đầy đủ các dấu hiệu và triệu chứng lâm sàng được nhập viện các phòng khám bệnh ở miền núi, bệnh viện Kapit và bệnh viện đa khoa Kapit. Ngoài ra, các bệnh nhân này có mật độ KSTSR trong máu 48.000 – 66.640 KSTSR/μL, với 20 ca (18.5%) có mật độ KSTSR trong máu > 5.000 KSTSR/μL.
Năm 1999, Singh B và cộng sự nghiên cứu các trường hợp sốt rét ở khu vực Kapit thuộc đảo Borneo, Malaysia qua phát hiện KSTSR bằng kính hiển vi cho thấy đó là loài P. malariae, mặc dầu hình thái xuất hiện không điển hình và họ đã dùng kỹ thuật Nested PCR để xác định P. malariae DNA nhưng không phù hợp với kết quả, họ đã tiếp tục nghiên cứu để xem rằng các trường hợp nhiễm này có phải do một biến thể của P. malariaehay do một loài Plasmodium mới xuất hiện. Để khẳng định điều đó, từ tháng 3.2000 đến 11.2002 nhóm nghiên cứu đã lấy 208 mẫu máu bệnh nhân mắc sốt rét ở khu vực Kapit để xét nghiệm so sánh song song bằng soi kính hiển vi và Nested PCR, qua phương pháp Nested PCR họ đã phát hiện 120/208 (58%) là do loài KSTSR loại P. knowlesi mà không phải do P. malariae. Triệu chứng sốt rét ở người lớn từng được báo cáo do P. malariae ở nhiều nơi tại Malaysia, điều này gợi ý rằng sự xuất hiện P. knowlesi ở người có thể đã lan rộng ngoài khu Kapit. Cox - Sigh và cộng sự đã phát hiện ca sốt rét nhiễm P.knowlesi đầu tiên ở khỉ Macaque đuôi dài (tên khoa học là Macaca fascicularis) khi nhập khẩu từ Singapore đến Ấn Độ vào năm 1931. Một năm sau, Knowles và Das Gupta đã thành công trong việc gây nhiễm thực nghiệm truyền P.knowlesi từ khỉ sang người. Ca bệnh nhiễm P.knowlesi ở người được mô tả đầu tiên vào năm 1965 tại Mỹ, trên một người lính trở về từ Malaysia. Theo phân loại, P. knowlesi thuộc giới Protista, ngành Apicomplexa, lớp Aconoidasida, bộ Haemosporida, họ Plasmodiidae, giống Plasmodium, loài P. knowlesi. Đến năm 1960, tác giả Eyles đã thành công trong việc truyền tác nhân gây bệnh sốt rét ở khỉ là P.cynomolgi cho người trên thực nghiệm. Năm 1966 bằng cách cho muỗi đốt máu có nhiễm KSTSR rồi cho đốt người, tác giả Granharm cũng đã chứng minh rằng các loài KSTSR ở khỉ như P. iuni,, P. knowlesi đều có khả năng truyền bệnh cho người.
Đến năm 1971, chỉ có 2 trường hợp nhiễm P.knowlesi ở người được báo cáo (Chin, 1965 và Yap, 1971), cả 2 ca đều sống ở Peninsular, Malaysia. Sau đó Cox - Sigh và công sự đã tiến hành một nghiên cứu kéo dài từ tháng 3.2000 đến tháng 11.2002 tại Malaysia, Kết quả cho thấy rằng trong số 208 ca bệnh được chẩn đoán ban đầu là nhiễm P.malariae thì có đến 120 ca được xác định là P.knowlesi bằng kỹ thuật PCR lồng (nested PCR). Nhiều trường hợp nhiễm P. knowlesi sau đó cũng được phát hiện tại Kanip, Sarawak, Malaysia năm 2004. Vào năm này một ca bệnh do loài KSTSR này gây nên cũng được phát hiện trên một bệnh nhân làm việc trong rừng ở biên giới giữa Thái và Myanmar (Jongwutiwes và cs., 2000). Một nghiên cứu khác cũng cho hay người bệnh nhiễm P.knowlesi cũng được phát hiện tại Philippines.
Một số nét đặc trưng của tiến hóa liên quan đến cội nguồn Plasmodium spp
Các vi sinh vật thuộc giống Plasmodium được xác định và phân biệt với các Apicomplexa khác và các sinh vật khác đôi khi nhầm lẫn với KSTSR (Peréz-Tris và cs., 2005), vì KSTSR thực hiện một chu kỳ phát triển gọi là “merogony” (gồm nhiều giai đoạn phân chia nhân theo sau sự phân cắt bào tương sinh ra các tế bào con gọi là merozoites) bên trong hồng cầu và sinh ra các thành phần hạt sắc tố (hemozoin pigment) và các tinh thể là sản phẩm của sự tiêu hóa Hb. Các thành viên khác thuộc bộ Haemosporida biến đổi khác nhau trong việc phối hợp các đặc tính này. HọHaemoproteidae sinh ra các hạt sắc tố (pigment), nhưng sự phát triển đoạn trứng (merogony) xảy ra trong các mô hơn là trong hồng cầu. Các họ Garniidae và Leucocytozoidae không sinh ra các hạt pigment ở bất kỳ giai đoạn nào, nhưng trường hợp khác có thể thấy phát triển giai đoạn trứng ở các hồng cầu hay tế bào máu.
Tất cả ký sinh trùng sốt rét có một giai đoạn hữu tính xảy ra trong côn trùng ăn máu (blood-feeding insect), là các vật chủ chính đối với các vi sinh vật này (có thể gọi là “vector” về mặt dịch tễ học). Về kinh điển, các loài Plasmodium được mô tả dựa trên đặc điểm hình thái học và đặc điểm tắc lượng hình thái (morphological and morphometric characteristics), đầu tiên giai đoạn trong máu của chu kỳ sinh học.các đặc tính khác sử dụng trước đây để phân loại mức độ độc lực và thời gian chu kỳ hồng cầu (24, 48, 72 giờ).
Đặc điểm về hình thái học thường tỏ ra không đủ để chứng minh và phân biệt các loài và cho thấy trái ngược với các dữ liệu về trình tự phân tử. Các nhà khoa học bắt đầu sử dụng các công cụ và phương pháp tiến bộ để phân loại KSTSR và xây dựng phả hệ di truyền theo một mối quan hệ phả hệ di truyền trong tiến hóa loài.
Trung gian truyền bệnh các loài ký sinh trùng sốt rét có khả năng truyền bệnh từ động vật sang người
Vấn đề bỏ ngõ hiện nay là các nghiên cứu trên thế giới hình như chưa tập trung vào các vật chủ và trung gian truyền bệnh của các loài ký sinh trùng tiềm năng truyền từ động vật sang người. Riêng đối với loài ký sinh tùng ở khỉ nay chuyển sang người cũng là nghiên cứu đi sau. Ban đầu là nghiên cứu của Wharton và Eyles (1961) cho biết trung gian truyền bệnh P. knowlesi từ khỉ cho người là An. hackeri (thuộc nhóm Luecosphyrus), nhưng sau đó người ta khám phá ra rằng An. hackeri không có ái tính với người và chủ yếu truyền bệnh sốt rét cho khỉ (Reid và Weitz., 1961). Một nghiên cứu tiếp theo của Wharton và cộng sự (1962) cho thấy An. latens (nhóm Leucosphyrus) chính là vector truyền bệnh chính loài KSTSR P. inui cho khỉ và P. knowlesi cho cả khỉ và người. An. latens có tập tính đốt người khi chạng vạng cho đến gần sáng và đỉnh điểm là nữa đêm. Loài muỗi này hoạt động chủ yếu trong rừng và bìa rừng nhưng có xu hướng vào nơi ở của người sống bìa rừng và trong rừng để tìm mồi đốt máu (I.Vithylingam., 2005).
