1. Nguyễn Thế Hưng, 24/12/2 Phạm Văn Chánh., TP. Hồ Chí Minh
Hỏi:Tháng 4 vừa qua, tôi có một người thân trong gia đình được chẩn đoán là khối u trong não, có nguy cơ xâm lấn vào các cơ quan lân cận của hệ thống não thất và hành não, các bác sĩ ở đây đề nghị đi Sài Gòn hoặc Hà Nội để được phẩu thuật cắt bỏ u do ở đây có hệ thống định vị mổ rất hiện đại. Tôi (đang công tác trong ngành y) không hiểu gì nhiều về hệ thống định vị này và vai trò của nó trong phẩu thuật khối u của người thân của tôi như thế nào và so với các cách thức mổ cũ có ưu điểm gì? Xin các bác sĩ giúp tôi hiểu rõ hơn về vấn đề này! Chân thành cảm ơn quý ông, bà bác sĩ của Viện Sốt rét Bình Định.
Trả lời: Chân thành cảm ơn anh Hưng đã đặt niềm tin vào trang website của Viện để đặt một câu hỏi liên quan đến vấn đề phẩu thuật thần kinh sọ não, một kỹ thuật mới đối với hệ thống định vị mổ thần kinh hiện đã và đang ứng dụng khá nhiều bệnh viện lớn tại Việt Nam. Chúng tôi cũng như bạn đều đang công tác trong ngành y, song không cùng chuyên ngành với phẩu thuật thần kinh nên cũng “khó khăn” như anh vậy. Tuy nhiên, chúng tôi sau khi nhận được câu hỏi có gắng tập hợp tài liệu để gởi đến anh và gia đình trong thời gian sớm nhất mà chúng tôi biết được.
Trước đây, khoảng 5 năm nhiều tiến bộ y học trong ngành thần kinh cột sống đã giúp nhiều bệnh nhân thoát được cơn hiểm nghèo và một trong những bước đột phá đó là sự ra đời của dao Gamma, tiếp sau đó là hệ thống máy Cyber,…đã mang lại nhiều hiệu quả rất quan trọng. Sau đây, chúng tôi xin trình bày ngắn gọn và dễ hiểu nhất về dao gamma và hệ thống định vị trong phẩu thuật thần kinh mà chúng tôi có được từ các đồng nghiệp:
Dao Gamma là một thiết bị phẫu thuật định vị 3 chiều cho phép xác định chính xác vị trí các tổn thương trong não (u não, dị dạng mạch máu não...) để điều trị. Phương pháp này an toàn, hiệu quả, chỉ phẫu thuật một lần không chảy máu, không có vết mổ, không gây mê, thời gian phẫu thuật ngắn. Giáo sư Lars Leksell, người Thuỵ Điển là người đầu tiên phát minh ra nguyên lý hoạt động của tia Gamma vào năm 1951 và phẫu thuật bằng tia Gamma lần đầu tiên sử dụng vào năm 1968. Cho đến nay phương pháp này đã phát triển mạnh và trở thành phương pháp phẫu thuật bằng tia bức xạ được sử dụng phổ biến nhất trên thế giới do tính ưu việt củanó. Theo thống kê của nhiều trung tâm hầu như chưa có một trường hợp nào tử vong. Phẫu thuật bằng tia Gamma đã mang lại hiệu quả tuyệt với để thay thế hoặc phối hợp với các phương pháp phẫu thuật thần kinh sọ não. Hiện tại, Bệnh viện Trường ĐH y dược Huế, Bệnh viện Hy vọng mới đang phẫu thuật cho bệnh nhân u não bằng các trang thiết bị chuyên môn hiện đại của một bệnh viện chuyên khoa điều tri khối u bằng dao Gamma. Thiết bị dao Gamma gồm có thiết bị mổ khối u ở đầu (dao Gamma đầu), mổ u thân (dao Gamma thân).Các BV này đã thực hiện phẫu thuật khối u sọ não bằng tia Gamma và điều trị các bệnh về u ở trong cơ thể.
Nguyên lý hoạt động của dao gamma (Gamma knife) khá đơn giản. Sau khi xác định được điểm cần phẫu thuật, dựa vào chụp cắt lớp mô phỏng định vị khối u, sẽ dùng chính tia gamma (Nhiều tia xuất phát từ các vị trí khác nhau xung quanh hộp sọ cùng chiếu một lúc và các tia này sẽ hội tụ vào đúng vị trí u đã được định vị). Vì vậy điểm tập trung các tia này có cùng độ lớn sẽ phá huỷ và tiêu diệt khối u mà vùng não xung quanh hầu như không bị tổn thương. Đó là ưu điểm nổi bật so với mổ mở. Gọi là phẫu thuật bằng Dao Gamma, có nghĩa là ở đây giống như phẫu thuật cắt bỏ nhưngkhông phải dùng dao kéo thông thường mà dùng chùm tia Gamma rất mảnh có năng lượng cao đưa vào để tiêu diệt khối u trong não. Dao Gamma quay có ưu điểm hơn nhiều so với dao Gamma cổ điển Leksell khác vì các chùm tia phát ra từ nguồn xạ, sẽ thay đổi liên tục do các nguồn và các lỗ quay. Do vậy nó đạt được hiệu quả điều trị cao nhất với mô bệnh mà liều chiếu cho mô lành lại rất thấp. Gamma Knife là để điều trị các u não, tổn thương dị dạng mạch máu não có kích thước nhỏ, nằm ở vị trí sâu, khó với tới một cách an toàn bằng lưỡi dao mổ thông thường. Khi tổn thương nằm sâu, nếu mổ hở như thông thường, phẫu thuật viên có thể làm tổn thương vùng não lành, gây biến chứng cho bệnh nhân sau đó như rối loạn thần kinh, tâm thần, liệt nửa người hoặc liệt các vùng thần kinh. Thậm chí nếu đụng chạm đến những trung khu thần kinh quan trọng, bệnh nhân còn có thể tử vong ngay trên bàn mổ.
Tia Gamma hôi tụ chính xác vào vị trí của tổn thương, năng lượng bức xạ được tập trung vào tiêu điểm đã được xác định trước để tiêu huỷ tất cả các tổn thương chỉ một lần và đạt hiệu quả điều trị cao, vẫn đảm bảo an toàn các mô lành xung quanh. Chỉ định điềutrị phẫu thuật bằng tia Gamma có hiệu quả đối với các bệnh lý sọ não như khối u sọ não (u tuyến yên, u tuyến tùng, u màng não, u sọ hầu, u thần kinh số VIII, số V, u góc cầu tiểu não, u tế bào thần kinh, đệm, các loại u não ác tính khác, u di căn lên não). Bệnh lý mạch máu não (dị dạng mạch máu, u máu thể hang); U ngoài sọ, u hậu nhãn cầu, ung thư vòm tái phát tại chỗ, điều trị các u sọ não sau phẫu thuật mở; u não tồn dư, u não tái phát, bệnh lý chức năng, bệnh Parkinson, bệnh động kinh, đau dây thần kinh số V,...
Về quy trình điều trị, phẫu thuật bằng tia Gamma qua 4 bước như sau: [1] Xác định toạ độ tổn thương bằng khung định vị; [2] Chụp cộng hưởng từ sọ não cùng với khung định vị, các hình ảnh MRI sẽ được truyền về hệ thống lập trình phẫu thuật; [3] Lập kế hoạch điều trị dựa vào các hình ảnh MRI và các thông số toạ độ của tổn thương, được lập trình bằng phần mềm hiện đại để thiết lập phác đồ điều trị; [4] Thực hiện kế hoạch điều trị. Bệnh nhân nằm trên bàn phẫu thuật dao Gamma, khung định vị được điều chỉnh theo các thông số của kế haọch điều trị để hội tụ các chùm tia Gamma vào đúng vùng tổn thương cần phá huỷ. Sau phẫu thuật bệnh nhân vẫn tỉnh táo, ăn uống bình thường, có thể xuất viện, hoặc nằm viện 1-2 ngày.
Ưu điểm của dao gamma so với các phương pháp mổ sọ não khác, phẫu thuật bằng tia Gamma an toàn, hiệu quả hơn, rất ít biến chứng và không có tử vong. Chỉ định điều trị rộng rãi, ngay cả các bệnh nhân không thể mổ hở. Phẫu thuật bằng tia Gamma không cần phải gây mê, bệnh nhân vẫn tỉnh táo, hoàn toàn trong quá trình phẫu thuật. Không có nguy cơ nhiễm trùng, không chảy máu, không đau. Không có vết mổ, không có sẹo và không cạo tóc.Không cần nằm viện, hoặc chỉ nằm 1-2 ngày, chi phí điều trị thấp so với mổ hở.
Dao Gamma là phương tiện phẫu thuật bằng bức xạ gamma tập trung, định vị ba chiều, cho phép xác định chính xác và điều trị các khối u nằm sâu trong não hoặc các khối dị dạng động tĩnh mạch có đường kính nhỏ hơn 5 cm chỉ bằng một lần phẫu thuật trong điều kiện gây tê cục bộ.
Gamma Knife đặc biệt có giá trị cao đối với những trường hợp u ác tính di căn lên não. Khi di căn đến những cơ quan trong cơ thể, u ác tính thường tạo ra nhiều khối u khác nhau và gây chèn ép. Đối với những cơ quan thông thường, u ác tính thường không tạo ra hậu quả tức thời, nhưng đối với não lại gây ra tăng áp lực trong sọ, đe dọa tức khắc đến tính mạng bệnh nhân. Khi can thiệp bằng dao gamma, hiện tượng chèn ép được giải quyết, phù não giảm nhanh chóng, kéo dài sự sống cho bệnh nhân. Như vậy, Gamma Knife là phẫu thuật não không vết mổ nên được gọi là xạ phẫu.
Đặc điểm của Gamma Knife: với Gamma Knife, chùm Gamma rất mảnh và năng lượng cao, tổn thương vì chùm Gamma rất mảnh không ảnh hưởng tới các vùng lân cận, do vậy có thể điều trị các tổn thương gần mạch máu hoặc trung khu thần kinh quan trọng. Việc lập kế hoạch và điều trị với Gamma Knife phải rất chính xác,cẩn thận đòi hỏi người thao tác phải có trình độ kĩ thuật cao, làm việc kết hợp chặt chẽ với các bác sĩ. Một sai sót nhỏ trong quá trình thao tác có thể gây tác hại rất lớn. Như vậy, Gamma Knife là một kĩ thuật mới để điều trị tổn thương não. Bằng kĩ thuật xạ phẫu mới này có thể điều trị hiệu quả các u não nhỏ dưới 5 cm, nằm sâu trong não, mà khó có thể điều trị bằng phẫu thuật thông thường. Điều trị bằng Gamma Knife không gây đau đớn, không để lại di chứng và bệnh nhân chỉ cần điều trị một lần. Tuy nhiên các kĩ thuật viên phải thật cẩn thận trong quy trình xạ phẫu.
2. Hệ thống định vị trong phẫu thuật thần kinh:
Một trong những khó khăn trong phẫu thuật sọ não là làm sao kiểm soát tốt các cấu trúc giải phẫu. Phẫu thuật viên, ngay cả khi nắm rất rõ giải phẫu sọ não, vẫn có thể phẫu thuật ở vị trí hơi khác với vị trí mà họ nghĩ là đang mổ (ví dụ, có thể là lệch từ 10 đến 15mm về phía trước, sâu hơn hay về bên cạnh hơn so với vị trí tổn thương). Điều này có thể gây ra những tổn thương dẫn đến các di chứng sau phẫu thuật. Do vậy khi phẫu thuật thần kinh điều quan trọng là phải xác định chính xác vùng tổn thương và đâu là các cấu trúc cần phải tránh không làm tổn thương? Những biến chứng nào có thể xảy ra khi mổ? Phẫu thuật sọ não được xem là ẩn chứa nguy cơ tử vong và tai biến rất cao. Tuy nhiên, với kỹ thuật mới nhất: hệ thống thiết bị định vị thần kinh, giảm thiểu tổn thương cho não bộ. Người bệnh có thể an tâm hơn bởi các phẫu thuật viên có thể làm việc với độ chính xác rất cao.
Định vị thần kinh là một hệ thống dẫn đường ba chiều trong quá trình phẫu thuật dựa trên việc đánh dấu số hóa các cấu trúc sọ não, các mạch máu và các dây thần kinh (tương tự như kỹ thuật hệ thống định vị toàn cầu được sử dụng trong công nghiệp). Phẫu thuật viên luôn luôn thấy được vị trí của các dụng cụ chính xác đến từng milimét, nhờ hệ thống tin học được sử dụng để phẫu thuật. Đó chính là phẫu thuật điều khiển bởi máy tính. Việc phẫu thuật hộp sọ sẽ không còn phải phụ thuộc nhiều vào tay nghề, kinh nghiệm và đặc biệt là khả năng "tưởng tượng" của phẫu thuật viên nữa.