Kết quả nghiên cứu này cũng cho thấy rằng tỷ lệ nhiễm thoi trùng của An. latens là 0.7% ở bìa rừng và 1.4% trong rừng và chỉ số EIR (Entomological inoculation rate) là 11.98 ở bìa rừng và 14.10 ở trong rừng. Về phân loại khoa học của trung gian truyền bệnh – muỗi An.latens do các tác giả cũng đã được ghi nhận và công nhận như sau: An.latens [Sallum và Peyton (Zulueta 1956, White 1983, Wilkerson 2005)] thì An.latens thuộc giới Animalia, ngành Arthropoda, ngành phụ Hexapoda, lớp Insecta, lớp phụ Pterygota, bộ Diptera, bộ phụ Nematocera, họ Culicidae, loài An. Latens.
Vấn đề bỏ ngõ thứ hai cũng còn rất ít tài liệu đề cập đến sự phân bố cũng như một khía cạnh khác của đặc điểm dịch tễ học của các loài ký sinh trùng sốt rét này, mặc dù trước đây có nghiên cứu trong một thời gian.
Vật chủ và phân bố địa lý một số ký sinh trùng sốt rét đã được nghiên cứu trên thế giới
Loài ký sinh trùng | Vật chủ | Phân bố địa lý |
Plasmodium reichenowi | Tinh tinh | Châu Phi |
Plasmodium falciparum | Con người | Châu Phi, châu Á, Nam và Trung Mỹ |
Plasmodium fieldi | Khỉ đuôi ngắn, giống macaca | Đông Nam Á |
Plasmodium simiovale | Khỉ đuôi ngắn, giống macaca | Đông Nam Á |
Plasmodium hylobati | Khỉ đuôi ngắn, giống macaca | Đông Nam Á |
Plasmodium inui | Khỉ đuôi ngắn, giống macaca | Đông Nam Á |
Plasmodium knowlesi | Khỉ đuôi ngắn, giống macaca | Đông Nam Á |
Plasmodium coatneyi | Khỉ đuôi ngắn, giống macaca | Đông Nam Á |
Plasmodium simium | Khỉ / Nhện | Đông Nam Á |
Plasmodium vivax | Con người | Châu Phi, Á, Nam và Trung Mỹ |
Plasmodium cynomolgi | Khỉ đuôi ngắn, giống macaca | Đông Nam Á |
Plasmodium gonderi | Madrill | Châu Phi |
Plasmodium malariae | Con người | Châu Phi, Á, Nam và Trung Mỹ |
Plasmodium brasilianum | Nhện/Khỉ rú/ /Khỉ đêm | Nam Mỹ |
Plasmodium ovale | Con người | Châu Phi |
Hepatocystis sp. | Dơi/ khỉ | Châu Phi, châu Á |
Plasmodium atheruri | Gặm nhấm | Châu Phi |
Plasmodium vinkei | Gặm nhấm | Châu Phi |
Plasmodium chabaudi | Gặm nhấm | Châu Phi |
Plasmodium berghei | Gặm nhấm | Châu Phi |
Plasmodium yoelii | Gặm nhấm | Châu Phi |
Plasmodium mexicanum | Thằn lằn | Bắc Mỹ |
Plasmodium chiricahuae | Thằn lằn | Bắc Mỹ |
Plasmodium elongatum | Chim | Toàn cầu |
Plasmodium gallinaceum | Chim | Đông Nam Á |
Plasmodium relictum | Chim | Toàn cầu |
Plasmodium floridense | Thằn lằn | Vùng Carribbe / Trung Mỹ |
Plasmodium azurophilum | Thằn lằn | Vùng Carribbe / Trung Mỹ |
Plasmodium faichildi | Thằn lằn | Trung Mỹ |
Plasmodium agamae | Thằn lằn | Châu Phi |
Plasmodium gigantum | Thằn lằn | Châu Phi |
Plasmodium mackerassae | Thằn lằn | Úc |
Một lần nữa, xin chân thành cảm ơn câu hỏi của bạn đã giúp cho chúng tôi có cơ hội chia sẻ thông tin với các đồng nghiệp!
Nguyen Chanh Hung, To 3, KV 4, P. Yên Đỗ, TP. Pleiku, Gia Lai, 0906.12879…
Hỏi: Gần đây em có điều trị bệnh nhân bị sốt rét do P. vivax tương đối nhiều, có khi tháng lên đến 4-5 trường hợp, em đã điều trị cho họ là chloroquine 3 ngày và 14 ngày primaquine đủ liều cùng với một số thuốc bổ, thuốc vitamine. Thế nhưng sau khoảng 3 tháng họ lại quay trở lại và xét nghiệm phát hiên thêm nhiễm P. vivax trở lại, em không biết họ bị kháng thuốc hay không còn giá trị thuốc primaquine nữa. Xin cho lời khuyên và em có thể tăng liều thuốc Primaquine không và tăng cỡ bao nhiêu là vừa, em rat cảm ơn!
Trả lời:
Sự tái phát của sốt rét P. vivax dù đã chỉ định liều chuẩn primaquine: 1 điều tra phân tích giải trình tự phân tử. Trung tâm Phòng chống bệnh tật Đài Loan (Taiwan CDC) điều tra 4 trường hợp taí xuất hiện ký sinh trùng do P. vivax trong năm 2003–2010. Kết quả phân tích phân tửcho thấy thiếu giai đoạn tiếp liên tiền sử du lịch chỉ ra trên 2 bệnh nhân nhiễm phải P. vivax tại Indonesia và Solomon Island, bị tái phát sau khoảng 3-4 tháng, dù đã hoàn thành liệu trình điều trị primaquine chuẩn (30 mg/ngày x 14 ngày) trong thời gian đầu. Điều trị với liều cao hơn của primaquine (60 mg/ngày x 14 ngày) để dự phòng tái phát trên cả 2 bệnh nhân. Thử nghiệm này đã gợi ý giám sát thêm hiệu lực của thuốc primaquine trong điều trị Plasmodium vivax mắc phải tại châu Á và châu Đại dương.
Tất cả những ca sốt rét do P. vivax và sốt rét chưa biến chứng do P. falciparum được điều trị bằng thuốc đường uống. Chloroquine là thuốc duy nhất sử dụng điều trị sốt rét do P. vivax, vì tình hình kháng thuốc do P. vivax hầu như chưa phát hiện được (chỉ có vài báo cáo rải rác). Trong những vùng nơi mà ký sinh trùng P. falciparum còn nhạy với CQ, có thể điều trị bằng CQ; tuy nhiên, tại các vùng đã biết kháng với CQ, thì thuốc phối hợp ACTs được khuyến cáo giờ đây. Primaquine nên được dùng cho sốt rét do P. vivax và P. ovale để tiêu diệt sự tồn tại các thể trong gan và đối với sốt rét do P. falciparum để diệt giao bào cho ngăn ngừa lây lan nhiễm.
Huynh Vinh Th. Trương TCKYYH phia nam, vinhdung2003@yahoo.com…
Hỏi: Kinh chào ban biên tập, tôi bị ngứa và đã đi xét nghiệm tại Viện sốt rét ký sinh trùng Quy Nhơn và phát hiện ra giun đũa chó (ngày 5/5/2012), bác sĩ Nguyễn Xuân Thiện có cho 5 loại thuốc và đặc biệt có thuốc chống dị ứng, chống ngứa với số lượng 30 viên, nghe bác sĩ nói là thuốc chống ngứa này không gây buồn ngủ và bác sĩ đã kê cho tôi 30 viên thuốc này, sau khi tôi về tra lên mạng từng loại thuốc thì nhận thấy thuốc này có những tác dụng phụ đáng kể, kể cả gây buồn ngủ chứ không như bác sĩ Thiện nói, vậy tôi có nên uống và uống lượng như thế có ảnh hưởng đến cơ thể tôi không vì tôi hiện nay đang làm trong công ty thủy tinh? Xin cho tôi một lời khuyên sớm nhất!
Trả lời: Có thể trong quá trình khám bệnh với số lượng bệnh nhân đông như hiện nay, đôi khi các bác sĩ giải thích chưa hết ý, có lẽ chị nên gọi điện thoại trực tiếp gặp bác sĩ Thiện ngoài giờ làm việc để hỏi về vấn đề này thấu đáo hơn chị nhé. Số điện thoại bác sĩ Thiện là 0905168199, chị có thể liên hệ để được giải thích chu đáo.
Nguyễn Thi Thùy Duong, Thuân Bắc, Ninh Thuận, duong 231987v@yahoo.com
Hỏi: Em có người em gái đang theo họi đại học năm thứ 2 tại thành phố Hồ Chí Minh, nhung không hiểu tại sao gần đây khoảng 2 tháng nay xuất hiện đi lại 4 lần co gắp tay chân va vùng mặt, làm em gái phai nghi học nhiều ngày vi phải nhập viện điều trị. Khi mỗi lần nhập viện, bác sĩ bói là em bị hạ can xi máu, em mong các bác sĩ tại BV Chợ Rẫy, và BV Hùng Vương cho em biết lý do tại sao lạ bị hạ can xi máu nhiều lần đến như vậy, cách nào điều trị tốt nhất. Em chân thành cảm ơn ban biên tập của Phân viện sốt rét Quy Nhơn.
Trả lời: Liên quan đến câu hỏi của bạn, chúng tôi xin chia sẻ cho bạn biết một bài viết tổng quan “Hạ canxi máu: Nhận biết và cách khắc phục” của một đồng nghiệp đăng trên tạp chí Sức khỏe và đời sống và theo chúng tôi đó là các thông tin vừa cơ bản vừa chuyên sâu, bao hàm tất cả khía cạnh mà bạn đang rất quan tâm, hy vọng bạn sẽ hài lòng với phần trả lời này.
Canxi trong cơ thể được duy trì ổn định phụ thuộc vào 3 yếu tố chính, đó là do thức ăn, nước uống đưa vào, hấp thu canxi từ ruột và đào thải qua thận. Nhu cầu hằng ngày một chế độ ăn đầy đủ phải đảm bảo cung cấp khoảng 1.000mg Ca qua đường ăn uống thì có khoảng 200mg canxi bị đào thải qua đường mật và các dịch tiêu hoá khác.
Mỗi ngày có khoảng 200 - 400mg canxi được hấp thu từ ruột vào máu và quá trình này phụ thuộc vào nồng độ vitamin D trong máu, phần còn lại đào thải qua phân. Cân bằng canxi được duy trì qua con đường đào thải qua thận, trung bình 200 mg/ngày. Gần 99% canxi trong cơ thể tập trung ở trong xương, chủ yếu dưới dạng tinh thể hydroxyapatite. Chỉ 1% canxi trong xương là tự do trao đổi với dịch ngoài tế bào, do đó luôn sẵn sàng để điều chỉnh nồng độ canxi trong máu luôn ổn định. Nồng độ canxi toàn phần bình thường trong máu được duy trì dao động từ 8,8 đến 10,4mg /dL (2,20-2,60mmol/L), trong đó 40% được gắn với protein huyết tương, chủ yếu là albumin. 60% còn lại bao gồm canxi iôn hóa và phức hợp canxi với phosphate và citrate. Canxi đóng vai trò chính trong quá trình co cơ, dẫn truyền thần kinh, giải phóng các hormon và đông máu, điều hoà nhiều enzym khác nhau nên khi cơ thể bị thiếu vi chất này sẽ dẫn đến một loạt các biểu hiện nguy hiểm như cơn tetani, loạn nhịp tim hoặc rối loạn dẫn truyền trong tim… Tuy nhiên, nếu có những kiến thức cơ bản để nhận biết dấu hiệu của hạ canxi máu lại có thể giúp người bệnh tránh được những hậu quả này.
Hạ canxi máu là khi nồng độ canxi toàn phần trong máu dưới 8,8mg/dL (2,20mmol/l) trong điều kiện protein huyết thanh bình thường, hoặc canxi iôn hoá dưới 4,7mg/dL (1,17mmol/L). Có nhiều nguyên nhân gây ra hạ canxi máu nên, trong đó chủ yếu là:
1. Tăng tạo xương trong khi cung cấp canxi không đủ (trẻ em đang giai đoạn phát triển nhanh, phụ nữ đang mang thai và nuôi con bằng sữa mẹ), hội chứng kém hấp thu do rối loạn tiêu hoá kéo dài;
2. Suy và giả suy tuyến cận giáp trạng, là giảm bài tiết parathyroid hormon gây hạ canxi máu, tăng photpho máu và thường gây nên cơn tetani mạn tính.
3. Thiếu hụt vitamin D; bệnh lý thận: bệnh lý ống thận, suy thận;
4. Các nguyên nhân khác: thiếu hụt magiê, viêm tụy cấp, giảm albumin máu, tăng photpho máu. Các thuốc gây hạ canxi máu như thuốc chống động kinh (phenobarbital, phenytoin), rifampicin, truyền máu nhiều, thuốc cản quang, dùng liều cao calcitonin.
 |
Dấu hiệu Trousseau nhận biết hạ canxi máu. |
Hạ canxi máu gây những rối loạn nghiêm trọng nào?
Dấu hiệu hay gặp là tình trạng co cứng cơ (chuột rút) ở vùng lưng và chân. Những trường hợp hạ canxi máu diễn biến từ từ, âm ỉ có thể gây các dấu hiệu thần kinh nhẹ như trầm cảm, lú lẫn hay kích thích tâm thần. Phù gai thị và đục thể thủy tinh có thể xuất hiện khi bị hạ canxi máu kéo dài.
Cơn tetani xuất hiện do hạ canxi máu nặng nhưng cũng có thể gặp trong trường hợp chỉ hạ canxi iôn hoá trong khi canxi toàn phần bình thường, ví dụ như trong tình trạng kiềm hoá máu. Biểu hiện của cơn tetani là các triệu chứng cảm giác như dị cảm ở đầu chi, môi, lưỡi, bàn cổ chân, đau cơ lan toả, co cứng cơ vùng mặt, tay, chân. Ngoài cơn tetani tự phát, người ta còn dùng một số nghiệm pháp để tìm các dấu hiệu đặc trưng của hạ canxi máu.