Về các lợi ích của kỹ thuật định vị: [1] Giảm kích thước các đường rạch da và xương, ít gây tổn thương các cấu trúc giải phẫu nhạy cảm (không cần thiết phải cạo tóc bệnh nhân trước phẫu thuật); [2] Cuộc phẫu thuật đạt được hiệu quả cao hơn và ít tổn thương nhất cho não; [3] Giảm nguy cơ tai biến phẫu thuật, cải thiện các bước hậu phẫu và kết quả là giảm thời gian nằm viện; [4] Với bất kể tiên lượng nào của bệnh nhân thì phẫu thuật bằng hệ thống định vị thần kinh cũng an toàn hơn và chính xác hơn so với các phương pháp thông thường khác. Hiện tại, hệ thống định vị thần kinh được trang bị tại nhiều bệnh viện ở Hà Nội và TP. Hồ Chí Minh.
Lần đầu tiên, Bệnh viện Đại học Y Hà Nội ứng dụng thành công hệ thống máy định vị vào phẫu thuật cho 2 bệnh nhân u não. Đây là kỹ thuật hiện đại nhất của phẫu thuật thần kinh hiện nay. Việc ứng dụng thành công phương pháp mới này cũng mở ra cơ hội được điều trị tốt hơn đối với những bệnh nhân cần phải phẫu thuật thần kinh, tai mũi họng, thay thế khớp...
Khi chưa có thiết bị định vị, các bác sĩ quyết định đường rạch da và mở sọ não dựa trên kếtquả các phim chụp nên thường phải mở một đường rạch lớn để có thể tiếp cận khối u. Mặt khác, bằng mắt thường khó xác định được lấy hết khối u đó như thế nào là tốt nhất, vì nếu lấy triệt để có thể xâm phạm đến những tổ chức não lành, các động mạch não đi qua, còn nếu muốn an toàn có thể sẽ phải trừ lại một phần nào đó tổ chức u. Nhưng với thiết bị định vị đã giải quyết được hạn chế này. Trong trường hợp u thùy thái dương của bệnh nhân L, có động mạch não giữa chạy qua, nếu không xác định được đường xâm nhập tốt có thể sẽ đụng chạm đến động mạch này và hậu quả sẽ làm cho bệnh nhân bị liệt nửa người sau mổ. Mặt khác, khoảng cách giữa khối u và dây thần kinh thị giác rất nhỏ, nếu không có thiết bị định vị thì khi xử trí khối u có nguy cơ chạm đến dây thần kinh này. Đối với bệnh nhân B, thì khối u lại nằm sâu trong não, bình thường mở hộp sọ ra không nhìn thấy khối u ngay mà phải tiếp tục rạch các tế bào não lành bên ngoài mới tiếp cận sâu được bên trong. Nhưng nhờ có định vị, các bác sĩ đã biết trước chính xác vị trí, kích thước khối u và quyết định cách lấy khối u này trọn vẹn và an toàn nhất cho các tế bào não xung quanh.
Trong phẫu thuật cột sống, ngoài lợi thế xác định chính xác vị trí và mức độ tổn thương, lựa chọn đường mổ thích hợp, hệ thống định vị còn giúp bác sĩ biết được chính xác vị trí cuống đốt sống để bắt vít vào thân đốt sống (đặc biệt là đốt sống cổ cuống rất nhỏ) và không làm tổn thương động mạch đốt sống trong khi mổ. Ngoài ra hệ thống này còn được ứng dụng rất hiệu quả trong phẫu thuật tai mũi họng, thay khớp... Được biết, đây sẽ là một trong những kỹ thuật cao mà bệnh viện sẽ triển khai thường quy phục vụ người bệnh.
Hy vọng với phần trả lời tương đối đầy đủ trên, bạn sẽ yên tâm và hiểu thêm một kỹ thuật mới can thiệp vào khía cạnh phẩu thuật sọ não hiện nay trên thế giới và cả Việt Nam.
2. lê thị Huyền Trang- letrangbmtnbk@gmail.com.vn- Buôn ma thuột
Hỏi: Xin chào ban biên tập. Mẹ em nổi dị ứng thường xuyên nhưng đi xét nghiệm máu thì không thấy gì bất thường. Mẹ em cũng đã kiêng ăn các đồ hải sản chứa nhiều chất tanh cũng như uống nhiều thuốc mà vẫn không khỏi. Vậy em muốn hỏi có cách nào chữa trị? Em xin cảm ơn!
Trả lời:
Trước hết xin chia sẻ nổi băn khoăn lo lắng của chị và gia đình về triệu chứng dị ứng của mẹ chị, đặc biệt hơn là đã xét nghiệm nhưng không phát hiện gì bất thường, song chị vẫn chưa cho chúng tôi biết là đã làm xét nghiệm những gì vì dị ứng có hàng triệu dị nguyên gây nên, dị ứng có thể do nhiều tác nhân gây nên như do độc tố, ký sinh trùng, vi khuẩn, virus, và nhiều chất lạ khác như các sản phẩm tiết hoặc ly giải của vi sinh vật.
Vì nguyên nhân và các yếu tố nguy cơ cũng như yếu tố làm dễ cho tình trạng dị ứng xảy ra rất đa dạng và phức tạp. Do vậy, để chúng tôi tư vấn một cách toàn diện hơn, xin vui lòng gởi bản photocopy các xét nghiệm mà mẹ bạn đã từng làm, hơn nữa bạn cũng nên coh chúng tôi mẹ bạn có đang mắc các bệnh lý nền nào không (chẳng hạn bệnh tuyến giáp, tim mạch, hen suyễn, suy gan thận, đái tháo đường, ...). Xin gặp lại phần trả lời sau bạn nhé !
3. Nhung- nguyenhoangnhung27@yahoo.com.vn- Đống Đa - Quy Nhơn - Bình Định
Hỏi:Xin bác sỹ cho em hỏi: ba em bị mất ngủ khoảng 2 tháng, xét ngiệm tại Viện SR Quy Nhơn thì phát hiện nhiễm ấu trùng sán dây lợn và cho thuốc, 1 tháng sau tái khám. Bác sỹ bảo nguyên nhân do tiếp xúc với heo, nhưng ba em sống ở thành phố? Vấn đề em lo ngại là vì ba em bị mất ngủ và em có đọc một số tài liệu liên quan trên mạng thì bệnh này rất nguy hiểm và dễ gây tổn thương não, còn gọi là sán lợn não. Vậy, cho em hỏi ấu trùng sán dây lợn và sán lợn não khác nhau như thề nào, có cần phải chụp cộng hưởng từ ở não ko? ấu trùng sán dây lợn ký sinh ở da, não, mắt nhưng ko nói rõ ba em nhiễm thể loại nào? Rất mong được hồi đáp sớm. Chân thành cảm ơn!
Trả lời:
Chúng tôi chân thành cảm ơn câu hỏi của bạn. Liên quan đến câu hỏi, chúng tôi xin đưa ra trả lời sơ bộ như sau : trong xét nghiệm tại Viện Sốt rét KST-CT Quy Nhơn chỉ làm xét nghiệm huyết thanh dương tính với ấu trùng sán dây lợn (Cysticercosis) dương tính hoặc âm tính chứ không thể trả lời chính xác là nhiễm các ấu trùng này tại cơ quan nào (mắt, da, hay não là không thể phân định được). Nếu để xác định hiện tại nhiễm ấu trùng sán dây lợn ở cơ quan đích nào là chúng ta cần phải phối hợp các xét nghiệm cận lâm sàng, chẩn đoán hình ảnh CT-Scan hoặc MRI ở não và cơ quan khác,...thậm chí sinh thiết, khi đó mới có thể kết luận chính xác được.
Một khía cạnh nữa rằng bạn đang băn khoăn là ba bạn sống ở thành phố không tiếp xúc với heo. Điều này có lẽ chưa giải thích thấu đáo trong khuôn khổ thời gian cho phép tại Viện nên có thể họ giải thích chưa đầy đủ vì có thể do ăn tiết canh, do tiếp xúc qua quá trình chăm ocs heo, do ăn phải thịt lợn còn nhiễm mầm bệnh chưa nấu chín,.... Để tìm hiểu một cách chi tiết nhất, chúng tôi xin gởi đến bạn toàn văn của bài liên quan đến ấu trùng sán dây lợn để bạn thấu hiểu hơn nhé !
Ấu trùng sán lợn hay nhiễm sán dây lợn hiện đang gia tăng và là vấn đề y tếquan tâm tại Mỹ, đặc biệt ở khu vực tây nam và một số vùng khác có sự di cư nhiều của người dân đến các vùng lưu hành bệnh hoặc quần thể dân du lịch đến các vùng lưu hành bệnh nghiêm trọng. Giai đoạn ấu trùng của sán dây lợn Taenia solium, gây ra các biểu hiện lâm sàng của bệnh ấu trùng sán lợn (ATSL), với người là vật chủ cuối cùng của nhiễm trứng T. solium. Hình ảnh các triệu chứng lâm sàng thay đổi tùy thuộc vào vị trí của ấu trùng đóng chỗ, gánh nặng của ấu trùng hay mật độ ấu trùng và phản ứng của vật chủ. Các ảnh hưởng gồm có cơn động kinh, co giật, nhức đầu, các dấu hiệu thần kinh khu trú, nhìn mờ, các nốt tân tạo của nang liên quan đến hệ cơ xương và đau. ATSL nên được cân nhắc và nghĩ đến trên bất kỳ một bệnh nhân nào từ vùng lưu hành bệnh có biểu hiện các triệu chứng.
Điều trị tùy thuộc vào tình trạng lâm sàng, ATSL thần kinh trong nhu mô nói chung được điều trị bằng thuốc Albendazole với steroids để giảm phù nề nhu mô não và thuốc chống động kinh để chống cơn giật. Các hình ảnh bệnh ký ATSL ở mắt và ngoài mắt nói chung phải điều trị can thiệp phẩu thuật. Các nang kén ở hệ cơ xương phẩu thuật loại bỏ chỉ khi nào có dấu hiệu đau. Bởi vì các nang có thể nằm trong nhiều vị trí khác nhau, nên tất cả bệnh nhân bị ATSL nên khám mắt để loại trừ thể liên quan đến mắt và tất cả bệnh nhân có ATSL thể thần kinh nên chụp cộng hưởng từ và cắt lớp não bộ để loại trừ các nguyên nhân khác và phân biệt với neurocysticercosis (American Academy of Family Physicians 2007; 75:91- 6, 98)
Bệnh ATSL là một bệnh ký sinh trùng hay gặp trên thế giới, với ước tính tỷ lệ mắc trên 50 triệu 50 triệu người nhiễm. Tại vùng lưu hành bệnh ở Mexico, Trung và Nam Mỹ, một vài nơi châu Phi, châu Á, Ấn Độ. Bệnh ATSL ở thần kinh, có đặc điểm lâm sàng biểu hiện một bệnh lý ATSL, tỷ lệ nhiễm ở não cao nhất trong số đó trên toàn cầu với hơn 1.000 ca mắc mới mỗi năm được chẩn đoán tại Mỹ. ATSL thể thần kinh là một trong những nguyên nhân gây tử vong hàng đầu trên người lớn có biểu hiện ban đầu là động kinh. Và cũng chính thể bệnh này chiếm 10% trong số các bệnh nhân khởi bệnh động kinh ở Los Angeles, California,…nhập viện khoa cấp cứu.
Dịch tễ học về bệnh ấu trùng sán lợn
Chu kỳ của bệnh ATSL do sán dây lợn Taenia solium, bắt đầu là giai đoạn ấu trùng trong heo. Nhiễm sán dây ở người xảy ra khi các nang T. solium được tiêu hóa vào trong cơ thể do nấu chưa chín thịt heo. Các ấu trùng dính vào ruột và trưởng thành sán. Rồi kế đến sán trưởng thành đẻ ra các proglottids (đốt sán chứa nhiều trứng sán) ra theo phân và có thể nhiễm vào trong các thực phẩm từ thịt heo cung cấp hàng ngày. Các trứng bị tiêu hóa bởi heo phát triển thành giai đoạn ấu trùng, chu du khắp thành ruột, đi vào dòng máu, định vị tại nhiều mô khác nhau của heo và phát triển thành các nang.
Khi người tiêu hóa (nuốt phải) trứng, qua con đường lan truyền phân miệng hoặc khả năng thông qua con đường tự nhiễm, họ trở nên là vật chủ cuối cùng của giai đoạn ấu trùng của ký sinh trùng này và phát triển thành bệnh ATSL tương tự như ở heo. Lây truyền qua đường phân miệng thường xảy ra thông qua thức ăn nhiễm bẩn trên bàn tay người - họ không rửa tay trước khi ăn. Hoặc các loại trái cây hoặc rau quả được tưới bởi phân người nhiễm bệnh.