- Dấu hiệu Chvostek biểu hiện bằng sự co cơ mặt tự phát sau khi gõ nhẹ vào dây thần kinh mặt ở vị trí ngay trước ống tai;
- Dấu hiệu Trouseau biểu hiện bằng sự co rút các cơ vùng cổ tay, bàn tay xuất hiện khi giảm lượng máu cung cấp cho bàn tay, dấu hiệu này còn gặp trong hạ magiê, kiềm hoá máu, hạ kali máu và khoảng 6% người khoẻ mạnh không phát hiện có rối loạn điện giải. Loạn nhịp tim hoặc rối loạn dẫn truyền trong tim có thể gặp ở một số trường hợp hạ canxi máu nặng.
Một số triệu chứng khác có thể gặp như: da khô, dày, móng tay giòn, có khía, dễ gãy; tóc xơ, cứng. Nhiễm nấm Candida cũng rất hay gặp, nhất là trong các trường hợp suy tuyến cận giáp trạng.
Điều trị hạ canxi máu tùy nguyên nhân
Trong trường hợp hạ canxi máu cấp tính như cơn tetani thì nên điều trị bằng tiêm tĩnh mạch chậm dung dịch canxi gluconate hoặc canxi clorua 10%, các triệu chứng thường hết nhanh chóng sau tiêm nhưng tác dụng thường ngắn, chỉ kéo dài vài giờ. Do đó có thể tiêm nhắc lại hoặc truyền tĩnh mạch chậm (canxi gluconate 10% pha trong glucose 5%). Đặc biệt lưu ý ở bệnh nhân đang sử dụng thuốc trợ tim digoxin: truyền rất chậm và theo dõi điện tim liên tục. Khi cơn tetani phối hợp với hạ magiê máu, phải bổ sung đồng thời cả magiê với canxi. Trong trường hợp hạ canxi máu sau mổ cắt tuyến cận giáp thì chỉ cần bổ sung canxi bằng đường uống (1g/ngày) là đủ. Với hạ canxi máu mạn tính, bổ sung canxi bằng đường uống và đôi khi phối hợp với vitamin D. Có thể dùng canxi gluconat hoặc canxi carbonat, 1-2g canxi/ngày.
Phòng hạ canxi máu bằng cách nào?
Lựa chọn thức ăn giàu canxi như tôm, cua, cá, sữa, phomát… và tăng cường tập thể dục ngoài trời (tăng tổng hợp vitamin D làm tăng hấp thu canxi ở ruột)… là những biện pháp phòng bệnh hiệu quả.
Hy vọng với phần trả lời ở trên đã giúp bạn hài lòng!
Nguyễn Thi Ai M…., TT. Hai Riêng, Song Hinh, Phú Yên,...
Hỏi: Từ lâu tôi đã rất quan tâm đến trang website của Viện Sốt rét KST-CT Quy Nhơn, và có nhiều kiến thức trong chuyên mục hỏi đáp bạn đọc rất có ích cho tôi và gia đình tôi. Gần đây, gia đình tôi có cháu trai ở quê lên trọ học có biểu hiện trầm cảm-theo chẩn đoán của bác sĩ ở TP. Hồ Chí Minh chẩn đoán, tôi muốn hỏi các biểu hiện trầm cảm xảy ra trên cơ thể người nam giới như thế nào và làm thế nào điều trị dứt điểm bệnh. Xin trân trọng cảm ơn!
Trả lời: Cảm ơn câu hỏi rất hay của chị và đã từ lâu chị tin tưởng các thông tin của trang website của Viện. Liên quan đến câu hỏi của bạn, chúng tôi xin chia sẻ một phần trả lời rất đầy đủ từ một đồng nghiệp chia sẻ trên tạp chí trong một số báo gần đây để bạn tham khảo và thay cho chúng tôi trả lời bạn đọc về vấn đề này. Theo TS Ian A. Cook, giáo sư tâm lý tại Đại học California (Hoa Kỳ), ở nam giới, có một số biểu hiện trầm cảm đặc trưng như mệt mỏi, dễ bị kích động, rối loạn tình dục...
1. Mệt mỏi
Theo một nghiên cứu của Mỹ trên 6.421 người, mệt mỏi là một trong những triệu chứng phổ biến nhất của bệnh trầm cảm ở nam giới. Người mắc bệnh trầm cảm thường phải trải qua một loạt những biến đổi về cả thể chất và tinh thần. Bởi vậy, họ dễ cảm thấy mệt mỏi và xuất hiện triệu chứng suy giảm tâm thần - vận động (rối loạn tâm lý dẫn tới suy giảm trong tốc độ suy nghĩ, chậm chạp trong cử động và lời nói).
2. Đau bụng hoặc đau lưng
Theo khảo sát của Viện Sức khoẻ tâm thần Mỹ, nam giới hiếm khi nhận ra mối liên hệ giữa trầm cảm với các triệu chứng rối loạn tiêu hóa (táo bón, tiêu chảy) và đau mãn tính (đau đầu, đau lưng). Trong nghiên cứu của Đại học Oxford (Anh), các nhà khoa học sử dụng phương pháp chụp ảnh não bộ để kiểm tra phản ứng của các đối tượng tham gia với sự đau đớn khi trong trạng thái tinh thần thấp. Kết quả cho thấy, khi con người cảm thấy chán nản, hoạt động của vùng tiết chế cảm xúc trong mạch thần kinh bị cản trở, từ đó làm tăng cảm giác đau đớn hơn so với mức bình thường.
3. Rối loạn lo âu
Nhiều nghiên cứu cho thấy có sự liên hệ chặt chẽ giữa chứng trầm cảm và rối loạn lo âu. Theo TS Ian A. Cook, trong trường hợp này, có vẻ như nam giới là đối tượng bị ảnh hưởng nhiều hơn dù theo ước tính, nguy cơ mắc chứng rối loạn lo âu do trầm cảm ở nam giới và nữ giới là như nhau. Khác với thói quen che giấu nỗi buồn, nam giới lại có xu hướng bộc bạch những lo lắng của bản thân. Trầm cảm dễ khiến họ lo lắng hơn về công việc, sợ rằng một khi bị mất việc, họ sẽ không còn đủ khả năng lo cho bản thân và gia đình.
4. Dễ bị kích động
Nam giới mắc bệnh trầm cảm rất dễ nổi cáu và dễ bị kích động vì những chuyện nhỏ nhặt. Theo Trung tâm Chăm sóc sức khoẻ Mayo Clinic (Mỹ), nam giới thường không chấp nhận rằng mình bị trầm cảm và tìm cách né tránh các biện pháp điều trị. Chính vì vậy, họ đổ dồn sự tức giận vào người thân, bạn bè và thậm chí cả người lạ. Đàn ông trầm cảm hay có những lời nói thô tục xúc phạm vợ mình, cãi tay đôi với bạn thân hoặc đánh nhau trong quán bar. Một số người còn uống rượu khi lái xe, quan hệ tình dục không an toàn với phụ nữ không quen biết hoặc thậm chí tự tử.
5. Nghiện rượu
Khảo sát của Viện Nghiên cứu về tình trạng nghiện rượu và lạm dụng rượu Hoa Kỳ (NIAAA) cho thấy, 1/3 số người bị trầm cảm gặp các vấn đề liên quan tới rượu. Theo TS Ian A. Cook, tình trạng này có thể diễn ra ở cả nam và nữ giới, tuy nhiên, đối tượng bị ảnh hưởng nhiều hơn là nam giới bởi họ thường tìm đến rượu hoặc ma túy như một thứ mặt nạ che chắn cảm xúc bản thân đang muốn giấu kín, thay vì tìm tới các trung tâm y tế.
6. Rối loạn tình dục
Trầm cảm là một trong những tác nhân chủ chốt làm giảm ham muốn tình dục và rối loạn cương dương ở nam giới. Theo các nhà khoa học, ham muốn tình dục xuất phát từ não bộ và được kích hoạt bởi các chất chuyển hóa thần kinh giữ vai trò truyền tín hiệu giữa các tế bào trong não bộ và kích thích máu lưu thông tới bộ phận sinh dục. Tuy nhiên, khi chủ thể bị trầm cảm, chất này rơi vào tình trạng mất cân bằng.
Nhân câu hỏi của bạn, chúng tôi muốn chia sẻ với bạn về ngăn ngừa 7 nguy cơ về sức khỏe ở nam giới do một tác giả viết trên báo sức khỏe. Bạn có biết các mối đe dọa lớn nhất đối với sức khỏe của nam giới là gì không? Danh sách được tổng hợp từ các số liệu thống kê được cung cấp bởi Trung tâm kiểm soát và phòng ngừa dịch bệnh (CDC) Hoa Kỳ và các tổ chức hàng đầu khác để phản ánh nguy cơ sức khỏe của nam giới; giúp bạn giảm thiểu các rủi ro.
Số 1: Bệnh tim
Bệnh tim là mối đe dọa hàng đầu với sức khỏe đàn ông. Hãy chịu trách nhiệm về sức khỏe tim mạch bằng cách lựa chọn lối sống lành mạnh. Ví dụ:
• Không hút thuốc. Nếu bạn hút thuốc hoặc sử dụng sản phẩm thuốc lá khác, hãy hỏi bác sĩ của bạn để giúp bạn bỏ thuốc; tránh tiếp xúc với khói thuốc lá;
• Chế độ ăn uống. Chọn rau, trái cây, ngũ cốc nguyên hạt, thực phẩm nhiều chất xơ và các nguồn protein nạc, chẳng hạn như cá. Hạn chế các thực phẩm giàu chất béo bão hòa và natri;
• Quan tâm bệnh mãn tính. Nếu bạn có cholesterol cao hay huyết áp cao, nên theo khuyến cáo điều trị của bác sĩ. Nếu bạn có bệnh tiểu đường, giữ lượng đường trong máu trong tầm kiểm soát;
• Hoạt động thể chất hàng ngày. Chọn môn thể thao hoặc các hoạt động khác bạn thích, từ bóng rổ cho đến đi bộ nhanh;
• Duy trì cân nặng khỏe mạnh. Thêm cân làm tăng nguy cơ bệnh tim;
• Hạn chế uống rượu. Chỉ nên uống rượu vừa phải. Uống quá nhiều rượu có thể làm tăng huyết áp;
• Kiểm soát căng thẳng. Nếu bạn cảm thấy liên tục bị tấn công, thói quen trong lối sống của bạn có thể bị ảnh hưởng. Thực hiện các bước để giảm căng thẳng hoặc tìm hiểu để đối phó với căng thẳng bằng những cách lành mạnh.
Số 2: Ung thư
Các loại ung thư cần có sự quan tâm đặc biệt từ nam giới, bao gồm cả ung thư phổi, ung thư da, ung thư tuyến tiền liệt và ung thư đại trực tràng. Để giảm nguy cơ ung thư, hãy tham khảo những lời khuyên chung sau đây:
• Không hút thuốc. Sử dụng bất kỳ loại thuốc lá nào cũng đưa bạn đến gần với bệnh ung thư. Tránh tiếp xúc với số lượng khói thuốc lá;
• Duy trì một trọng lượng khỏe mạnh. Mất cân Anh dư thừa và giữ cho chúng - có thể làm giảm nguy cơ các loại ung thư khác nhau;
• Hãy di chuyển. Ngoài việc giúp bạn kiểm soát cân nặng, hoạt động thể chất có thể làm giảm nguy cơ một số loại ung thư;
• Ăn nhiều trái cây và rau quả. Dù việc lựa chọn lành mạnh về thức ăn không thể đảm bảo phòng chống ung thư, nhưng nó có thể giúp giảm nguy cơ;
• Bảo vệ chính mình khỏi ánh nắng mặt trời. Khi bạn đang ở ngoài trời, hãy che chắn và sử dụng nhiều kem chống nắng;
• Hạn chế uống rượu. Nếu bạn uống rượu, chỉ nên ở mức vừa phải. Nguy cơ các loại ung thư - bao gồm cả ung thư đại tràng, thận, phổi và gan sẽ gia tăng với số lượng rượu và độ dài thời gian bạn uống;
• Phát hiện sớm bệnh. Tham khảo ý kiến bác sĩ để dò tìm ung thư thường xuyên.
Số 3: Tai nạn
Tai nạn xe là một nguyên nhân hàng đầu những tai nạn gây tử vong ở nam giới. Để giữ an toàn trên đường đi, hãy tỉnh táo. Đeo dây an toàn của bạn nếu có đi xe hơi. Tuân thủ các giới hạn về tốc độ và đừng lái xe dưới ảnh hưởng của rượu hoặc bất kỳ chất nào khác, và không lái xe khi buồn ngủ.
Số 4: Mạn tính bệnh hô hấp dưới
Bệnh phổi mãn tính - trong đó bao gồm viêm phế quản và khí thũng - cũng là một mối quan tâm dành cho nam giới. Để bảo vệ sức khỏe hô hấp của bạn:
• Không hút thuốc. Nếu bạn hút thuốc, hãy nhờ bác sĩ giúp bạn bỏ thuốc lá. Ngoài ra, tránh tiếp xúc với khói thuốc lá;
• Tránh các chất ô nhiễm. Giảm thiểu tiếp xúc với hóa chất và không khí ô nhiễm ngoài trời;
• Ngăn chặn nhiễm trùng đường hô hấp. Rửa tay thường xuyên và tiêm vắc-xin bệnh cúm hàng năm. Hãy hỏi ý kiến bác sĩ xem cá nhân bạn có cần chủng ngừa viêm phổi hay không.
Số 5: Đột quỵ
Bạn không thể kiểm soát một số yếu tố nguy cơ gây đột quỵ, như tiền sử gia đình, tuổi tác và chủng tộc - nhưng bạn có thể kiểm soát các yếu tố góp phần khác. Ví dụ:
• Quan tâm bệnh mãn tính. Nếu bạn có cholesterol cao hay huyết áp cao, hãy nhớ theo khuyến cáo điều trị của bác sĩ. Nếu bạn có bệnh tiểu đường, hãy duy trì lượng đường trong máu trong mức kiểm soát;
• Không hút thuốc. Nếu bạn hút thuốc hoặc sử dụng sản phẩm thuốc lá khác, hãy cố gắng loại bỏ hoặc hỏi bác sĩ để giúp bạn bỏ thuốc lá;
• Hãy lựa chọn lối sống lành mạnh. Ăn một chế độ ăn uống lành mạnh, đặc biệt hạn chế các thực phẩm giàu chất béo bão hòa và cholesterol. Hoạt động thể chất hàng ngày. Nếu bạn đang thừa cân, giảm cân thừa;
• Hạn chế uống rượu. Nên dùng rượu ở mức vừa phải nếu bạn có uống rượu.