Chu trình tự nhiễm liên quan đến nhiễm trùng ngược dòng của các đốt sán từ ruột non đến dạ dày và ly giải các trứng của sán dây T. solium bên trong ruột người. Tiêu hóa hoặc ăn phải các thịt heo bị đóng kén nang ấu trùng sẽ không trực tiếp gây ra bệnh ấu trùng sán lợn. Nói đúng hơn, nó sinh ra quá trình nhiễm ở ruột với các sán dây trưởng thành và tình trạng mang mầm bệnh đối với trứng T. solium, khi người tiêu hóa phải sinh ra các triệu chứng lâm sàng của bệnh ấu trùng sán lợn. Thậm chí, ngay cả khi người đó không ăn thịt heo (chẳng hạn rau) có thể phát triển thành bệnh ấu trùng sán lợn.
Đặc điểm lâm sàng của ấu trúng sán lợn
Đặc điểm lâm sàng của bệnh ATSL biểu hiện tùy thuộc vào vị trí nang sán và toàn bộ số lượng sán ký sinh. Các sán có thể ẩn cư đóng dính trong não vào trong tủy sống, trong mắt, trong cơ xương và các mô dưới da. Các vị trí đóng dính nang sán tại não và mắt gây nên hầu hết các ca tử vong (não) và đưa ra tỷ lệ mắc bệnh nhiều nhất. Não cũng là vị trí hay gặp nhất của các nang ATSL (60 - 90% trong tổng số các ca) và mắt chiếm tỷ lệ ít nhất (1 - 3%). Tổng số nang sán có thể sắp xếp từ dạng tổn thương đơn lẻ đến vài trăm nang sán. Phản ứng đầu tiên của vật chủ thường được tránh qua suốt quá trình ấu trùng đóng kén - một tiến trình bao gồm cơ chế tự bảo vệ của ấu trùng cũng như sự phá hủy kén từ vật chủ. Giai đoạn này có thể kéo dài nhiều năm và thường các triệu chứng lâm sàng diễn biến im lặng, trừ khi vị trí của nang sán cũng như kích thước nang gây nên các triệu chứng và hội chứng.
Hầu hết các nang sán không thể tồn tại một cách hạn định và khi có sự phá hủy các nang sán sẽ ly giải ra các kháng nguyên ấu trùng và sinh ra một loạt các đáp ứng mạnh từ vật chủ và gây nên các hội chứng lâm sàng thông qua các chất trung gian gây viêm và tổn thương phù nề xung quanh. Sau giai đoạn viêm cấp, các ấu trùng đóng kén nói chung sẽ bị chết, hoàn thành pha phá hủy và thường chuyển dạng calci hóa các kén này. Các kén sán bị calci hóa có thể sinh ra các triệu chứng tiếp sau đó hoặc chết đi.
ATSL thần kinh thể trong nhu mô (neurocysticercosis), nhiễm trùng trong nhu mô não, là một nguyên nhân thường gây động kinh cục bộ hoặc động kinh toàn thể, nhưng hiếm khi có bieur hiện nhức đầu, run giật giống như parkinson (parkinsonism), hoặc các dấu bất thường thần kinh khác. Nếu lượng nang sán hoặc gánh nặng nhiễm ATSL nhiều trong mô thần kinh có thể gây nên các biểu hiện bệnh lý não với sốt, đau đầu, buồn nôn, nôn mửa, thay đổi tri giác, động kinh. Các nang sán cũng có thể xảy ra khi nằm trong khoang não thất hoặc vùng dưới nhện, đôi khi chúng phát triển đủ lớn để hình thành nên các dấu chứng thần kinh, dấu màng não, não úng thủy, hoặc liệt các dây thần kinh sọ não - khiến cho thầy thuốc lâm sàng nhầm lẫn với các bệnh lý thần kinh khác. Hiếm gặp hơn, các nang sán định vị trong cột tủy sống có thể gây ra triệu chứng đau rễ thần kinh hoặc dị cảm khó thể phân biệt với các bệnh lý tủy sống khác.
ATSL cũng có thể xảy ra tại các vị trí cách xa so với hệ thần kinh trung ương. Các đặc điểm lâm sàng tại mắt có thể tìm thấy trong khoang dưới võng mạc hoặc thủy tinh thể và có thể đe dọa đến tầm nhìn hay thị lực do quá trình viêm hoặc các nang phá hủy, thoái hóa hoặc có thể dẫn đến bong võng mạc. Các nang kén cũng có thể dính và ký sinh trong cơ ngoài mắt. sinh ra chuyển động mắt bị giới hạn và có thể biểu hiện giống như liệt dây thần kinh sọ não. ATSL thể ở cơ xương hoặc mô dưới da có thể gây ra đau tại chỗ và các nốt kén đóng.
Chẩn đoán bệnh và thể bệnh
Việc chẩn đoán bệnh ATSL trong các vùng không lưu hành bệnh đòi hỏi có các chỉ số nghi ngờ caqo về khía cạnh lâm sàng. Bệnh nhân có tiền sử đi du lịch đến các vùng lưu hành bệnh cũng cần nghi ngờ, nhưng thời gian chính xác không thể giúp gì được vì xu hướng bệnh T. solium có thể kéo dài nhiều năm và giai đoạn lâm sàng có thể tiềm tàng khác nhau. Các tiêu chuẩn đặc biệt đã được các chuyên gia đề nghị đưa ra để chẩn đoán bệnh ấu trùng sán lợn:
Sau khi thăm khám và điều tra bệnh sử, chụp cắt lớp vi tính có hoặc không có bơm thuốc cản quang đường tĩnh mạch là bước đầu tiên trong chẩn đoán các ca bệnh nghi ngờ ATSL thần kinh. CT não có hoặc không có thuốc cản quan sẽ cho thấy hình ảnh các tổn thương điển hình của ATSL đường kính nhỏ hơn 20mm và không có hình ảnh phản đứng giữa (no midline shift) là hình ảnh gợi ý cao cho thể ATTSL thần kinh (neurocysticercosis). Phần scolex, hoặc phần giác hút của ấu trùng cũng có thể nhìn thấy; đây là đặc trưng bệnh của ATSL thể thần kinh.
Số lượng, kích thước và vị trí có nang xuất hiện cũng như giai đoạn chu kỳ của nang sán, có thể xác định và có thể tác động đến việc quyết định điều trị. Các nang là các hình ảnh tổng thương dạng điểm có thể phát triển và tồn tại được, nang không bị thoái hóa. Các tổn thương dạng nang chỉ ra biến tính hoặc thoái hóa có một vài phản ứng viêm bao quanh. Cuối cùng, các nang hình thành calci hóa là một bằng chứng các nang đã tồn tại lâu có thể đã chết. Chăm sóc phải được tiến hành khi có thể còn nghĩ đến nhiều nguyên nhân khác (lao, bệnh ký sinh trùng khác, di căn từ nơi khác đến, hoặc ung thư nguyên phát của não hoặc hình ảnh abces não) khi một tổn thương tìm thấy trên phim chụp cắt lớp.
Hình ảnh trên phim chụp cộng hưởng từ cũng là công cụ hữu ích để chẩn đoán ATSL thể thần kinh và có thể tốt hơn cả chụp cắt lớp CT để phát hiện các thương tổn trong não tủy, trong cuống não, trong não thất. Việc áp dụng nó nên cân nhắc khi CT không chẩn đoán ra. CT và siêu âm là rất nhạy để phát hiện các tổn thương ATSL tại mắt và hệ cơ xương.
Huyết thanh chẩn đoán hiện đang sẵn có trên thị trường để phát hiện các kháng thể của ấu trùng sán lợn qua kỹ thuật ELISA hoặc immunoblot với mẫu bệnh phẩm là huyết thanh hoặc dịch não tủy; các xét nghiệm này có độ nhạy 65 - 98% và độ đặc hiệu đến 67 - 100%, lệ thuộc vào đặc hiệu của test sử dụng, gánh nặng của nang sán, vị trí của sán ký sinh và giai đoạn nhiễm bệnh. Khi có sẵn, các thử nghiệm immunoblot liên kết enzyme (enzyme-linked immunoblot assay) trong mẫu huyết thanh có độ nhạy và độ đặc hiệu cao nhất và tiêu chuẩn chẩn đoán chính lệ thuộc vào lựa chọn test. ELISA với bệnh phẩm dịch não tủy ít đặc hiệu và ít nhạy hơn nhưng vẫn hội đủ tiêu chuẩn chẩn đoán. Các kháng thể có thể tồn tại sau khi nang chết, do vậy, xét nghiệm huyết thanh cũng nên luôn luôn cân nhắc cùng với các triệu chứng lâm sàng và chẩn đoán hình ảnh trong nhận định bệnh.
Sinh thiết não, da, hoặc cơ đưa ra các chẩn đoán xác định trong một bối cảnh hình ảnh lâm sàng có thể mơ hồ và tiến thoái lưỡng nan và có thể phương pháp chẩn đoán lựa chọn cho cơ mắt, hoặc đau cơ hoặc các nang dưới da. Sinh thiết các tổn thương ở xa so với hệ thần kinh trung ương cung cấp thêm các bằng chứng về bệnh ấu trùng sán lợn hệ thần kinh khi hình ảnh ở não không được chẩn đoán và sinh thiết não không thể thực hiện thoải mái và khả thi. Các xét nghiệm liên quan đến mắt sẽ rất nhạy để phát hiện các nang sán đóng kén trong mắt và rất cần thiết để chẩn đoán bất kỳ bệnh nhân nào nhằm loại trừ các vấn đề liên quan đến mắt. Tương tự như vậy, Chẩn đoán bất kỳ bệnh ATSL không phải thể thần kinh, chẳng hạn như thể cơ, da,…thì cần đến điều tra bệnh sử, khám thực thể, chẩn đoán hình ảnh sẽ giúp loại trừ nguyên nhân và thể tại mắt.
Thái độ xử trí
Chẩn đoán bệnh ATSL không phải một cách tự ý luôn luôn áp dụng liệu trình điều trị theo một phác đồ kinh điển, đơn giản. Các quy trình đưa ra quyết định điều trị có thể phức tạp, lựa chọn điều trị gồm có thuốc, phẩu thuật hoặc thận trọng xử trí. Quyết định điều trị phải hội đủ nhiều yếu tố, bao gồm các hội chứng và vị trí, số lượng, giai đoạn, kích thước nang sán. Bàn luận về việc lựa chọn hướng điều trị là rất khó bởi vì số cảnh báo cần cân nhắc và vì các khuyến cáo của các chuyên gia là các khuyến cáo dựa trên y học chứng cứ nên khó loại trừ với các viễn cảnh lâm sàng thuyết phục (chẳng hạn, các nang sán ở hệ thần kinh ở dạng đơn hoặc nhiều nang cùng lúc). Việc đưa ra lòi tham vấn dưới ý kiến chuyên gia cũng nên đảm bảo, đặc biệt các bệnh lý tổn thương dưới nhện hoặc trong não thất và nhiễm một lúc nhiều khối (50 nang sán hoặc hơn).
Điều trị ATSL ở mô mềm hoặc ở cơ tùy thuộc vào vị trí các nang sán. Các nang sán ở hệ cơ xương hoặc dưới da nằm riêng rẻ không đòi hỏi điều trị đặc hiệu trừ khi bị đau, rồi chỉ cần rạch vết nhỏ đơn giản có thể lấy nang sán. Một loạt ca bệnh cho thấy rằng thuốc điều trị ký sinh trùng loại Albendazole (Albenza) hoặc Praziquantel (Biltricide), nói chung khi phối hợp với steroids, hiệu quả trong điều trị các thể bệnh liên quan đến cơ ở mắt. Tuy nhiên, các phẩu tích cũng là một lựa chọn và luôn luôn tư vấn của chuyên khoa mắt để bảo đảm cho điều trị.
Phẩu thuật loại bỏ các nang sán là một lựa chọn cân nhắc điều trịđối với các thể nang sán nội nhãn cầu, mặc dù bằng chứng chủ yếu đến từ các ca bệnh và một loạt ca bệnh minh họa tính ưu việt trong phẩu thuật hơn là dùng thuốc kháng ký sinh trùng. Người ta cũng đã đề nghị rằng thuốc điều trị giun sán nên tránh vì phản ứng viêm có thể dẫn đến và đe dọa đến thị lực. Điều trị các thể ATSL hệ thần kinh dưới nhện và trong não thất có phần phức tạp và rủi ro. Một thử nghiệm gần đây cho thấy rằng liều cao thuốc Albendazole (30 mg/ kg/ngày) tăng khả năng làm sạch nang sán trong vùng dưới nhện và trong não thất so với phác đồ liều thông thường (15 mg/kg.ngày).
Các nang sán nằm trong não thất nói chung phải loại bỏ, nhưng một số ca nhỏ mô tả việc sử dụng Albendazole + steroids là một liệu pháp thành công thay thế cho việc phẩu thuật. Nguy cơ viêm nhiễm gây ra bởi quá trình điều trị và sẽ góp phần vào tỷ lệ mắc bệnh, nên phải thăm khám và nhận tư vấn về thần kinh cùng các bệnh nhiễm trùng cẩn thận trước khi bắt đầu điều trị. Không quan tâm đến lựa chọn điều trị, một chỉ định shunt đặt nối não thất với khoang phúc mạc (ventriculoperitoneal shunt) nên đặt cho tất cả bệnh nhân có bằng chứng cho thấy não úng thủy do tắc nghẽn của nang sán.
Điều trị bệnh ấu trùng sán lợn thể thần kinh trong nhu mô não là có thể một viễn cảnh nghiên cứu lâm sàng tốt trong số các thể ATSL, nhưng điều trị này vẫn còn nhiều tranh luận vì tính đa dạng trong phổ bệnh, vì trong quá trình điều tra bệnh sử không phải lúc nào cũng bắt gặp các hiện tượng phân hủy, thoias hóa nang sán một cách tự phát và toàn bộ chất lượng của nghiên cứu điều trị rất nghèo nàn. Kết quả các nghiên cứu liên quan đến ATSL thể thần kinh trong nhu môvẫn còn tồn tại mâu thuẫn trái ngược nhau. Tuy nhiên, một nghiên cứu đánh giá sóng sót dạng meta-analysis từ các nghiên cứu có chất lượng cao nhất chỉ ra các cơn co giật giảm và việc giải quyết các thương tổn tăng với các tổn thương có hình ảnh “nonenhancing” và “enhancing” trong nhu mô não với liệu pháp thuốc điều trị nang sán.
Nếu dùng liệu pháp điều trị ký sinh trùng trong thể ATSL nhu mô thần kinh trung ương, liệu trình 7 ngày Albendazole dường như hiệu quả tương đương với liệu trình 14 hoặc 28 ngày và có khả năng hiệu quả hơn thuốc Praziquantel. Nhiễm với hơn một vài thương tổn có thể đòi hỏi liệu trình thuốc chống ký sinh trùng dài ngày hơn. Nhiễm trùng hàng loạt nói chung không điều trị bằng thuốc giun sán vì nguy cơ một đáp ứng viêm tràn ngậpdẫn đến hiệu ứng ngược từ hậu quả thuốc phát hủy hàng loạt nang sán. Cần thận trọng cần thiết chỉ định thuốc với các trường hợp nang sán đã can xi hóa (calcified cyst) vì chúng đã chết rồi.
Sử dụng thuốc Steroides, Manitol, thuốc chống co giật như thế nào?
Việc sử dụng thuốc steroids để điều trị phù não, thông thường dùng dạng dexamethasone hoặc prednisolone, đã chỉ ra liệu pháp này là thích hợp hơn trên những bệnh nhân có ATSL thần kinh có động kính. Steroids luôn nên sử dụng trước khi điều trị thuốc giun sán để “hạn chế” phản ứng quá mẫn và đáp ứng viêm quá mạnh - mà điều này có thể dẫn đến tăng cơn động kinh, co giật.
Mannitol (Osmitrol) cũng là một lựa chọn để làm giảm phù não như vai trò của thuốc hỡ trợ cho steroids.
Các thuốc chống chống cơn giật hoặc động kinh với liều chuẩn, thường dùng là phenytoin (Dilantin) và carbamazepine (Tegretol), cũng là khâu chìa khóa trong khống chế triệu chứng. Thời gian sử dụng chưa được xác định chính xác, nhưng các thuốc chống động kinh nên tiếp tục ít nhất 1 năm và rồi giảm liều thấp tùy thuộc hoặc cho liều tùy theo triệu chứng. Một số bệnh nhân đòi hỏi dùng dài ngày với thuốc chống động kinh.
Thân chúc bạn và gia đình khỏe!
4. huynh ngan- huynhngan1102@yahoo.com
Cho em hỏi: Em bị bệnh ngứa từ lúc nhỏ, người cứ lên mụn ngứa có mủ ở chân, tối em ngủ không được, cứ mỗi lần ăn tanh vào em lại càng ngứa thêm, em đã đi chữa bệnh ở rất nhiều nơi kể cả bệnh viện da liễu Tp HCM nhưng đều không hết, em nghe nói ở bệnh viện ký sinh trung QN có thể chữa hết bệnh, em muốn biết mình có khả năng chữa hết căn bệnh này không a?
Trả lời: cảm ơn bạn đã tín nhiệm và chuẩn bị đến khám và điều trị tại Viện sốt rét KST-CT Quy Nhơn, đặc biệt là tín nhiệm trang website của Viện sốt rét KST-CT Quy Nhơn để đặt vấn đề hỏi về bệnh của bạn. Liên quan đến câu hỏi của bạn, quả thật chúng tôi vô cùng khó trả lời một cách cụ thể với bạn được vì bạn chỉ mô tả chung chung các triệu chứng mà bạn đang có như thế thì chúng tôi- những người làm thực hành lâm sàng đã gặp các triệu chứng như thế trên nhiều bệnh ký nội khoa và truyền nhiễm, kể cả da liễu khác rất nhiều.
Nếu có thể mời bạn ra khám và điều trị tại Viện Sốt rét KST-CT Quy Nhơn để chúng tôi tư vấn và điều trị một cách rõ ràng hơn !
5. Nguyễn Thanh Phong- chanhhoquang@yahoo.com- Q.Bình Tân, Tp.HCM
Hỏi:Vợ tôi đi xét nghiệm giun lươn bằng chẩn đoán huyết thanh miễn dịch học thì được trả kết quả dương tính với hiệu giá kháng thể là 1/800. Đây không phải là đầu vợ tôi bị nhiễm giun lươn, nhưng tình trạng tự nhiễm vẫn tái phát.Bác sĩ cho tôi hỏi với tình hình hiện nay thì vợ tôi nên điều trị bằng thuốc gì? Liều lượng như thế nào? Chân thành cám ơn bác sĩ
Trả lời: Xin chào bạn Nguyễn Thanh Phong, rất thông cảm với lo lắng của bạn về tình hình nhiễm giun lươn của vợ bạn hiện nay. Tuy nhiên, chúng tôi vẫn trấn an bạn nên bình tĩnh vì chúng tôi thấy kết quả xét nghiệm huyết thanh chẩn đoán giun lươn là dương tính với hiệu giá 1/800 nghĩa là trong trường hợp này lại là âm tính chứ không phải dương tính bạn ạ.
Liên quan đến điều trị về bệnh giun lươn, chúng tôi xin đưa ra một số ý kiến liên quan đến điều trị bệnh như sau:
Ivermectin (Stromectol): đây là một thuốc gắn kết với kênh ion glutamate-gated chloride trên thần kinh cột sống và tế bào cơ. Tăng thấm vào màng tế bào gây tăng quá trình khử cực, dẫn đến liệt cơ và chết giun.
Hiệu quả điều trị giun lươn trưởng thành với tỷ lệ chữa khỏi là 97% khi dùng liệu trình chỉ 2 ngày. Nhiều ca bệnh cũng được báo cáo điều trị thành công bằng tiêm ivermectin dưới da, không đạt được đủ nồng độ thuốc trong huyế thanh sau khi dùng đường uống.
+Liều dùng người lớn: 200 mcg/kg/ngày đường uống trong 2 ngày.
+Liều dùng trẻ em như người lớn
Thuốc cần thận trọng trên phụ nữ mang thai với cấp độ C - Fetal risk theo các nghiên cứu trên động vật thực nghiệm nhưng chưa có chứng minh trên người, song có thể sử dụng nếu thấy lợi ích lớn hơn nguy cơ cho thai nhi. Điều trị trên các phụ nữ mang thai đang cho con bú chỉ khi nào trì hoãn lại việc điều trị.
Thiabendazole (Mintezol): dùng để điều trị nhiễm đa giun, trong đó có giun đũa chó và giun lươn. Cơ chế tác dụng là thuốc ức chế các enzyme mitochondrial fumarate reductase đặc hiệu trên giun sán. Liệu trìh điều trị có thể tăng lên 7-10 ngày nếu bệnh nhân có hội chứng tăng nhiễm (hyperinfection syndrome).
+Liều dùng người lớn: 50 mg/kg/ngày đường uống mỗi 12 giờ trong 2 ngày; không nen vượt quá 3g/ ngày.
+Liều dùng trẻ em: chỉ định liều như người lớn.
Hơn nữa, qua thư chúng tôi vẫn chưa hiểu câu hỏi của bạn có cụm từ “tình trạng tự nhiễm vẫn tái phát” nghĩa là thế nào? Vả lại chúng tôi cũng không nghe bạn đề cập đến các triệu chứng dấu hiệu mà hiện nay vợ bạn đang có trên cơ thể, nếu chỉ tình cờ đi xét nghiệm cho kết quả như thế mà hoàn toàn không có triệu chứng gì cả thì không nên điều trị; ngược lại, nếu có triệu chứng thì bạn nên cho chúng tôi biết chi tiết về các triệu chứng đang có và các thuốc đã và đang điều trị hiện nay và bệnh kèm (nếu có) và gởi bản photocopy về xét nghiệm của bạn qua địa chỉ của Viện Sốt rét KST-CT Quy Nhơn, địa chỉ 611B Nguyễn Thái Học, thành phố Quy Nhơn (người nhận là BS. Huỳnh Hồng Quang) để chúng tôi giúp bạn đưa ra kết luận và hướng dẫn điều trị một cách cặn kẽ và thấu đáo hơn ban nhé!
6. Viet- nguyenhoangviet992002@yahoo.com-
Hỏi:Em muốn học hệ trung cấp của trường, vầy cho em hỏi sau khi học hết trung cấp em có thể liên thông lên được không. Nếu không thì cơ hội việc làm như thế nào. Em xin cảm ơn!
Trả lời: Thân chào bạn, rất vui khi bạn đã có ý định vào học trung cấp của Viện và có thể sau đó là đồng nghiệp chuyên ngành sốt rét, ký sinh trùng và côn trùng với chúng tôi. Liên quan đến câu hỏi của bạn, chúng tôi xin phúc đáp rằng sau khi bạn tốt nghiệp trung cấp, ra trường làm việc một thời gian thì bạn có thể học tiếp lên đại học, rồi chương trình cao học và nghiên cứu sinh tiến sĩ đều có thể làm được bạn ạ.
Chúc bạn sức khỏe và vạn sự như ý!
7. Nguyen Thi Thuy Ngan- giolangthang07@yahoo.com.vn
Hỏi: Tôi có người em trai, năm nay 26 tuổi. Em của tôi có những triệu chứng bệnh như sau:Người gầy ốm chỉ còn thấy da bọc xương. Ăn rất nhiều, nhưng chỉ được 1 lát lại nôn ra. Cứ như thế lại ăn vào. Đã đi khám ở nhiều nơi, siêu âm, nội soi, xét nghiệm nhưng vẫn không tìm ra bệnh. Xin hỏi đó có phải là những triệu chứng của nhiễm sán hoặc sên không? Nếu có, cần làm thêm xét nghiệm gì và nơi chữa trị.
Trả lời: Với các dữ liệu bạn đã mô tả có thể liên kết lại thành chuỗi dữ liệu hợp lý: vì ăn không được bao nhiêu, ăn vào lại nôn ra thì làm sao mập lên được, nên chỉ còn da bọc xương. Em trai bạn đã được 26 tuổi và đã đi khám nhiều nơi nhưng vẫn chưa tìm ra nguyên nhân, chúng tôi vẫn chưa biết bạn đã đưa em trai đi khám và điều trị ở những đâu. Theo chúng tôi nghĩ với các tiến bộ của y học hiện nay cùng với đội ngũ y bác sĩ giàu kinh nghiệm tại các bệnh viện lớn có thể giúp bạn và em trai bạn hưởng được các dịch vụ kỹ thuật cao trong chẩn đoán và điều trị bệnh. Bạn có thể đưa hoặc giới thiệu em trai bạn đến các Trung tâm y tế lớn như thế xem chẩn bệnh như thế nào bạn nhé.
Buồn nôn (nausea) và nôn ói (vomiting) là các triệu chứng của một số bệnh lý nền hay bệnh lý sẵn có (underlying disease) và là không phải một bệnh đặc biệt. Buồn nôn là một cảm giác mà dạ dày muốn làm rỗng, trong khi nôn mửa (vomiting/ emesis/ throwing up) lại là một hành động thuyết phục làm rõng của dạ dày. Nôn mửa là một hành động bắt buộc mà trong đó dạ dày phải vượt qua áp lực bình thường mà vốn giữ thức ăn và chất tiết trong dạ dày. Liên quan đến vấn đề bệnh của em trai bạn, chúng tôi xin đưa một số nguyên nhân có thể gây nôn ói có liên quan đến đường tiêu hóa hoặc cơ quan khác liên đới. Có nhiều nguyên nhân gây ra cảm giác buồn nôn và nôi mửa do:
+Viêm dạ dày cấp (có thể do một tác nhân nào đó kích thích vào lớp miêm mạc dạ dày, chẳng hạn như: nhiễm trùng (virus, vi khuẩn, hay gặp loại noroviruses và rotavirus). Hoặc nhiễm ký sinh trùng gây tiêu chảy kèm theo nôn mửa, hoặc vi khuẩn họ Helicobacter (như H. Pylori); hoặc cúm dạ dày (Stomach flu) là một thuật ngữ không đặc hiệu dùng để mô tả nôn và tiêu chảy do nhiễm virus có kèm theo triêu chứng sốt, rét run, ho và đau cơ và rất dễ nhầm lẫn với cúm; hoặc do ngộ độc thực phẩm với các tác nhân Salmonella, Campylobacter, Shigella, E. coli, Listeria, Clostridium botulinum; kích thích ruột khác như rượu, thuốc chống viêm non steroides, aspirin, ibuprofen; hoặc do bệnh lý loét tiêu hóa hay bệnh lý trào ngược dạ dày thực quản (Gastroesophageal reflux disease_GERD), hoặc viêm thực quản trào ngược (reflux esophagitis) cũng gây nôn và buồn nôn.