Số 6: Bệnh tiểu đường loại 2
Bệnh tiểu đường loại 2 - loại phổ biến nhất của bệnh tiểu đường ảnh hưởng đến cách cơ thể của bạn sử dụng lượng đường trong máu (glucose). Kiểm soát bệnh tiểu đường kém có thể dẫn đến bệnh tim, các vấn đề về mắt, tổn thương thần kinh và các biến chứng khác. Để ngăn ngừa bệnh tiểu đường loại 2, cần nghiêm túc trong lối sống của bạn. Thực hiện chế độ ăn uống lành mạnh, bao gồm cả hoạt động thể chất trong thói quen hàng ngày của bạn. Nếu bạn đang thừa cân, hãy giảm lượng cân thừa.
Số 7: Tự sát
Tự tử cũng là một trong các nguy cơ hàng đầu đối với sức khỏe đàn ông. Một yếu tố nguy cơ quan trọng đối với tự sát ở nam giới là trầm cảm. Nếu bạn có các dấu hiệu và triệu chứng của bệnh trầm cảm - chẳng hạn như cảm giác buồn hay đau khổ, mất mát và không còn quan tâm đến các hoạt động bình thường nữa hãy đến gặp bác sĩ ngay.
Luong dinh Vinh 34 tuoi, tt Kien Duc, 09021….
Hỏi: Kinh thưa quý anh chi lam xét nghiêm của Viện sot ret – ký sinh trùng – công trung quy nhon, em dang làm cong tac xét nghiem ve ki sinh trùng sot ret va mot so xet nghiem mau, gan day sep cua em co bao nen dem mat do ky sinh trung de danh gia tot hon la danh gia theo 1+, 2+, 3+, em khong biet lam the nao dem duoc. Xin quy anh chi cho em biet, em cam on.
Trả lời: Làm thế nào đếm được mật độ KSTSR? Đo là một câu hỏi không chỉ của riêng bạn mà của nhiều xét nghiệm viên đề cập từ nhiều năm qua, các cán bộ đó đến từ các bệnh viện từ tuyến huyện, tỉnh và tuyến trung ương cũng vậy. Từ lâu họ chỉ có quen với cách định loại về hình thể theo từng giia đoạn ký sinh trùng sốt rét (KSTSR) rồi sau đó đánh giá định lượng nhanh bằng hệ dấu (+) như trên bạn mô tả. Tuy nhiên, bạn biết khi đánh giá dấu cộng thì khoảng sai lệch về mật độ rất cách xa nhau, chăng hạn mật độ KSTSR 4+ có thể là 100.000/ µL mà cũng có thể la 300.000/µL,…song về mặt theo dõi điều trị và tiên lượng bệnh nhân thứ 3 dễ rơi vào SRAT hơn là bệnh nhân thứ nhất và chúng ta khó có thể đánh giá chính xác diễn tiến bệnh nhân sau khi điều trị trong từng ngày sẽ giảm KSTSR bao nhiêu, đó là một trong những ý nghĩa của đếm mật độ KSTSR có giá trị như thế nào.
Để làm rõ hơn câu hỏi của bạn, chúng tôi xin đưa ra một số hướng dẫn về đếm mật độ KSTSR dưới đây để bạn tham khảo:
Qua thực tiến lâm sàng và điều trị cho thấy nhiều tuyến điều trị khi nhận được kết quả phát hiện và chẩn đoán sốt rét bằng lam máu nhuộm giêm sa đều chỉ trả lời là P.falciparum hay P. vivax hay nhiễm phối hợp (P. falciparum + P. vivax), với các mật độ biểu hiện dưới dạng dấu cộng mà thôi, chứ hầu hết (> 95%) trong số đó không hề trả lời kết quả dưới dạng mật độ MĐKSTSR/ mL máu. Song, điều quan trọng là khi trả lời mật độ ký sinh trùng sốt rét không những giúp đánh giá tình trạng nặng ban đầu của bệnh nhân trước khi điều trị, mà sau đó còn giúp cho các nhà điều trị theo dõi cũng như tiên lượng bệnh nhân một cách thấu đáo các ca bệnh có nguy cơ đe dọa sốt rét ác tính (SRAT) hoặc sốt rét nặng, thậm chí có nguy cơ tử vong. Sau khi điều tra tìm hiểu lý do tại sao các xét nghiệm viên hiếm khi hoặc không bao giờ thực hiện khâu đếm mật độ KSTSR theo trên 1 microlits là:
[1] do họ chỉ học và được tập huấn có thời gian ngắn tại huyện, tại tỉnh hoặc tại Viện nên không thể đủ làm được,
[2] do không có đủ trang thiết bị để đếm và tài liệu để thực hành,
[3] do cơ sở và các bác sĩ không yêu cầu đếm nên không đếm mật độ KSTSR, nên một thời gian dài họ cho qua luôn va coi đó là bị lãng quên.
Nhằm giúp cho các cán bộ xét nghiệm bổ sung kiến thức và nắm bắt kỹ năng và kỹ thuật đếm KSTSR hỗ trợ cho hệ điều trị tốt hơn trong thời gian đến, chúng tôi xin giới thiệu một số kỹ thuật và kỹ năng đếm MĐKSTSR theo phượng pháp của Mạng lưới sốt rét ACT malaria và Tổ chức Y tế thế giới. Hiện có 2 phương pháp định lượng:
1.Phương pháp dùng hệ thống dấu cộng:
Đếm KSTSR trong 1 vi trường hoặc 100 vi trường.
- Soi 100 vi trường có 1 – 10 KSTSR : Kết luận+
- Soi 100 vi trường có 11 – 100 KSTSR : Kết luận++
- Soi 1 vi trường có 1 – 10 KSTSR : Kết luận+++
- Soi 1 vi trường có trên 10 KSTSR : Kết luận++++
- ( + ) : mật độ rất thấp, phải soi kỹ mới phát hiện được.
Phương pháp này đơn giản, nhanh, độ tin cậy tương đối nhưng không chính xác vì xét nghiệm viên chỉ ước đoán và không lượng hóa được KST cần biết. Do đó phải đếm KSTSR trên số bạch cầu trên 1 vi trường và áp dụng theo công thức tính mật độ KSTSR/mm3máu đã quy định.
2.  !important; Phương pháp tính mật độ KSTSR/mm3máu(Dựa vào số lượng bạch cầu chuẩn 8.000 BC hay 6.000 BC).
- Đếm mật độ KSTSR rất quan trọng, nhất là các trường hợp nhiễm sốt rét do P.falciparum (mật độ P.falciparum >100.000/µl máu, tỷ lệ hồng cầu nhiễm > 5% và có thể phân liệt trong máu là một trong những tiêu chuẩn chẩn đoán sốt rét nặng hiện nay) giúp cho các thầy thuốc lâm sàng chẩn đoán và tiên lượng bệnh tốt hơn.