+Nguyên nhân trung ương (các triệu chứng từ não);
+Có liên quan đến bệnh lý khác khác xa với dạ dày;
+Thuốc đang dùng và các liệu pháp điều trị;
+Tắc ruột cơ học và một số nguyên nhân khác.
Thân chúc bạn và em trai bạn khỏe!
8. Lê Đức Thúy Hiền, 19 tuổi, SV Đại học NUS, Singapore, Email: hienvietsingapore95@....
Hỏi: Xin kính chào các bác sĩ ở BV sốt rét và ký sinh trùng Quy nhơn, cháu là người gốc Quy Nhơn ở gần chợ khu 6, vừa qua cháu có thi đậu và nhận được 1 học bổng sang du học y khoa tại ĐH quốc gia Singapore (NUS), nhưng thời gian gần đây cháu hay bị đau đầu, ngứa và thường xuyên nổi mề đayliên tục, dường như ở toàn thân và nhiều nhất là các kẻ ngón tay chân và mạng sườn ngực bụng. Trước đây khi còn ở Việt Nam cháu được cha mẹ dẫn đi ăn nhiều loại hải sản khác nhau từ tỉnh này sang tỉnh khác, ăn sống có, chín có,…hôm qua cháu đi khám và xét nghiệm tại khoa y học nhiễm trùng của BV trường và các bác sĩ ở đây cho cháu biết cháu bị nhiễm một loại ký sinh trùng có tên là Gnathostoma spingerum, các bác sĩ có kê đơn thuốc và cấp thuốc về nhà uống. Cháu chứa uống thuốc mà lại lang thang trên mạng tìm thông tin về bênh này, tình cờ gặp trang website của quê hương mình, nên đọc rất nhiều thông tin về bệnh bằng tiếng Việt. Xin cảm ơn các bác và xin hỏi bệnh này điều trị như thế nào và thời gian bao lâu, có khỏi hẳn không vậy các bác. Xin được trả lời thư sớm vì cháu đang lo lắm các bác nhen.
Trả lời: Chúng tôi nhận được thư của bạn cách nay một tuần nhưng rất tiếc vì nhiều công việc nên chúng tôi phúc đáo hơi muộn, mong bạn thông cảm. Liên quan đến câu hỏi chúng tôi rất vui mừng khi được chia sẻ thông tin về bệnh do ký sinh trùng giun đầu gai này với một đồng nghiệp đang ở nước ngoài như bạn vì chúng tôi biết tại Singapore căn bệnh này cũng rất hiếm gặp. Những triệu chứng đang có trên cơ thể bạn đang lo lắng về sức khỏe, đặc biệt liên quan đến bệnh giun đầu gai. Tuy nhiên, rất tiếc hiện tại hình như chưa có thuốc điều trị giun đầu gai đặc hiệu. Do vậy, trước tiên để giải quyết những ca bệnh giun đầu gai (cũng là giun tròn), các nhà lâm sàng ký sinh trùng chỉ còn cách điều trị bằng thuốc thay thế là Albendazole.
Trên thế giới, đặc biệt tại các quốc gia có lưu hành bệnh giun đầu gai và ngay cả tại Việt Nam hiện nay, bệnh nhân hay bị nhiễm loại giun đầu gai Gnathostoma spinigerum, danh mục thuốc điều trị nhiễm giun đầu gai Gnathostoma spinigerum đề nghị cho thấy nhiều loại thuốc khác nhau nhưng hiệu quả thay đổi theo từng loại phác đồ và dường như chưa có một thuốc điều trị đặchiệu nào cả. Việc cần thiết nữa là dù có thay đổi kế hoạch điều trị cũng nên nhờ sự tư vấn của các chuyên gia điều trị. Các thuốc có thể sử dụng điều trị giun đầu gai có thể là Ivermectin hay Albendazole với các biệt dược đang có mặt trên thị trường Albenza, Bendapar, Digezanol, Endoplus, Eskazole, Gascop, Lurdex, Zentel,... Trong quá trình điều trị có thể chỉ định thêm một số thuốc chống viêm nhóm corticoides và kháng histamine. Việc điều trị còn tùy thuộc vào chẩn đoán ca bệnh có đúng không để đưa ra các biện pháp xử trí thích hợp. Điều trị ngoại khoa đặt ra chỉ khi nào xác định đúng ca bệnh và việc làm chính là lấy giun ra khỏi ổ tổn thương nếu có thể tiếp cận được. Việc điều trị luôn theo ý kiến và chỉ dẫn của thầy thuốc lâm sàng và không phải tình trạng bệnh nào cũng giống nhau.
Mặc dù việc phẩu thuật loại bỏ (nếu có thể) là lựa chọn điều trị tốt nhất cho bệnh lý giun đầu gai, Albendazole dường như đóng vai trò làm tăng thêm chữa trị và hỗ trợ cho điều trị phẩu thuật. Ivermectin dùng liều duy nhất có tính dung nạp thuốc tốt hơn Albendazole nhưng có thể ít hiệu quả. Mebendazole trước đây có sử dụng nhưng kết quả thông báo có khác nhau từng tác giả và độc tính đáng kể và từ đó không còn sử dụng nữa. Liệu pháp corticoides là điều trị bổ sung đóng vai trò quan trọng trong các bệnh lý giun đầu gai tại hệ thần kinh trung ương. Các thuốc lựa chọn điều trị khi phẩu thuật không thể tiến hành được, con đường sinh hóa ký sinh tùng khác với trên vật chủ người, do vậy độc tính sẽ tác động trực tiếp trên ký sinh tùng, trứng cũng như ấu trùng. Cơ chế tác động khác nhau giữa các loại thuốc và các cơ chế tác động đó bao gồm:
+Ức chế cấu trúc vi ống microtubule à gây ra block đảo ngược tiêu thụ glucose;
+Ức chế quá trình khử cực trùng hợp tubulin;
+Depolarizing neuromuscular blockade;
+Làm tắc nghẽn và khử cực thần kinh cơ của giun sán;
+Tăng tính thấm màng tế bào, dẫn đến mất ion calci nội bào;
+Sự không bào hóa các schistosome tegument;
+Tăng thấm màng tế bào với các ion chloride thông qua con đường thay đổi kênh chloride.
§Một số quan điểm cũng cho dùng thuốc Albendazole như lựa chọn đầu tay của bệnh giun đầu gai - đây là một thuốc nitroimidazole tổng hợp gắn với phân tử tubulin, ức chế các microtubule cùng lúc, giảm hấp thu glucose và ức chế enzyme fumarate reductase trong ký sinh trùng. Thuốc hòa tan kém trong nước, hấp thu tốt khi uống sau bữa ăn nhiều chất béo. Nồng độ thuốc trong dịch não tủy đạt 40% so với trong huyết thanh.
+Liều dùng người lớn: 400 mg đường uống x 2 lần/ ngày x 21 ngày;
+Liều cho trẻ em: chưa có cụ thể, nhưng liều 15mg/kg/ngày đường uống chia 2 lần mỗi ngày x 21 ngày là thích hợp, không nên dùng quá liều 800mg/ ngày.
+Nếu kê đơn đồng thời với carbamazepine có thể dẫn đến giảm hiệu lực; thuốc dexamethasone, cimetidine, praziquantel có thể gây tăng độc tính. Cần thận trọng vì óc thể gây rụng tóc, ức chế tủy xương, tổn thương tế bào gan có thể xảy ra sau khi dùng liều trình liều cao kéo dài này.
§Thuốc Thiabendazole (Mintezol) là một thuốc nhóm benzimidazole tổng hợp và chỉ nên sử dụng khi Albendazole không có sẵn vì độc tính cũng như hiệu quả của thuốc, cơ chế tác động của nó như với albendazole.
+Liều dùng ngưới lớn là 50 mg/kg/ ngày đường uống chia 2 cách nhau 12 giờ x 5 ngày; không dùng vượt quá liều 3g/ ngày.
+Liều cho trẻ em: dùng như liều người lớn, một số tác giả cho biết chưa cụ thể;
+Cần lưu ý là đối với các trẻ em có thể gây buồn nôn, nôn và chóng mặt có thể xảy ra đến 50% số trường hợp, có trường hợp xuát hiện ban đỏ, quá mẩn, hồng ban đa dạng, giảm bạch cầu, ảo giác và thận trọng trường hợp bênh nhân suy gan, thận.
§Ivermectin (Mectizan, Stromectol)
Thuốc gắn kết có chọn lọc trên kênh ion glutamate-gated chloride trong các dây thần kinh không đốt sống và tế bào cơ, gây nên chết tế bào. Thời gian bán hủy của thuốc này là 16 giờ, thuốc chuyển hóa tại gan. Nhiều phản ứng tương tác cũng đã xảy ra với các kênh ligand-gated chloride như GABA.
+Liều dùng trên người lớn: 150-200 mcg/kg/ngày dùng đường uống, liều duy nhất;
+Liều trẻ em: nếu trẻ < 5 tuổi thì chưa có cụ thể, nếu > 5 tuổi cho dùng liều như người lớn;
+Phụ nữ mang thai có thận trọng ở mức C - Fetal risk (xem phàn trên);
+Thận trọng: điều trị cho phụ nữ đang cho con bú chỉ khi nguy cơ nếu chậm điều trị rất lớn và ảnh hưởng lên trẻ do thuốc ivermectin tiết vào trong sữa mẹ. Do vậy, cần cân nhắc lợi ích và nguy cơ khi điều trị. Liều lặp lại có thể cần thiết trên những bệnh nhân suy giảm miễn dịch;
+Thuốc có thể gây tác dụng phụ như gây buồn nôn, nôn và ức chế thần kinh trung ương nhẹ, có thể gây buồn ngủ.
§Corticosteroids: có thể chỉ định để làm giảm tình trạng viêm nhiễm liên quan đến hệ thần kinh trung ương do bệnh giun đầu gai.
+Dexamethasone (Decadron, Dexone): làm giảm phản ứng viêm do ức chế quá trình di chuyển của các tế bào bạch cầu đa nhân trung tính và giảm tính thấm mao mạch;
+Liều người lớn, liều tải là 10 mg tiêm tính mạch, liều duy trì 4 mg tiêm tĩnh mạch mỗi 6 giờ ; không vượt quá liều 16 mg/ngày;
+Liều trẻ em, liều tải 1-2 mg/kg tiêm tĩnh mạch, liều duy trì1-1.5 mg/kg/ngày chia mỗi 406 giờ, tiêm tĩnh mạch và không vượt quá 16mg/ngày.
Hy vọng với các thông tin về điều trị ở trên của chúng tôi cũng đã khá chi tiết để giúp bạn điều trị bệnh tốt hơn và không bị tái phát. Thân chúc bạn khỏe và sớm trở thành một đồng nghiệp của chúng tôi trong tương lai!
9. Nguyễn Sinh A. Quỳnh lưu, Nghệ An, SĐT: 09120019….
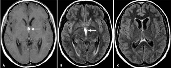
Hỏi:Xin hỏi các giáo sư, tiến sĩ và bác sĩ của Viện Sốt rét KST-CT Quy Nhơn cho chúng tôi biết chị gái tôi đã bị nhức đầu nhiều năm liền và mờ mắt nhiều năm nay, ăn uống kém và thường hay buồn nôn, nôn mửa và đau bụng, thỉnh thoảng có nổi ngứa vùng bụng và vai, nổi mảng gồ lên và ngứa dữ dội. Chị đã đi khám nhiều bệnh viện, kể cả bệnh viện Trung ương cũng không chữa khỏi. Hôm rồi, nhân chuyến công tác đi ra Hà Nội, tôi có đưa chị đi khám ở BV Bệnh nhiệt đới và BV Hữu Nghị cuối cùng chẩn đoán là bệnh ký sinh trùng ở não, nhưng tôi không biết là bị bệnh gì. Xin các bác cho tôi hỏi về bệnh lý ký sinh trùng ở não có nhiều không và thường là các bệnh gì. Xin cảm ơn các bác rất nhiều!
Trả lời: Liên quan đến câu hỏi của bạn, chúng tôi xin phúc đáp rằng hiện có rất nhiều bệnh ký sinh trùng ký sinh và gây bệnh ở người, một trong những cơ quan mà bị các tác nhân gây bệnh này ký sinh chính là hệ thần kinh trung ương (CNS), bên cạnh đó chúng có thể ký sinh và gây bệnh ở gan, thận, tim, da, niêm mạc, mắt, tai mũi họng, sinh dục, tiết niệu,…Khi bị nhiễm và gây bệnh ở hệ thần kinh trung ương, các ký sinh trùng có thể khiến sinh ra các triệu chứng như chị bạn đang có: chẳng hạn như mờ mắt, mù mắt, nhìn mờ, nhìn đôi, nhức đầu không điển hình, ù tài, nôn, buồn nôn, nôn mửa, đau cơ, động kinh, co giật,…Nhân câu hỏi của bạn, chúng tôi xin trình bày có bạn một số ca bệnh tương đối điển hình cùng với một số tác nhân gây bệnh từ ký sinh trùng đã được nhóm bác sĩ chuyên điều trị về bệnh giun sán ở hệ thần kinh trung ương tại Trung tâm Medic thành phố Hồ Chí Minh đã phát hiện, chẩn đoán và điều trị nhiều năm qua:
11 TRƯỜNG HỢP ĐỘNG KINH
BỆNH NHÂN/ NGÀY KHÁM | LÂM SÀNG | HÌNH ẢNH HỌC | TEST ELISA | ĐIỀU TRỊ | KẾT QUẢ/ THEO DÕI |
1. Lê Kim E. ♀,42t, Giáo viên 17/10/2005 | Cơn vắng ý thức/ bệnh cảnh viêm não Từ 6 tháng | MRI : không tổn thương | GNATHOSTOMA TOXOCARA | ALBENDAZOLE (1 đợt) Không chống ĐK | RẤT TỐT 3 tháng |
2. Trần Thị Kim Ch. ♀,9t, học sinh 05/06/2005 | Cơn vắng ý thức/ suy kiệt cơ thể Từ 3 năm EEG: ĐK toàn thể | MRI : VXS trước | TOXOCARA STRONGYLOIDE ANGIOS 2 lần ; éosin 13,5% | ALBENDAZOLE (3 đợt) + kháng sinh + không chống ĐK | RẤT TỐT 4 tháng |
3. Phạm Văn D. ♂, 16t, học sinh 02/10/2004 | Cơn lớn Từ 1 năm | CT : VXH, S nhẹ | TOXOCARA STRONGYLOIDE 2 lần ; éosino 10,5% | ALBENDAZOLE (4 đợt) + Kháng sinh + Phénytoine liều thấp | RẤT TỐT 6 tháng |
4. Trần Ngọc T. ♂,35t, 03/02/2005 | Cơn lớn Từ 20 năm + VMTG mãn, đã mổ | MRI : VTXC | TOXOCARA STRONGYLOIDE 3 lần | ALBENDAZOLE (3 đợt) + Kháng sinh + Valproate liều thấp | RẤT TỐT 9 tháng (kể cả VMTG) |
5. Phạm Hồng D. ♀,20t, thợ may 24/12/2004 | Cơn lớn Từ 2 năm EEG : ĐK toàn thể 1 răng sâu nặng | MRI : không tổn thương | TOXOCARA 2 lần | ALBENDAZOLE (4 đợt) + Kháng sinh + Phénytoine + Valproate liều thấp | RẤT TỐT 5 tháng |
6. Nguyễn Văn Th. ♂,33t, làm ruộng 28/08/2004 | Cơn lớn Từ 2 tháng | CT : Tổn thương thùy trán (T), d=6cm, bắt cản quang, phù xung quanh. Lần 2: tổn thương nhỏ lại | TOXOCARA GNATHOSTOMA | ALBENDAZOLE (1 đợt ½) + Phénytoine liều thấp và ngắn hạn + Corticoide liều thấp, ngắn hạn | RẤT TỐT 14 tháng |
7. Trịnh Xuân B. ♂, 17t, học sinh 18/11/2004 | Co giật toàn thể (cơn mau, nhẹ) Từ 3 năm | MRI : không tổn thương | TOXOCARA GNATHOSTOMA (2 lần) | ALBENDAZOLE (3 đợt) Valproate liều thấp | RẤT TỐT 5 tháng |
8. Tăng Long H. ♂, 21t, học sinh 05/04/2005 | Cơn lớn Từ 9 năm | MRI : VXS nhẹ | TOXOCARA (3 lần) | ALBENDAZOLE (4 đợt) + Kháng sinh + Valproate liều trung bình | TỐT 6 tháng |
9. Lâm Thị Đ. ♀,40t, Làm ruộng 31/03/2004 | Cơn lớn Từ 1 tháng | CT: T.T bắt cq nhỏ thùy trán (T) | GNATHOSTOMA | ALBENDAZOLE (1 đợt ½) Phénytoine liều thấp | RẤT TỐT 7 tháng |
10. La Minh Q. ♂,7t, Học sinh 10/01/2005 | Cơn thùy thái dương Từ 10 ngày | Không chụp | TOXOCARA STRONGYLOIDE (2 lần) | ALBENDAZOLE (4 đợt) Valproate + gardenal liều thấp | TỐT 9 tháng |
11. Trần Kim Ph, ♂,16t, học sinh 24/07/2005 | Cơn lớn / sau bệnh cảnh viêm não Từ 12 năm | MRI : teo thùy đảo & thùy trán + TT thoái hóa rải rác 2 bán cầu | TOXOCARA GNATHOSTOMA ANGIOS | ALBENDAZOLE (2 đợt ½) Valproate + Phénytoine liều thấp | KHÁ TỐT 4 tháng |
5 TRƯỜNG HỢP VIÊM NÃO - TỦY
BỆNH NHÂN/ NGÀY KHÁM | LÂM SÀNG | HÌNH ẢNH HỌC | TEST ELISA | ĐIỀU TRỊ | KẾT QUẢ/ THEO DÕI |
1. Thái B. ♂,83t, 08/2003 | Yếu liệt 4 chi + hầu họng / viêm PQ mãn Từ 1 năm | MRI : TT điểm rải rác 2 bán cầu + cầu não | PARAGONIMUS | PRAZIQUANTEL (2 đợt) Không corticoid | RẤT TỐT 2 năm (cho cả VPQ) |
2. Nguyễn Hoàng O.♀,47t, buôn bán 21/05/2004 | Liệt VII NB (P) + Tê ½ người (T) Từ 3 tuần | MRI : TT viêm cầu não P | TOXOCARA ANGIOS | ALBENDAZOLE (2 đợt) + corticoid 1 tuần | RẤT TỐT 1 năm |
3.Trần Thị Châu L. ♀,19t, học sinh 15/06/2005 | Co giật toàn thể + mất ngôn ngữ Từ 2 tuần | CT : không TT | TOXOCARA STRONGYLOIDE | ALBENDAZOLE (3 đợt) + Valproate liều thấp + Không corticoid | TỐT 5 tháng |
4. Phan Văn T. ♂, 40t, làm ruộng 18/01/2005 | Yếu 4 chi + H/c ngoại tháp Từ 2 năm | MRI : TT viêm tủy ngực + TT điểm rải rác 2 bán cầu não + thân não | TOXOCARA STRONGYLOIDE (2 lần) | ALBENDAZOLE (4 đợt) Corticoid đợt ngắn | TỐT 7 tháng |
5. Ưng Minh Ph. ♂, 21t, học sinh 05/01/2005 | Kích thích, lú lẫn nặng + tiểu dầm + mất ngủ Từ 3 tháng | CT : không T.T | TOXOCARA (3 lần) | ALBENDAZOLE (4 đợt) Corticoide đợt ngắn | RẤT TỐT 7 tháng |
7 TRƯỜNG HỢP NHỨC ĐẦU
BỆNH NHÂN/ NGÀY KHÁM | LÂM SÀNG | HÌNH ẢNH HỌC | TEST ELISA | ĐIỀU TRỊ | KẾT QUẢ/ THEO DÕI |
1. Lê Thị Ph.♀,43t, Làm ruộng 22/04/2005 | Migrain, cơn dày, RLTKTV/nhiều răng sâu Từ 4 năm | CT : không T.T | TOXACARA (2 lần) | ALBENDAZOLE (4 đợt) + kháng sinh | RẤT TỐT 8 tháng |
2. Nguyễn Thị Thu H. ♀,52t, buôn bán 14/02/2005 | Migrain, cơn dày nặng + RLTKTV > 10 năm | CT : VXH nhẹ | TOXOCARA GNATHOSTOMA STRONGYLOIDE (2 lần) éosino 17,5% | ALBENDAZOLE (3 đợt) + kháng sinh | RẤT TỐT 7 tháng |
3. Nguyễn Thị S. ♀, 58t, làm ruộng 03/06/2005 | Migrain, cơn dày / hen PQ + 1 răng sâu Từ 2 năm | CT : VXH nhẹ | TOXOCARA | ALBENDAZOLE (2 đợt) + kháng sinh | RẤT TỐT (cho cả hen PQ) 5 tháng |
4. Nguyễn Thị T. ♀, 47t, nội trợ 22/07/2005 | Migrain, cơn dày / VL dạ dày Từ 5 năm | CT : không T.T | GNATHOSTOMA | ALBENDAZOLE (2 đợt) | RẤT TỐT (cho cả VLDD) 5 tháng |
5. Võ Thị Thu M. ♀, 53t, làm ruộng 18/06/2005 | Migrain, cơn dày / lồi mắt (P) + nhiều răng sâu Từ 2 tháng | MRI : TT điểm rải rác 2 thùy trán, tăng tín hiệu trên T2 + Flair | STRONGYLOIDE TOXOCARA GNATHOSTOMA | ALBENDAZOLE (2 đợt) + kháng sinh | RẤT TỐT 6 tháng |
6. Lê Thị Thanh Nh. ♀,21t, nội trợ 05/03/2005 | Migrain, cơn dày, RL trí nhớ/ tiêu chảy kéo dài + Acné Từ 6 năm | CT : không TT | STRONGYLOIDE (2 lần) | ALBENDAZOLE (3 đợt) + kháng sinh | RẤT TỐT (cho cả RL trí nhớ + tiêu chảy) 8 tháng |
7. Nguyễn Văn H. ♂, 45t, Quản lý ngân hàng 27/07/2005 | Migrain, cơn dày / RLTKTV / viêm đại tràng mãn Từ 3 năm | MRI : không TT | TOXOCARA ANGIOS | ALBENDAZOLE (1 đợt 1/2) | RẤT TỐT (cho cả VĐT mãn) 5 tháng |
2 TRƯỜNG HỢP HỘI CHỨNG PARKINSON
BỆNH NHÂN/ NGÀY KHÁM | LÂM SÀNG | HÌNH ẢNH HỌC | TEST ELISA | ĐIỀU TRỊ | KẾT QUẢ/ THEO DÕI |
1. Hoàng Thị V. ♀,73t, Nội trợ Tháng 10/2004 | H/c Parkinson chi trên P > 1 năm / CHA nhẹ | MRI : Không tổn thương | TOXOCARA ANGIOS | ALBENDAZOLE (2 đợt) không chống Parkinson | RẤT TỐT 11 tháng |
2. Dương Kim D. ♀, 38t, cầm đồ 09/06/2004 | H/c Parkinson toàn thân Từ 4 tuần | MRI : TT tăng tín hiệu liềm đen 2 bên | TOXOCARA | ALBENDAZOLE (2 đợt) + corticoide 2 tuần + Chống parkinson 3 tháng đầu | RẤT TỐT 15 tháng |
1 TRƯỜNG HỢP RỐI LOẠN THẦN KINH THỰC VẬT |
Trần Văn C. ♂,42t, Quân nhân 04/02/2005 | Những cơn nóng từ bụng lan lên mặt + 4 chi lạnh + mồ hôi + chóng mặt + mất ngủ Từ 1 năm | MRI : không TT | TOXOCARA GNATHOSTOMA | ALBENDAZOLE (3 đợt) | TỐT 7 tháng |
1 TRƯỜNG HỢP NHƯỢC CƠ |
Huỳnh Thị Ngọc L. ♀, 27t, nội trợ Tháng 08/2004 | 1/2001 = cắt tuyến hung. 4 năm sau : 5 lần nhập viện cấp cứu vì suy hô hấp nặng và yếu toàn thân + liên tục đ. trị Mestinon liều cao + nhiều đợt corticoide | EMG : xác định nhược cơ | AMIB TOXOCARA GNATHOSTOMA ANGIOS | SECNIDAZOLE + ALBENDAZOLE (2 đợt) - không Corticoid - Mestinon giảm dần đến liều rất thấp | RẤT TỐT 13 tháng |
| | | | | | | |
Như trên bạn đã thấy, hình ảnh lâm sàng và tác nhân gây bệnh ký sinh trùng đối với hệ thần kinh không phải là hiếm gặp đúng không bạn!
10. Lưu Đinh C. khu phố 3, Thp. Tuy Hòa, tỉnh Phú Yên
Hỏi: xin kính chào các anh chị ở Viện Sốt rét, côn trùng Quy Nhơn, cho tôi hỏi nếu một người đang bị bệnh, mà có cho dùng thuốc sau đó có biểu hiện sưng mặt, môi và sốt nhẹ, ngứa, …có thể là dị ứng thuốc nhưng cũng có thể do các triệu chứng của bệnh gây ra chứ. Nếu vậy, tôi làm thế nào để phân biệt đó có phải là do dị ứng thuốc tôi cho bệnh nhân dùng hay không? Xin các bác chỉ giúp. Tôi cảm ơn rất nhiều!