- Theo dõi được diễn biến số lượng KSTST hàng ngày trong quá trình điều trị, trong các thử nghiệm in vivo đánh giá KSTSR kháng thuốc, đánh giá hiệu lực phác đồ…
- Hiện nay, ở nước ta nói chung và khu vực miền Trung – Tây Nguyên nói riêng thì việc đếm KSTSR chỉ khu trú trong công tác nghiên cứu ở các Viện, bệnh viện Trung ương, bệnh viện Tỉnh còn hầu hết các tuyến điều trị từ huyện đến xã vẫn ước lượng KST theo hệ thống dấu cộng cho nên chủ trương phổ cập kỹ thuật đếm cho các kỹ thuật viên ở các trung tâm xét nghiệm và điểm KHV là hết sức cần thiết và quan trọng.
- Tiêu chuẩn một vi trường tốt phải có 15 – 20 bạch cầu, nếu vi trường chỉ có 10 bạch cầu thì quá mỏng, nếu vi trường tới 40 BC thì quá dày. Để tạo 1 vi trường tốt ngoài kỹ thuật làm giọt máu đặc còn liên quan đến độ phóng đại của KHV.
- Thực tế với độ phóng đại 1.000x có từ 12 – 15 BC là tiêu bản tốt. Như vậy, với 100 vi trường lý tưởng ta có 2.000 BC nhưng để đếm tới 2.000BC thì phức tạp, tốn thời gian nên chỉ cần đếm theo 200, 500 hay 1.000BC.
- Trước khi đếm, cần xét nghiệm khoảng 0,25µl máu (khoảng 100 vi trường, sử dụng thị kính số 7 và vật kính dầu 100) trên lam giọt dày để xác định loài ký KSTSR và các giai đoạn phát triển của KSTSR.
- Khi đã làm xong, các bước trên, tiến hành đếm KSTSR trên lam giọt dày như sau:
1. Cần có 2 máy đếm để đếm KSTSR và BC riêng rẽ.
- Nếu sau khi đếm được 200 BC mà số lượng KSTSR > 10 thì áp dụng công thức:
- Nếu sau khi đếm được 200 BC mà số lượng KSTSR < 10 thì tiếp tục đếm cho đủ 500 BC hoặc 1.000 BC rồi áp dụng công thức để tính số KSTSR/µl.
- Trường hợp mật độ KSTSR trên lam nhiều: Đếm chưa đủ 200 BC mà số lượng KSTSR ≥ 500 thì ta không đếm tiếp mà áp dụng công thức trên.
Ví dụ:
a.  !important; KSTSR P. falciparum và bạch cầu đếm được: 10 KSTSR/200 BC, áp dụng công thức trên:
b.  !important; KSTSR P. falciparum và bạch cầu đếm được: 9 KSTSR/500 BC, áp dụng công thức trên:
c.  !important; Trường hợp KSTSR P. falciparum mật độ cao, đếm KSTSR đến 500 thì dừng lại, áp dụng công thức.
Ví dụ: đếm được 550 KSTSR và BC là 43 ( 510 / 43 BC)
Cách trả lời kết quả xét nghiệm với các kết quả đếm trên:
- a, KSTSR: P.FT+ = 400 / µl
- b, KSTSR: P.FT+ = 144 / µl.
- c, KSTSR: P.FT++++= 102.102/ µl
Trường hợp bệnh nhân bị nhiễm vừa thể vô tính, vừa thể hữu tính (giao bào - Gametocyte), lấy µL trường hợp thứ 3 (c) làm ví dụ, nếu có thêm giao bào thì ghi kết quả như sau:
- KSTSR: P.FT ++++ = 102.235/ µl
P.FT ++++G+
- Người ta sẽ hiểu: Bệnh nhân có nhiễm thể giao bào (gametocyte_G) nhưng không đếm, mà chỉ đánh giá mật độ (G) theo hệ thống dấu cộng (+), có nghĩa là 102.235 KSTSR chỉ có thể tư dưỡng (Trophozoite_T).
- Một lam máu được coi là âm tính khi kiểm tra 1.000 bạch cầu mà không có một ký sinh trùng vô tính nào.
- Trong trường hợp có nghi ngờ nhiễm phối hợp, lam giọt mỏng sẽ được kiểm tra để xác định.
· Cách đếm:
- Sau khi phát hiện KST ta sẽ chọn điểm phía trên cùng của giọt máu dù không thấy bạch cầu và đếm.
- Các lam máu tùy theo kỹ thuật làm của kỹ thuật viên mà sẽ không giống nhau, chỗ dày, mỏng, nhạt, đậm cho nên kết quả đếm sẽ không giống nhau.
- Không nên đếm các vi trường gần nhau, nên đếm có khoảng cách từ 3 – 5 vi trường.
- Có thể bỏ qua những vi trường xấu, bẩn hoặc quá dày.
· Nên tránh:
- Các bạch cầu nằm ở rìa mà phần bạch cầu nhìn thấy rõ trong vi trường thì đếm. Các bạch cầu nằm ở rìa mà không thể kết luận là bạch cầu thì không nên đếm. Nên đếm bắt đầu từ mũi 12h theo chiều kim đồng hồ và lần lượt đếm hết vi trường là chính xác nhất.
- Một vấn đề nữa, không thể bỏ qua, khi đếm KSTSR, khi mật độ 1+, 2++ thì đếm dễ dàng, nhưng từ 3+ trở lên hoặc KSTSR dày đặc vi trường (như bánh tráng rắc mè) thì đếm làm sao đây? Kinh nghiệm của chúng tôi, cải tiến buồng đếm như sau: lấy lam kính mới mỏng tốt, cắt vừa vặn, dài bằng đường kính vòng cao su có sẵn trên đầu thị kính,kẻ ca-rô bằng bút viết kính, thưa dày tùy theo mình thích như buồng đếm HC – BC, sau đó nhẹ nhàng luồn vào trong vòng cao su để đếm. Khi không cần thiết, lấy ra cất. Hiện tại, trên thương trường các hãng sản xuất kính hiển vi, có thể bán buồng đếm này, nhưng khó mua, do mua số lượng ít!
Việc đếm mật độ KSTSR, không những có giá trị thật sự quan trọng về mặt điều trị và theo dõi bệnh nhân trên lâm sàng mà chúng còn có giá trình trong nghiên cứu đánh giá các hiệu lực phác đồ thuốc sốt rét theo quy trình 28 ngày hoặc 42 ngày, để phân tích nhạy kháng và thất bại điều trị sau khi sử dụng một số phác đồ. Ngoài ra, các chiến lược đang loại trừ sốt rét có những tiêu chí còn lệ thuộc vào chỉ số KSTSR nên khi đó vai trò đếm MĐKSTSR còn có ý nghĩa hơn rất nhiều.
Lưu Thi Hương, huong76lt@gmail.com
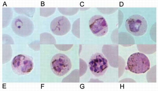
Hỏi: Xin các bác sĩ cho em hỏi về đặc điểm về KSTSR loại P. knowlesi mà vừa qua trên báo có đề cập đến rất nhiều và nghe đâu đã có mặt tại Việt Nam. Do đó, em muốn biết hình thái có khác gì so với 4 con trước đây không?, mong các bác cho em biết em cảm ơn nhiều.