Trả lời: Phải nói rằng câu hỏi của bạn rất thú vị và nhiều nhà điều trị cũng hay gặp phải tình huống như thế dã đề cập với chúng tôi. Câu hỏi này tương tự như làm thế nào để phân biệt dị ứng thuốc thật - dị ứng thuốc giả. Để làm rõ câu hỏi của bạn, xin mời bạn xem bài viết của một tác giả đã viết về nội dung như thế. Bài viết toàn văn dưới đây của PGS.TS. Nguyễn Văn Đoàn đăng tải trên báo Sức khoẻ và Đời sốngphần nào đã giải đáp thắc mắc các câu hỏi của bạn.
Dị ứng thuốc thật có biểu hiện bằng một số triệu chứng và hội chứng lâm sàng đặc trưng: sốc phản vệ, mày đay...Dị ứng thuốc là phản ứng quá mức, bất thường, có hại cho cơ thể người bệnh khi dùng hoặc tiếp xúc với thuốc. Dị ứng thuốc chiếm gần một phần tư các tai biến thuốc trong môi trường bệnh viện, nó phụ thuộc vào liều lượng thuốc. Các phản ứng dị ứng thuốc thật thường ngứa hoặc có biểu hiện ngoài da. Có nhiều phản ứng không phải do dị ứng thuốc, cần phân biệt và đề phòng.
Dị ứng thuốc là phản ứng quá mức, bất thường, có hại cho người bệnh khi dùng hoặc tiếp xúc với thuốc (có sự kết hợp dị nguyên với kháng thể hoặc với lympho bào mẫn cảm), do đã có giai đoạn mẫn cảm và gây ra những phản ứng tại chỗ hoặc toàn thân. Dị ứng thuốc không phụ thuộc vào liều lượng thuốc, có tính mẫn cảm chéo, với một số triệu chứng và hội chứng lâm sàng đặc trưng, thường có biểu hiện ngoài da và rất ngứa. Nếu dùng lại thuốc này hoặc họ hàng với nó thì phản ứng sẽ xảy ra nặng hơn và có thể tử vong.
Dị ứng thuốc thật (dị ứng thuốc đích thực hoặc dị ứng thật do thuốc) thường không khởi phát trong lần đầu tiên tiếp xúc với thuốc. Đó là phản ứng quá mức, bất thường, có hại cho cơ thể người bệnh khi dùng hoặc tiếp xúc với thuốc những lần sau do đã có giai đoạn mẫn cảm (khoảng thời gian từ khi bệnh nhân dùng hoặc tiếp xúc với một thuốc nào đó lần đầu đến khi khởi phát triệu chứng dị ứng thuốc đầu tiên ở người bệnh, khoảng thời gian này kéo dài từ 7-21 ngày, tức là có quá trình hình thành kháng thể đặc hiệu), do đó có sự kết hợp dị nguyên-kháng thể (hoặc với lympho bào mẫn cảm).
Dị ứng thuốc chiếm gần một phần tư các tai biến thuốc trong môi trường bệnh viện, nó phụ thuộc vào liều lượng thuốc. Dị ứng thuốc có tính mẫn cảm chéo, tức là người bệnh khi bị dị ứng với một loại thuốc sẽ tự động dị ứng với các loại thuốc khác là dẫn xuất của nó, hoặc có cấu trúc hóa học tương tự hoặc có sản phẩm chuyển hóa gần tương đương. Ví dụ: bệnh nhân có phản ứng dị ứng với thuốc penicillin thì họ không thể hoặc phải rất thận trọng khi dùng các loại thuốc khác trong họ beta-lactam.
Bệnh nhân bị dị ứng thật với một thuốc chống co giật nào đó thì họ cũng không thể hoặc phải rất thận trọng khi dùng các loại thuốc khác cùng nhóm chống co giật… vì nó có thể gây những phản ứng rất tai hại. Dị ứng thuốc thật có biểu hiện bằng một số triệu chứng và hội chứng lâm sàng đặc trưng: sốc phản vệ, mày đay, phù Quincke, viêm da tiếp xúc… Các phản ứng dị ứng thuốc thật thường ngứa hoặc có biểu hiện ngoài da do hậu quả của phản ứng kết hợp dị nguyên - kháng thể hoặc với lympho bào mẫn cảm, dẫn đến giải phóng các hóa chất trung gian: histamin, serotonin, bradykinin…
Những chất này ngoài tác dụng gây ra các triệu chứng dị ứng khác, nó còn kích thích các đầu mút dây thần kinh cảm giác và gây ngứa. Cuối cùng nếu bệnh nhân dị ứng thật với một thuốc thì bạn hầu như sẽ không được dùng lại thuốc đó, vì phản ứng dị ứng những lần sau sẽ nặng hơn và trầm trọng hơn những lần trước, có thể dẫn đến tử vong.
Dị ứng thuốc giả (dị ứng giả do thuốc) là tình trạng bất thường của cơ thể người bệnh sau khi dùng thuốc, có biểu hiện lâm sàng giống như dị ứng thuốc. Tuy nhiên những phản ứng này không có giai đoạn mẫn cảm. Loại phản ứng này không có tính mẫn cảm chéo. Nếu ai đó bị tai biến không phải dị ứng thật với thuốc nào đó thì họ vẫn có thể dùng lại nó mà không sợ phản ứng có hại nặng hơn. Hai loại phản ứng có hại do thuốc hay nhầm với dị ứng thuốc là tác dụng phụ của thuốc và tình trạng không dung nạp do thuốc. Sự khác biệt giữa dị ứng thật do thuốc và dị ứng giả do thuốc không chỉ thể hiện qua lý thuyết mà còn thể hiện rõ trên lâm sàng. Ví dụ, bệnh nhân không dùng với penicillin làm cho họ đau đớn do dạ dày co thắt. Nhưng nếu buộc phải dùng penicillin để chữa một bệnh nhiễm trùng nào đó thì bệnh nhân vẫn an toàn khi không có loại thuốc nào để thay thế, mặc dù bệnh nhân vẫn phải chịu đựng những cơn đau quặn dạ dày do penicillin gây ra. Ngược lại nếu bệnh nhân trong tiền sử bị co thắt đường thở, tính mạng bị đe dọa do dị ứng với penicillin thì chắc chắn họ sẽ không thể và không dám dùng thuốc này vì tử vong có thể xảy ra lập tức.
Tuy nhiên, đôi khi bạn phải phân biệt giữa phản ứng có hại do thuốc (ADRs_Adverse reactions) với các phản ứng dị ứng của thuốc (drug allergy). Hy vọng với phần phúc đáp trên, bạn đã rõ về phát hiện dị ứng thuốc khi điều trị coh bệnh nhân. Thân chúc đồng nghiệp khỏe!
11. Vũ Tuấn A., nhân viên y tế chuyên ngành xét nghiệm đa khoa, BV Lanscaster,.
Hỏi:Thưa các đồng nghiệp, gần đây trên báo chí sức khỏe đề cập nhiều đến Cystatin C nhưng tôi vẫn chưa thấy lợi ích của nó có cải thiện gì trong khả năng chẩn đoán và điều trị bệnh cho bệnh nhân vì trước đây tôi học trung cấp xét nghiệm không thấy dạy về cái này, và từ khi đi làm đến giờ vẫn không biết món này tuốt. Tôi muốn hỏi vai trò của Cystatin C trong xét nghiệm cận lâm sàng và điều trị bệnh hiện nay? Cảm ơn các bác sĩ của Viện!
Trả lời: Trước hết xin chân thành cảm ơn đồng nghiệp đã đặt câu gỏi liên quan đến một thông số xét nghiệm để đánh giá chức năng thận niệu, có thể thay thế hoặc bổ sung cho các xét nghiệm kinh điển hiện nay. Các thông số từ lâu đưa ra đánh giá chức năng thận trong lâm sàng là độ thanh thải creatinin, uớc tính theo Cockcroft và Gault và ước tính theo MDRD (Modification of Diet in Renal Disease) và một số bác sĩ chỉ định thêm xét nghiệm nước tiểu 10 thông số để đánh giá về hồng cầu, bạch cầu, keton, nitrit niệu,…Các xét nghiệm định lượng nồng độ ure, creatinin trong huyết thanh, huyết tương hoặc nước tiểu,.. Với những thông số trên cách đánh giá đôi khi có những sai biệt nhất định so với mức lọc thực của cầu thận. Độ thanh thải Inulin được xem là chính xác vì ítphụ thuộc vào khối cơ, khối mỡ thừa và những yếu tố khác. Gần đây, một số công trình nghiên cứu trên thế giới đã chứng minh thông số Cystatin C có thể đánh giá mức lọc cầu thận cho kết quả chính xác hơn những thông số đã dùng trước đây.
Dưới đây là các dẫn liệu mà các nàh nghiên cứu được các tác trong nước ghi nhận lại: Cystatin C là một proten có trọng lượng phân tử 13 kDa, được sản xuất từ hầu hết các tế bào có nhân trong cơ thể. Do trọng lượng phân tử nhỏ nên cystatin C có thể dễ dàng chui qua màng lọc cầu thận và bị giáng hoá tại thận cụ thể là ở các tế bào ống lượn gần của thận. Người ta thấy cystatin C có trong máu, dịch não tủy, sữa và một lượng rất ít trong nước tiểu.
- Chức năng của cystatin C: là điều hoà hoạt động của cystein protease, cụ thể là ức chế enzym này trong một số quá trình sinh học trong cơ thể. Ở người khoẻ mạnh với chức năng thận hoạt động tốt, cystatin C được lọc qua màng cầu thận và thận sẽ giữ lại cystatin C, glucose và một số chất khác trong quá trình lọc. Đồng thời đào thải một số chất khác như ure, creatinin và một số chất hoà tan khác ra khỏi thận qua đường niệu quản xuống bàng quang và được bài tiết ra khỏi cơ thể đó là nước tiểu. Do cystatin C luôn được sản xuất tại các tế bào trong cơ thể và được chuyển hoá tại thận (cystatin C không trở lại máu nữa) một cách đều đặn và như vậy nồng độ của cystatin C cũng luôn được giữ ở mức ổn định khi chức năng thận vẫn còn tốt và hoạt động đều đặn. Trong trường hợp chức năng thận bị tổn thương, mức lọc cầu thận suy giảm, những chất cần đào thải tăng lên trong máu trong đó phải kể đến như cystatin C .
- Trị số bình thường của cystatin C: Nồng độ trong huyết tương và huyết thanh cũng tương tự là0,8- 2,5 mg/l.Trong dịch não tuỷ là 4-14 mg/l và trong nước tiểu với nồng độ rất nhỏ khoảng 0,03- 0,3 mg/l (trị số này có thể khác nhau do phân tích bằng các phương pháp khác nhau)
Từ các kết quả nghiên cứu trên lâm sàng phối hợp với các phòng xét nghiệm đã cho thấy: cystatin C là một protein trong huyết thanh mà có giá trị như một chỉ điểm sinh học trong thăm dò chức năng thận, đặc biệt mức lọc cầu thận (Glomerular Filtration Rate - GFR). Tiện ích cho lâm sàng của cystatin C đến nay đã được xác nhận
- Những ích lợi của cystatin C- một chỉ tố sinh học mới
+ Với các bệnh tại thận:
+Do trọng lượng phân tử thấp nên cystatin C dễ dàng lọt qua màng lọc cầu thận, nồng độ cystatin C trong máu có liên quan với mức lọc cầu thận. Khác với creatinin trong máu, nồng độ cystatin C trong máu không phụ thuộc vào tuổi, giới, cân nặng, chiều cao và khối cơ của người bệnh.
+Trong một số trường hợp, trị số creatinin huyết thanh sẽ không phản ánh sự tương thích với tình trạng người bệnh trên lâm sàng (mặc dù không có sai sót trong kỹ thuật phân tích hoá sinh), ví dụ với một bệnh nhân mắc bệnh thận có kèm mắc bệnh xơ gan, bệnh béo phì, người dinh dưỡng kém hoặc người có khối cơ bị giảm nhiều,... Trong những trường hợp này, cystatin C đặc biệt hữu ích giúp cho việc phát hiện sớm bệnh thận trong khi các thông số cũ như ure, creatinin, thanh thải creatinin có thể hầu như bình thường.
+Trong các trường hợp các bác sĩ nghi ngờ chức năng thận của người bệnh bị suy giảm nhưng các kết quả thăm dò cũ như creatinin và mức lọc cầu thận cho thấy bình thường.
+Sàng lọc bệnh thận tiềm ẩn ở những bệnh nhân trứơc khi chụp mạch thận hoặc mạch máu có bơm thuốc cản quang
+Hỗ trợ rất tốt cùng với các thông số khác như creatinin, độ thanh thải creatinin, mức lọc cầu thận trong sàng lọc và theo dõi tổn thương chức năng thận ở những bệnh nhân có nghi ngờ tổn thương thận, người suy thận cấp và mạn.
+ Các bệnh ngoài thận:
+Giúp ích trong đánh gía và theo dõi các bệnh nhân có nguy cơ gia tăng các bệnh về tim mạch (rối loạn chuyển hoá lipid, béo phì, đái tháo đường,..) đột qụy và theo dõi chức năng thận ở người cao tuổi.
+Với nhóm người có tích tụ các yếu tố nguy cơ cao về tim mạch đồng thời có trị số cystatin C cao sẽ có tỷ lệ mắc suy tim, đột qụy và thậm chí tử vong cao hơn hẳn so với các nhóm khác có cùng nguy cơ nhưng có trị số cystatin C ở mức trung bình hoặc thấp.
- Những yếu tố có thể ảnh hưởng đến nồng độ cystatin C:
Có một số phương pháp cũng như nguyên lý đo nồng độ cystatin C, nhưng một số nghiên cứu gần đây thường dựa theo nguyên lý đo độ đục miễn dịch. Cũng như trên đã đề cập, trị số tham chiếu của cystatin C có thể khác nhau do những phương pháp phân tích khác nhau. Tốt nhất mỗi phòng xét nghiệm hoá sinh nên nghiên cứu để xây dựng cho mình một trị số tham chiếu cho thông số này để các bác sỹ lâm sàng có thể nhận định kết quả được thuận lợi hơn. Khi nhận định kết quả phải chú ý đến một số yếu tố có thể ảnh hưởng đến trị số cystatin C.
Cystatin C có xu hướng tăng trong: bệnh viêm gan tiến triển, tràn dịch màng phổi, một số bệnh khớp, một số bệnh ung thư (nhưng nồng độ cystatin C không tỷ lệ với số lượng và kích thước khối u), chứng tăng homocystein máu ở những bệnh nhân ghép thận, dùng corticoide liều cao dài ngày,.. Nồng độ cystatin C có thể giảm khi bệnh nhân đang dùng thuốc cyclosporine. Nói tóm lại, một trong những ý nghĩa lâm sàng có giá trị là nồng độ cystatin C trong máu có khả năng phản ánh mức lọc cầu thận mà không cần phải trải qua bước tính toán như thông số mức lọc cầu thận. Cystatin C có thể giúp sàng lọc bệnh thận rộng hơn và sớm hơn trước cả khi trị số creatinin tăng. Có khả năng cảnh báo những nhóm có nguy cơ cao về bệnh tim mạch, đột qụy và suy giảm chức năng thận ở bệnh nhân là người cao tuổi.
Thận chúc bạn và gia đình khỏe!
12. Bùi khắc Chí, Cam Ranh, Khánh Hòa., ĐT: 0167235…
Hỏi: Cha tôi bị bệnh viêm đại tràng mạn tính đã hơn 4 năm nay và điều trị khắp nơi nhưng đâu lại vào đó, dường như không dứt khỏi hẳn, còn dùng thuốc thì đi phân tốt, hết dùng thuocs lại đi phân nhão não, ông đã phàn nàn quá nhiều,…cách nay 2 hôm, có người bạn giới thiệu với cha về chế phẩm Immune-gamma có tác dụng rất tốt trong điều trị bệnh lý đại tràng kích thích của cha tôi. Ông rất vui mừng vì tin này nhưng tôi không hiểu hết tác dụng của chế phảm này, liệu dùng lâu dài có vấn đề gì không cho cơ thể cha tôi vì bị cả tim mạch nữa.
Trả lời: Cùng với câu hỏi của bạn có câu tham vấn từ bạn Mỹ Hà ở thành phố Kon Tum: “mẹ tôi thường xuyên bị sôi bụng và ăn uống khó tiêu, táo bón xen kẻ đi phân lỏng, có dùng chế phẩm Immune-gamma được không?” chúng tôi xin trả lời chung như sau:
Trước hết chúng tôi xin dành một ít để nói về bệnh viêm đại tràng trước khi đi vào lợi ích của chế phẩm mà hai bạn đang quan tâm. Viêm đại tràng mãn là bệnh mãn tính ở đại tràng có thể do rất nhiều nguyên nhân khác nhau hoặc chưa rõ nguyên nhân. Nhóm do nhiễm (nhiễm khuẩn lao, lậu, Clostridium spp., nhiễm KST hay đơn bào như amip, Giardia lamblia, nhiễm siêu vi Cytomegalovirus. Herpes simplex…, nhiễm nấm Candida); hoặc nhóm không do nhiễm (viêm loét đại tràng vô căn, bệnh Crohn, do xạ trị vùng chậu, do thiếu máu, …). Bệnh viêm đại tràng có đặc điểm là gây ra hiện tượng viêm, loét và rối loạn chức năng của đại tràng. Cần phân biệt với bệnh đại tràng chức năng (hội chứng ruột kích thích, viêm đại tràng co thắt…) là những bệnh gây chỉ rối loạn chức năng đại tràng nhưng không có tổn thương thực thể ở đại tràng.
Viêm loét đại tràng do Amip
Bệnh lây truyền theo đường tiêu hóa. Kén amip đã trưởng thành theo thức ăn vào dạ dày, qua ruột non rồi từ đoạn cuối hỗng tràng đi vào đại tràng. Amip gây ra những tổn thương viêm loét ở manh tràng, đại tràng và trực tràng. Biểu hiện lâm sàng bệnh nhân có những triệu chứng đi tiêu phân nhầy lẫn máu kèm cảm giác mót rặn và đau bụng quặn từng cơn. Bệnh thường kéo dài và hay tái phát. Chẩn đoán dựa vào việc khảo sát phân để tìm amip hoặc làm xét nghiệm huyết thanh chẩn đoán amip. Chụp đối quang kép hoặc nội soi đại tràng sinh thiết có thể thấy được những hình ảnh tổn thương loét đặc hiệu ở đại tràng giúp cho chẩn đoán.
Viêm đại tràng do lao
Thường thứ phát sau lao phổi (50% bệnh nhân lao ruột có hình ảnh lao khi chụp X.quang phổi). Cũng có thể gặp lao ruột nguyên phát do bệnh nhân bị nhiễm vi khuẩn lao qua đường ăn uống. Bệnh diễn tiến mãn tính với những triệu chứng nhiễm lao (sốt nhẹ về chiều, mệt mỏi biếng ăn, thể trạng suy sụp) và rối loạn tiêu hóa (tiêu chảy kéo dài, phân đàm nhớt hoặc có máu). Bệnh có thể diễn tiến gây tắc ruột hoặc lao màng bụng. Chẩn đoán dựa vào xét nghiệm tìm vi khuẩn lao trong phân. X quang và nội soi đại tràng sinh thiết cho thấy những hình ảnh tổn thương và tìm tế bào điển hình của lao.
Viêm đại tràng màng giả
Tác nhân gây bệnh do vi khuẩn C. difficile, là loại vi khuẩn thường trú ở ruột bình thường không gây bệnh nhưng do sử dụng kháng sinh dài ngày gây loạn khuẩn ruột. Bệnh diễn tiến mãn tính gây những tổn thương màng giả ở đại tràng, làm bệnh nhân tiêu chảy nước hoặc có lẫn máu, kèm theo sốt và triệu chứng nhiễm độc do độc tố vi khuẩn. Chẩn đoán dựa vào cấy phân tìm vi khuẩn, nội soi đại tràng kèm sinh thiết.
Viêm loét đại tràng vô căn
Bệnh không tìm thấy nguyên nhân như vi trùng, ký sinh trùng nấm hay siêu vi ở đại tràng. Nguyên nhân có thể liên quan đến những rối loạn miễn dịch và xảy ra trên những bệnh nhân bị stress nặng. Triệu chứng bao gồm đau quặn bụng từng cơn, cảm giác mắc cầu cấp thiết, phân nhầy máu kèm sốt, sụt cân. Ngoài ra bệnh nhân còn có những triệu chứng đau do viêm các khớp hoặc viêm đốt sóng. Bệnh có thể diễn tiến thủng ruột hoặc phình đại tràng và ung thư hóa. Nguy cơ ung thư dường như sẽ xảy ra 10 năm sau khi phát hiện và tỉ lệ tăng lên sau mỗi năm. Chẩn đoán chủ yếu dựa vào nội soi đại tràng và sinh thiết.
Bệnh Crohn
Là một bệnh không rõ nguyên nhân, rất thường gặp ở Âu Mỹ nhưng hiếm ở nước ta. Bệnh xảy ra ở cả ruột non và đại tràng, diễn biến mãn tính với các triệu chứng tiêu chảy, đau bụng, sốt, đau hố chậu phải, dễ chẩn đoán lầm với viêm ruột thừa. Bệnh gây ra những thương tổn co thắt, phù nề và xơ hóa gây hẹp lòng ruột dẫn đến tắc ruột, rò ruột, áp xe và rò cạnh hậu môn. Việc điều trị tương tự như viêm loét đại tràng.
Một số trường hợp đặc biệt
+Viêm đại tràng trên bệnh nhân bị AIDS: nguyên nhân do siêu vi Cytomegalovirus (CMV). Bệnh gây ra những thương tổn gồm nhiều ổ loét nhỏ ở đại tràng, nhất là đại tràng phải.
+Viêm trực tràng do Chlamydia spp., do lậu: bệnh xảy ra ở những người đồng tính luyến ái nam, thương tổn gây viêm loét trực tràng dẫn đến xơ hóa chít hẹp trực tràng hoặc gây rò cạnh hậu môn.
+Viêm hậu môn - trực tràng do Herpes simplex virus: bệnh xảy ra trên những người đồng tính luyến ái nam gây nhưng thương tổn phù nề, sưng đỏ, loét hoặc nổi mụn rộp ở vùng hậu môn trực tràng.
+Viêm đại tràng sau xạ trị vùng bụng và chậu: thường gặp trên bệnh nhân ung thư cổ tử cung được xạ trị, tổn thương viêm đỏ phù nề, loét tương tự như viêm loét đại tràng. Niêm mạc đại tràng bị xơ hóa kèm tăng sinh mạch máu, rất dễ chảy máu khi đụng vào.
+Việc chẩn đoán và điều trị viêm đại tràng do những nguyên nhân trên thường rất khó khăn và phức tạp.
Hầu hết mọi người sử dụng kháng sinh để điều trị, sau vài ngày, bệnh có thể thuyên giảm nhưng kháng sinh cũng có thể tiêu diệt luôn hệ vi khuẩn chí ở ruột. Điều này khiến hệ vi khuẩn tốt không còn đủ sức cạnh tranh với các tác nhân có hại, không thể bảo vệ niêm mạc. Đồng thời, đường ruột cũng thiếu những vi khuẩn cần thiết để tiêu hóa thức ăn nhiều mỡ, hoặc món ăn lạ. Các vi khuẩn có hại phân hủy thức ăn ngay trong ruột tạo thành hợp chất chứa lưu huỳnh sinh hơi. Vì thế, người bệnh thường xuyên đầy bụng, khó tiêu, niêm mạc đại tràng đang bị viêm loét cũng dễ bị kích thích.
Immune-gamma, một chế phẩm công nghệ sinh học của Mỹ có 3 tác dụng: tăng sinh, tái tạo niêm mạc ruột và cân bằng hệ vi khuẩn có thể giúp khắc phục tình trạng viêm đại tràng. Với mục đích tìm ra một chế phẩm công nghệ sinh học có thể khắc phục được tình trạng viêm đại tràng, khi nghiên cứu và chiết tách hàng loạt chủng vi khuẩn khác nhau, các nhà khoa học Mỹ đã tìm ra Immune – gamma, với 3 tác dụng cho bệnh. Theo đó, Immune - gamma vừa kích thích sản sinh vừa là nguồn thức ăn nuôi các tế bào miễn dịch lympho T và B, giúp tăng cường miễn dịch mạnh. Nó cũng giúp cơ thể có sức đề kháng chống đỡ các tác nhân gây bệnh (virus, vi khuẩn, lỵ, amip…) ngay từ bên trong. Ngoài ra, với cấu trúc peptidoglycan giống với “nguyên liệu” cơ bản của niêm mạc, sản phẩm giúp tái tạo niêm mạc đại tràng bị tổn thương để làm lành vết viêm loét, xây dựng lại tổ chức biểu mô niêm mạc ruột. Hơn nữa, Immune gamma cân bằng hệ vi khuẩn lành tính đường ruột để hệ tiêu hóa khỏe mạnh, khắc phục tình trạng trướng bụng, đầy hơi, tạo một hàng rào vi khuẩn có ích mạnh mẽ, chống đỡ và hạn chế tác nhân gây bệnh. Công nghệ Immune gamma đã được chuyển giao và sản xuất tại Việt Nam trong sản phẩm Tràng Phục Linh.
Như vậy, với phần phúc đáp trên dựa trên các dẫn liệu của các nhà khoa học chứng minh thì cha và mẹ của bạn có thể dùng chế phẩm này để hỗ trợ điều trị bệnh lý viêm đại tràng mạn tính và các rối loạn tiêu hóa như bạn mô tả. Thân chúc gia định bạn khỏe!