Trả lời: Liên quan đến câu hỏi của bạn ,chúng tôi xin trả lời bạn như sau:
Về hình thái học, các nhà nghiên cứu đã quan sát các giai đoạn hồng cầu nhiễm KSTSR được nhuộm Giemsa từ các bệnh nhân chỉ nhiễm đơn thuần P. knowlesixác định bằng phương pháp nested PCR. Các thể tư dưỡng non xuất hiện các thể nhẫn và không thể hoặc rất khó phân biệt với các thể tư dưỡng non của P. falciparum. Có khi xuất hiện nhiều hơn 1 thể nhẫn trong mỗi hồng cầu và hoặc cũng nhìn thấy các chấm hematin đứng đôi. Thể tư dưỡng già có mặt ít hơn 1/3 số hồng cầu bị nhiễm và bào tương đậm đặc, không biến hình, liên quan và dễ nghĩ đến P. malariae. Trong một số trường hợp, chúng ta có thể tìm thấy thể tư dưỡng già dạng “các thể dãi băng” điển hình tương tự với P. malariae.
Các thể phân liệt có một cụm trung tâm từ 8 đến 18 tiểu thể hoa cúc và các thể phân liệt già đã không chiếm hết toàn bộ hồng cầu. Các thể tư dưỡng và thể phân liệt được nhuộm sắc tố đậm đặc với sắc tố sốt rét nâu, đậm hoặc màu đen. Các thể giao bào tương tự như giao bào của P. malariae và có hình tròn, chúng chiếm hầu hết thể tích hồng cầu và có sắc tố sốt rét phân tán rải rác. Các hồng cầu nhiễm thể tư dưỡng già và thể phân liệt thường được nhìn thấy trong lam máu giọt đặc, chúng không trương phình và chúng ta không thấy bất cứ chấm đậm và sáng nào; các đặc điểm trên tuy riêng nhưng đôi khi tương tự điển hình đối với các hồng cầu nhiễm P.malariae.
 |
Hình ảnh P. knowlesi soi kính hiển vi của các bệnh nhân nhiễm P. knowlesi |
Nhóm nghiên cứu kháng thuốc và nghiên cứu các phương pháp chẩn đoán tại cộng đồng của Khoa Nghiên cứu bệnh sốt rét, Viện Sốt rét - KST - CT Quy Nhơn trong thời gian từ năm 2007 - 2010 khi thực hiện nghiên cứu tại các điểm sốt rét lưu hành của tỉnh Ninh Thuận, Quảng Trị, Gia Lai,…đã nhiều lần phát hiện hình thể ký sinh trùng sốt rét “na ná” như loại P. malariae, nhưng không điển hình như hình ảnh của P.malariae. Tuy nhiên, kết quả này chỉ được bàn luận giữa các kỹ thuật viên có kinh nghiệm của nhóm nghiên cứu về phương diện hình thái học trên kính hiển vi và đặc biệt các trường hợp này đều đáp ứng với thuốc CQ và PRQ. Do đó, liệu chăng các trường hợp như thế là P. knowlesi, điều cần thiết là phải xác định ca nghi ngờ bằng kỹ thuật sinh học phân tử, chẳng hạn PCR.
Người nhiễm tự nhiên với KSTSR loài khỉ, P. knowlesi, cho hơn một nữa số ca bệnh trongnghiên cứu Janet Cox-Singh. Liệu rằng loài KSTSR này đã từng chuyển vật chủ với sự lây truyền bệnh giữa người - người hoặc liệu rằng sự lây truyền giữa loài khỉ qua người cần được thiết lập để có các biện pháp phòng ngừa và kiểm soát thích hợp có thể được thực hiện ở vùng Kapit.
Việc phân tích DNA cho P. knowlesi trong số các mẫu máu được phân lập tại vùng này gợi ý rằng phân tích chuổi gen sẽ là hữu ích trong việc làm rõ về số liệu dịch tễ học và tiến triển lâm sàng bệnh sốt rét do P. knowlesi ở người. Nhiễm trùng loài KSTSR P. knowlesi thường chỉ được xem là một loại ký sinh tùng đặc thù cho khỉ đuôi dài (Macaca fascicularis) và khỉ đuôi heo (Macaca nemestrina) nhưng con người lại thường làm việc trong các vùng rừng và hiển nhiên có nguy cơ nhiễm bệnh.
Với sự gia tăng tàn phá rừng và sự phát triển của các quốc gia Đông Nam Á, nhiều khỉ trở nên tiếp xúc gần gũi với con người. Vì thế ngày càng có nhiều người sống tại các khu vực ngoại ô bị nhiễm sốt rét loại P. Knowlesi. Loại ký sinh tùng này tìm thấy hầu hết ở các quốc gia Đông Nam Á, đặc biệt ở Borneo, Malaysia, Myanmar, Philippines, Singapore, Thái Lan và các quốc gia láng giềng, nay cũng đã xuất hiện tại vùng SRLH tại Việt Nam. Chúng dường như xảy ra tại các vùng mà trước đây báo cáo không có 4 loại KSTSR cổ điển, muỗi nhiễm cũng chỉ gặp giới hạn trong một vài vùng rừng, trong khi muỗi không nhiễm điển hình hay gặp ở các vùng đô thị nhưng lan truyền có thể xảy ra do sự đa dạng và nhiều lên của quần thể muỗi trong các vùng đó, đặc biệt là Malaysia, những cũng có vài báo cáo tại khu vực biến giới Thái Lan – Myanmar. 1/5 số ca sốt rét được chẩn đoán tại Sarawak, Malaysian Borneo là do P. knowlesi. Loài Plasmodium knowlesi ít lưu hành hơn ở châu Phi. Điều này có thể do nhiều người dân châu Phi mà chính là dân da đen Tây Phi thiếu kháng nguyên Duffy – một loại protein trên bề mặt hồng cầu giúp bảo vệ phần nào theo cơ chế “bệnh chống bệnh” chăng?
Các sinh vật thuộc giống Plasmodium là các ký sinh trùng eukaryotic bắt buộc, một số biết rõ theo tác nhân sinh bệnh sốt rét ở người. Có 4 loại KSTSR nhiễm và gây sốt rét ở người chính là P. falciparum, P. vivax, P. malariae, P. ovale. Mặc dù, các ký sinh trùng thuộc Plasmodium nhiễm trên nhiều loài vật chủ có xương sống khác nhau (bao gồm loài khỉ,, loài gặm nhấm, động vật có móng vuốt, thằn lằn, chim), chúng hiếm khi gây bệnh nghiêm trọng trên các động vật có xương sống, ngoại trừ con người. Loài KSTSR có độc lực nhất đối với con người là P. falciparum và P. vivax (White và cs., 2003), gây ra 300 - 500 triệu ca sốt rét nặng hoặc tử vong trên toàn cầu.
Hiện nay, với sự thông tin có được các nhà khoa học đã hệ thống hóa các loài KSTSR đã thay đổi đáng kể quan 20 năm qua từ các công trình nghiên cứu khoa học chính thống (Perkins và Schall., 2002; Martinsen và cs., 2008) chỉ ra rằng giống Plasmodium không thể từ một nguồn gốc hay từ một tổ tiên (monophyletic) và bao gồm các ký sinh trùng của các giống khác, gồm cả Hepatocystis.